Catalog# ET1610-77
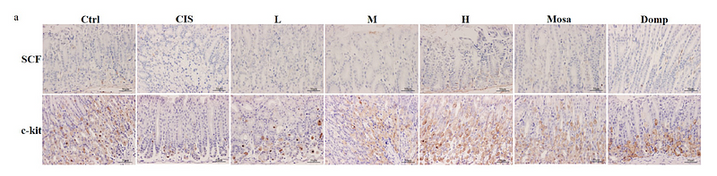
SCF Recombinant Rabbit Monoclonal Antibody [SC61-06]
Application
-
WB
-
IF-Tissue
-
IHC-P
Reactivity
-
Human
-
Mouse
-
Rat
This product has been cited in peer reviewed publications, see list HERE

