Inhibitory receptor on antigen activated T-cells that plays a critical role in induction and maintenance of immune tolerance to self. Delivers inhibitory signals upon binding to ligands CD274/PDCD1L1 and CD273/PDCD1LG2. Following T-cell receptor (TCR) engagement, PDCD1 associates with CD3-TCR in the immunological synapse and directly inhibits T-cell activation. Suppresses T-cell activation through the recruitment of PTPN11/SHP-2: following ligand-binding, PDCD1 is phosphorylated within the ITSM motif, leading to the recruitment of the protein tyrosine phosphatase PTPN11/SHP-2 that mediates dephosphorylation of key TCR proximal signaling molecules, such as ZAP70, PRKCQ/PKCtheta and CD247/CD3zeta. The PDCD1-mediated inhibitory pathway is exploited by tumors to attenuate anti-tumor immunity and escape destruction by the immune system, thereby facilitating tumor survival. The interaction with CD274/PDCD1L1 inhibits cytotoxic T lymphocytes (CTLs) effector function. The blockage of the PDCD1-mediated pathway results in the reversal of the exhausted T-cell phenotype and the normalization of the anti-tumor response, providing a rationale for cancer immunotherapy. The interaction with nivolumab is not dependent on glycosylation and depends on a loop at the N-terminus (N-terminal loop, corresponding to residues 25-34). Targeting the interaction between PDCD1 and CD274/PDCD1L1 with pembrolizumab and nivolumab antibodies has demonstrated great promise as a strategy for controlling and eradicating cancer. Pembrolizumab and nivolumab are used for treatment of patients with advanced melanoma. These antibodies are also effective against other cancers, such as non-small cell lung cancer, renal cell carcinoma, bladder cancer and Hodgkin's lymphoma.
背景文献
1. Sato Y et al. The PD-1/PD-L1 axis may be aberrantly activated in occupational cholangiocarcinoma. Pathol Int N/A:N/A (2017).
2. Zhou ZH et al. The prognostic value and pathobiological significance of Glasgow microenvironment score in gastric cancer. J Cancer Res Clin Oncol N/A:N/A (2017).
翻译后修饰
Ubiquitinated at Lys-233 by the SCF(FBXO38) complex, leading to its proteasomal degradation. Ubiquitinated via 'Lys-48'-linked polyubiquitin chains.; Tyrosine phosphorylated at Tyr-223 (within ITIM motif) and Tyr-248 (ITSM motif) upon ligand binding. Phosphorylation at Tyr-248 promotes the recruitment of the protein tyrosine phosphatase PTPN11/SHP-2 that mediates dephosphorylation of key TCR proximal signaling molecules, such as ZAP70, PRKCQ/PKCtheta and CD247/CD3zeta.; N-glycosylation at Asn-58 consists of two N-acetylglucosamine units and one fucose. N-glycosylation does not affect binding to nivolumab drug.
Western blot analysis of over-expressed PD1(whole extracellular domain) on 293T cell lysates. Proteins were transferred to a PVDF membrane and blocked with 5% BSA in PBS for 1 hour at room temperature. The primary antibody (ET1606-41, 1/500) was used in 5% BSA at room temperature for 2 hours. Goat Anti-Rabbit IgG - HRP Secondary Antibody (HA1001) at 1:5,000 dilution was used for 1 hour at room temperature.
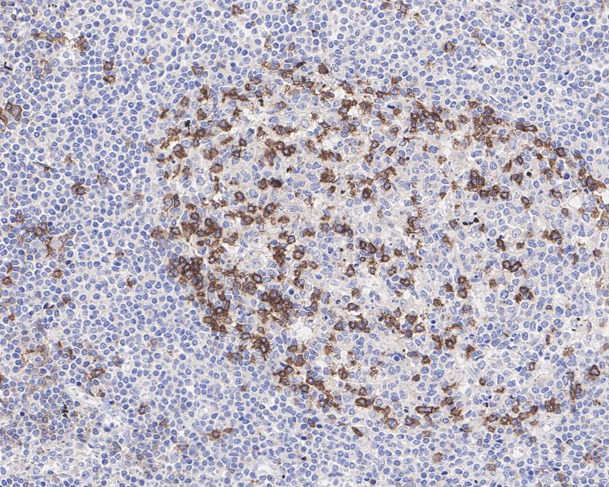
Immunohistochemical analysis of paraffin-embedded human lymph nodes tissue with Rabbit anti-PD1 antibody (ET1606-41) at 1/50 dilution.
The section was pre-treated using heat mediated antigen retrieval with Tris-EDTA buffer (pH 9.0) for 20 minutes. The tissues were blocked in 1% BSA for 20 minutes at room temperature, washed with ddH2O and PBS, and then probed with the primary antibody (ET1606-41) at 1/50 dilution for 1 hour at room temperature. The detection was performed using an HRP conjugated compact polymer system. DAB was used as the chromogen. Tissues were counterstained with hematoxylin and mounted with DPX.
请注意: All products are "FOR RESEARCH USE ONLY AND ARE NOT INTENDED FOR DIAGNOSTIC OR THERAPEUTIC USE"