Catalog# HA500517
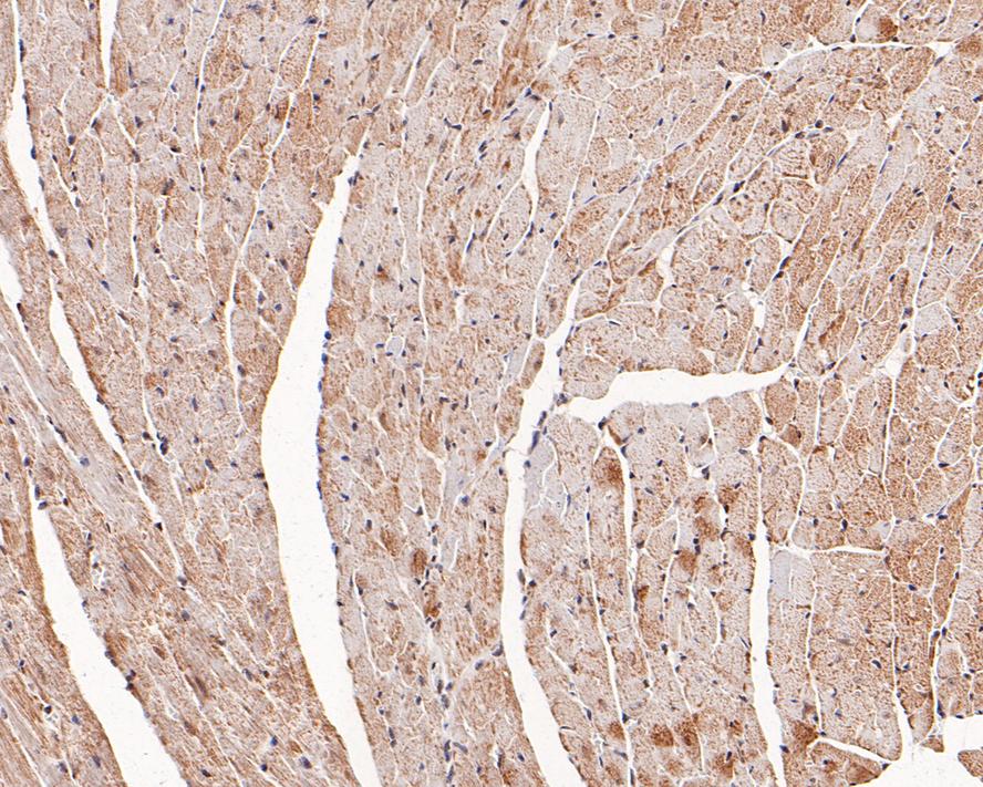
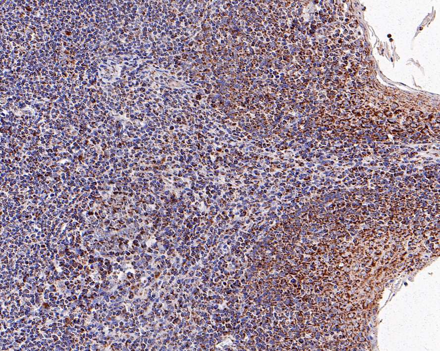
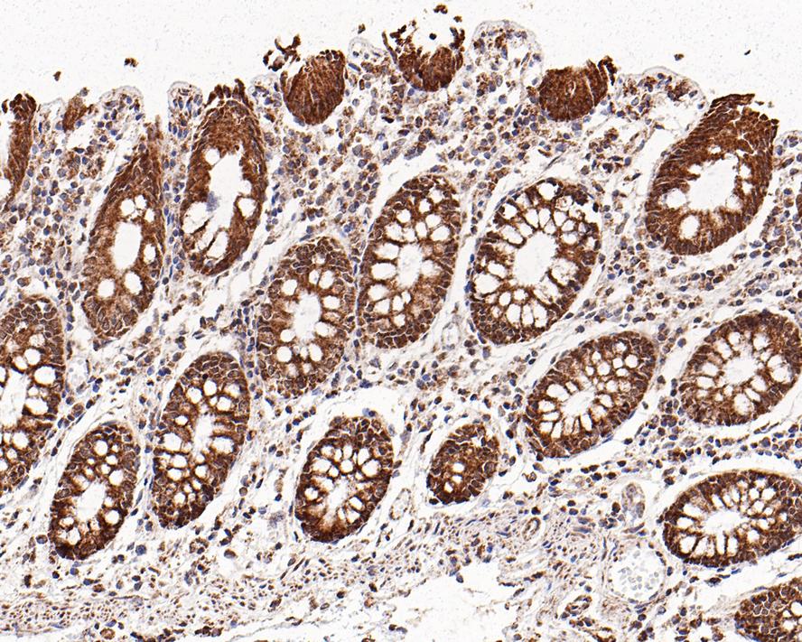
MTCO1 Rabbit Polyclonal Antibody
Application
-
WB
-
IHC-P
Reactivity
-
Human
-
Mouse
This product has been cited in peer reviewed publications, see list HERE

