Catalog# ET1609-1
M-CSF Recombinant Rabbit Monoclonal Antibody [SU0413]
Application
-
WB
-
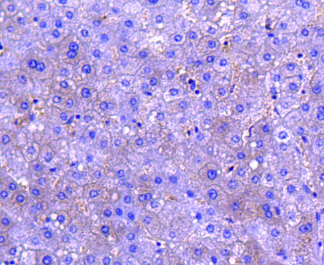
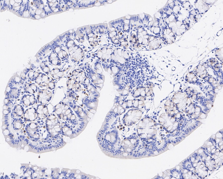
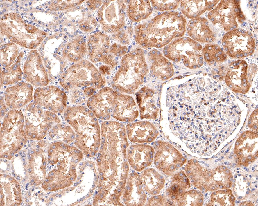
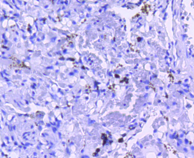
IHC-P
-
IF-Cell
-
IP
Reactivity
-
Human
-
Mouse
Conjugation
-
unconjugated
This product has been cited in peer reviewed publications, see list HERE

浙公网安备 33019202000643号