Skip to content

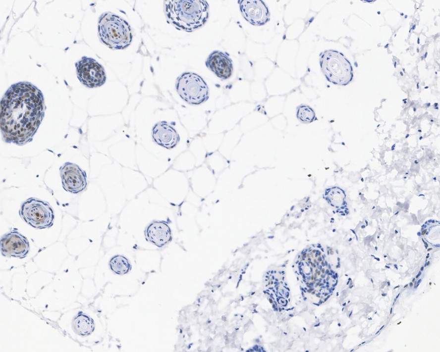
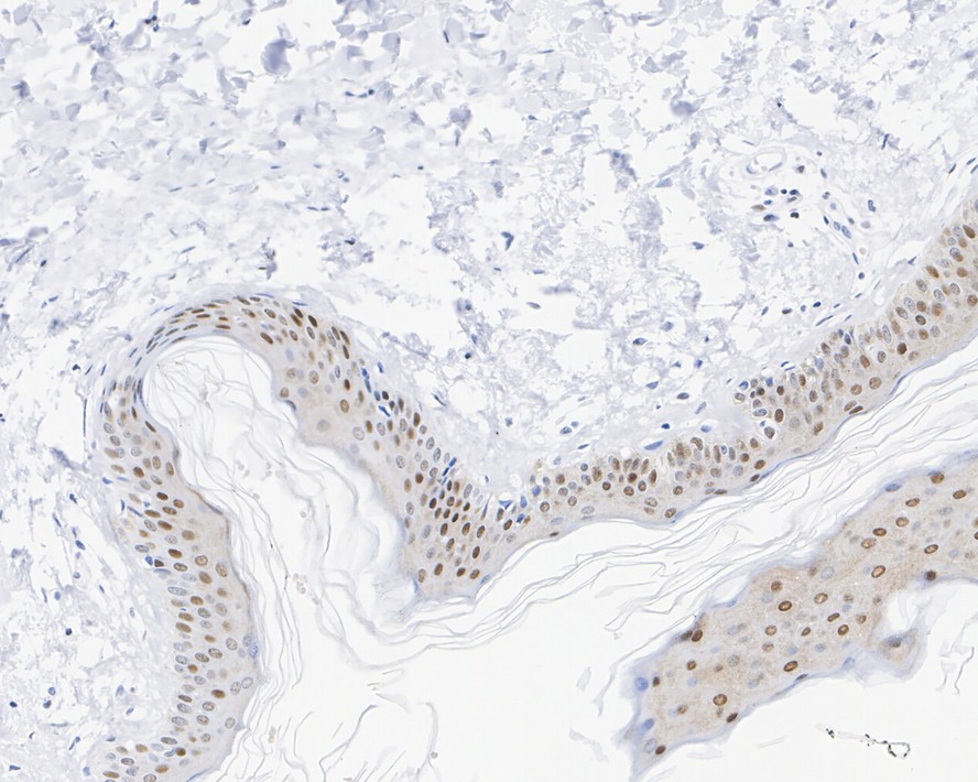
Phospho-c-Myc (T58) Recombinant Rabbit Monoclonal Antibody [SN60-01]

RMB: 900 特惠 1600

产品规格

Catalog# ET1611-24

Phospho-c-Myc (T58) Recombinant Rabbit Monoclonal Antibody [SN60-01]

Application
  • WB

  • IF-Cell

  • IF-Tissue

  • FC

  • IHC-P

Reactivity
  • Human

  • Mouse

  • Rat

Conjugation
  • unconjugated

This product has been cited in peer reviewed publications, see list HERE
Close (esc)

Popup

Use this popup to embed a mailing list sign up form. Alternatively use it as a simple call to action with a link to a product or a page.

Age verification

By clicking enter you are verifying that you are old enough to consume alcohol.

搜索