-
Western blot analysis of Peroxiredoxin 2 on different lysates with Rabbit anti-Peroxiredoxin 2 antibody (R1510-37) at 1/1,000 dilution.
Lane 1: HeLa cell lysate
Lane 2: PC-12 cell lysate
Lane 3: A549 cell lysate
Lane 4: 293T cell lysate
Lysates/proteins at 20 µg/Lane.
Predicted band size: 22 kDa
Observed band size: 22 kDa
Exposure time: 15 seconds;
4-20% SDS-PAGE gel.
Proteins were transferred to a PVDF membrane and blocked with 5% NFDM/TBST for 1 hour at room temperature. The primary antibody (R1510-37) at 1/1,000 dilution was used in 5% NFDM/TBST at 4℃ overnight. Goat Anti-Rabbit IgG - HRP Secondary Antibody (HA1001) at 1/100,000 dilution was used for 1 hour at room temperature.
-
Western blot analysis of Peroxiredoxin 2 on different lysates with Rabbit anti-Peroxiredoxin 2 antibody (R1510-37) at 1/1,000 dilution.
Lane 1: PC-12 cell lysate (10 µg/Lane)
Lane 2: HeLa cell lysate (10 µg/Lane)
Lane 3: Mouse heart tissue lysate (20 µg/Lane)
Predicted band size: 22 kDa
Observed band size: 22 kDa
Exposure time: 2 minutes;
15% SDS-PAGE gel.
Proteins were transferred to a PVDF membrane and blocked with 5% NFDM/TBST for 1 hour at room temperature. The primary antibody (R1510-37) at 1/1,000 dilution was used in 5% NFDM/TBST at room temperature for 2 hours. Goat Anti-Rabbit IgG - HRP Secondary Antibody (HA1001) at 1/300,000 dilution was used for 1 hour at room temperature.
-
☑ Knockdown (KD)
Western blot analysis of Peroxiredoxin 2 on different lysates with Rabbit anti-Peroxiredoxin 2 antibody (R1510-37) at 1/5,000 dilution.
Lane 1: HeLa-si NT cell lysate
Lane 2: HeLa-si Peroxiredoxin 2 cell lysate
Lysates/proteins at 10 µg/Lane.
Predicted band size: 22 kDa
Observed band size: 22 kDa
Exposure time: 3 seconds; ECL: K1801;
4-20% SDS-PAGE gel.
Proteins were transferred to a PVDF membrane and blocked with 5% NFDM/TBST for 1 hour at room temperature. The primary antibody (R1510-37) at 1/5,000 dilution was used in 5% NFDM/TBST at 4℃ overnight. Goat Anti-Rabbit IgG - HRP Secondary Antibody (HA1001) at 1/50,000 dilution was used for 1 hour at room temperature.
-
ICC staining Peroxiredoxin 2/PRDX2 in Hela cells (green). The nuclear counter stain is DAPI (blue). Cells were fixed in paraformaldehyde, permeabilised with 0.25% Triton X100/PBS.
-
ICC staining Peroxiredoxin 2/PRDX2 in SHG-44 cells (green). The nuclear counter stain is DAPI (blue). Cells were fixed in paraformaldehyde, permeabilised with 0.25% Triton X100/PBS.
-
ICC staining Peroxiredoxin 2/PRDX2 in SH-SY5Y cells (green). The nuclear counter stain is DAPI (blue). Cells were fixed in paraformaldehyde, permeabilised with 0.25% Triton X100/PBS.
-
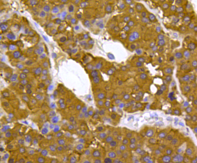
Immunohistochemical analysis of paraffin-embedded human liver tissue using anti-Peroxiredoxin 2/PRDX2 antibody. Counter stained with hematoxylin.
-
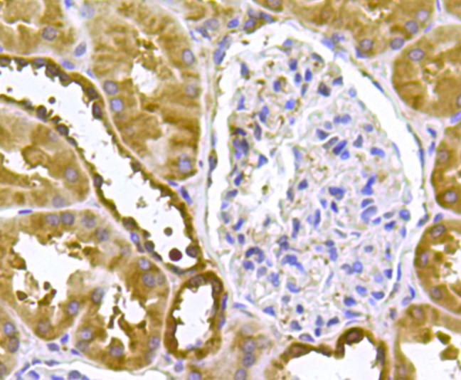
Immunohistochemical analysis of paraffin-embedded human kidney tissue using anti-Peroxiredoxin 2/PRDX2 antibody. Counter stained with hematoxylin.
-
Immunohistochemical analysis of paraffin-embedded mouse brain tissue using anti-Peroxiredoxin 2/PRDX2 antibody. Counter stained with hematoxylin.
-
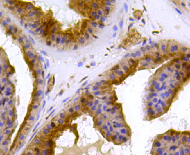
Immunohistochemical analysis of paraffin-embedded mouse prostate tissue using anti-Peroxiredoxin 2/PRDX2 antibody. Counter stained with hematoxylin.
-
Immunohistochemical analysis of paraffin-embedded mouse heart tissue using anti-Peroxiredoxin 2/PRDX2 antibody. Counter stained with hematoxylin.
请注意: All products are "FOR RESEARCH USE ONLY AND ARE NOT INTENDED FOR DIAGNOSTIC OR THERAPEUTIC USE"