Catalog# R1511-24
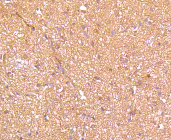
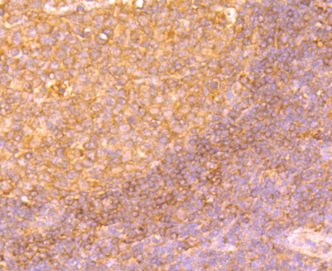
SHP1 Rabbit Polyclonal Antibody
Application
-
WB
-
IF-Cell
-
IHC-P
-
FC
Reactivity
-
Human
-
Mouse
-
Rat
Conjugation
-
unconjugated

浙公网安备 33019202000643号