Catalog# EM1701-73
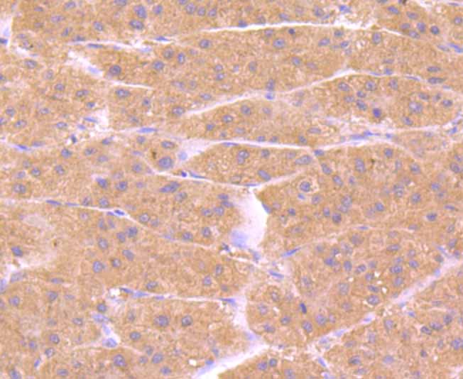
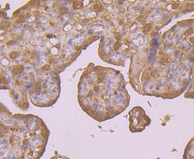
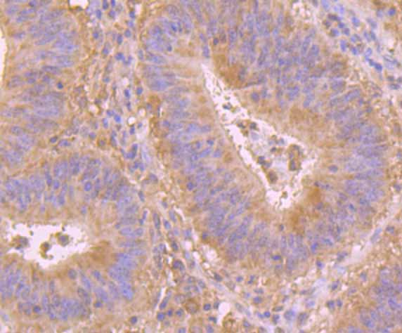
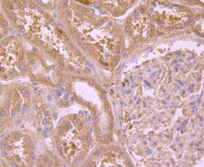
Peroxiredoxin 6 Mouse Monoclonal Antibody [7G1]
Application
-
WB
-
IHC-P
-
IF-Cell
-
FC
Reactivity
-
Human

