Skip to content

MP68 Rabbit Polyclonal Antibody

RMB: 1500

产品规格

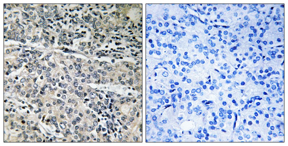
Catalog# ER63993

MP68 Rabbit Polyclonal Antibody

Application
  • IHC-P

Reactivity
  • Human

  • Mouse

Conjugation
  • unconjugated

Close (esc)

Popup

Use this popup to embed a mailing list sign up form. Alternatively use it as a simple call to action with a link to a product or a page.

Age verification

By clicking enter you are verifying that you are old enough to consume alcohol.

搜索