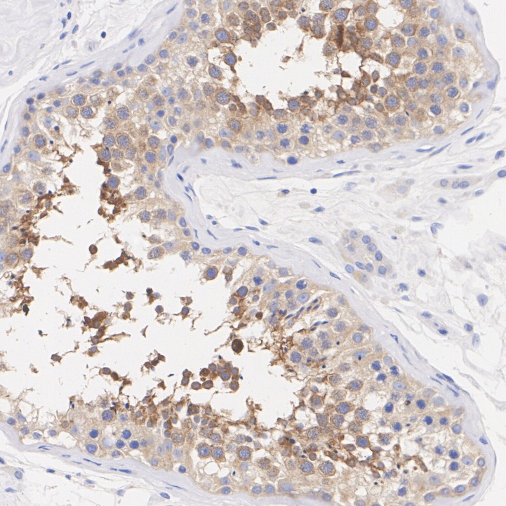
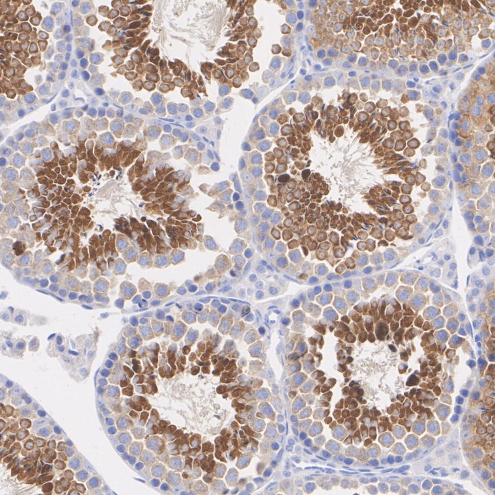
LKB1 Recombinant Rabbit Monoclonal Antibody [PSH09-29] - BSA and Azide free
Catalog# HA751283
LKB1 Recombinant Rabbit Monoclonal Antibody [PSH09-29] - BSA and Azide free
Application
-
WB
-
IHC-P
-
IP
Reactivity
-
Human
-
Mouse
-
Rat
-
Monkey
With BSA and Azide
-
HA723087
含抗保成分
Conjugation
-
unconjugated
浙公网安备 33019202000643号