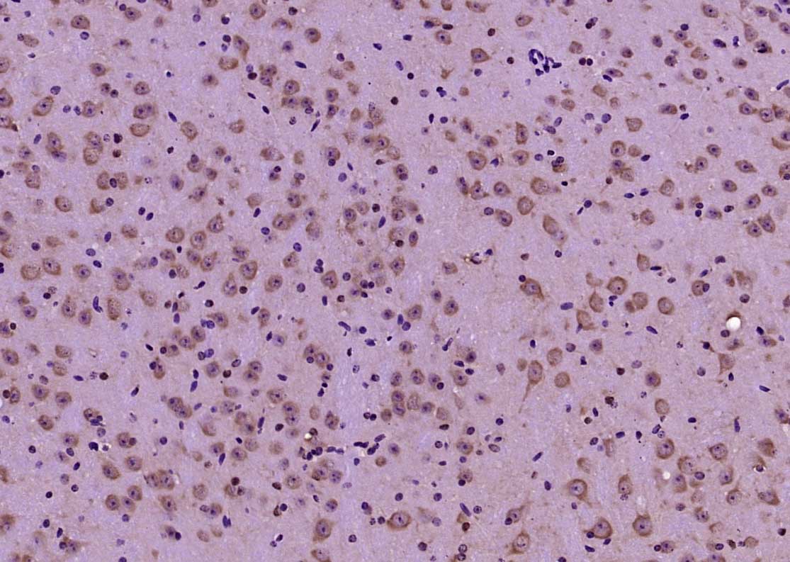
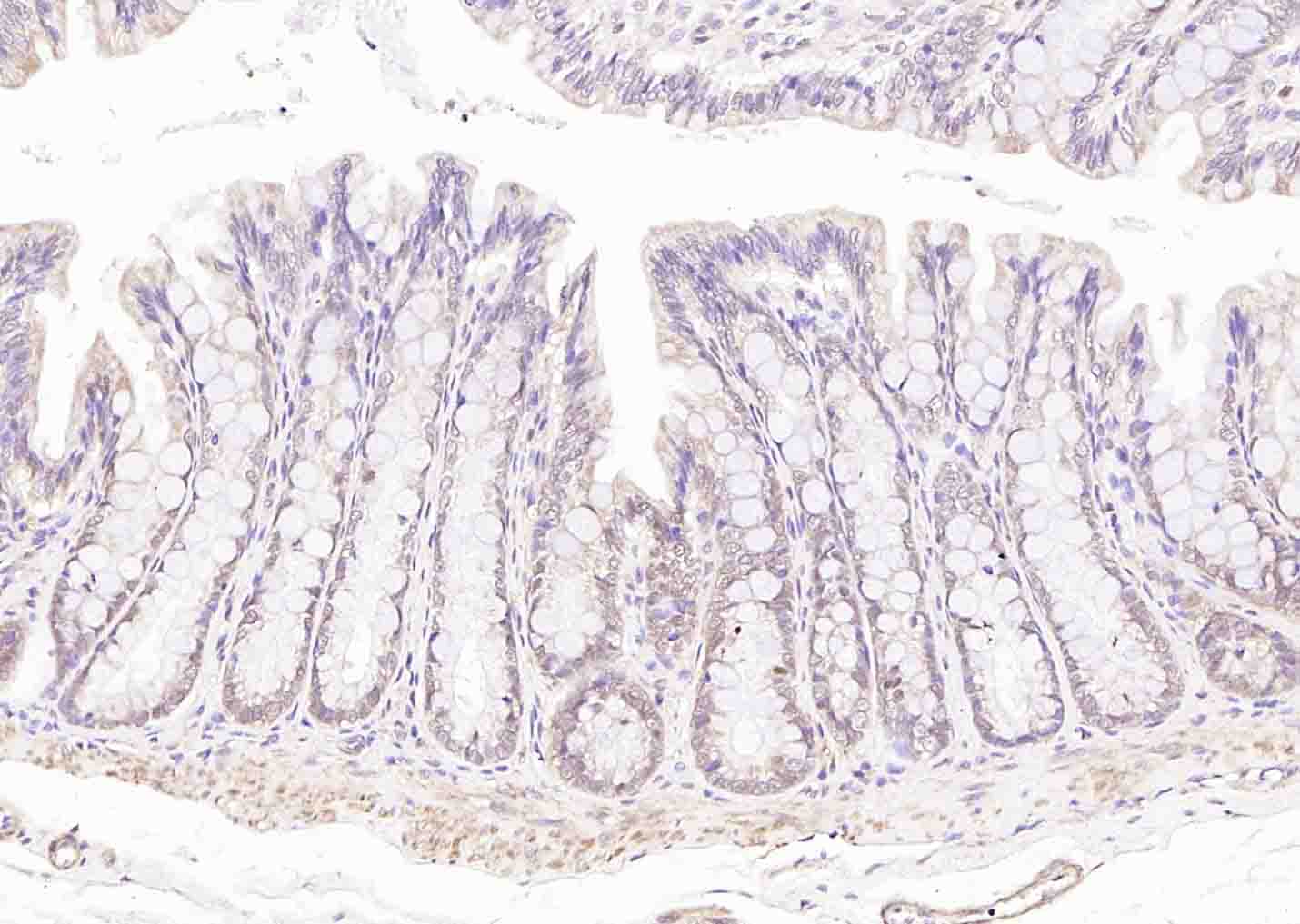
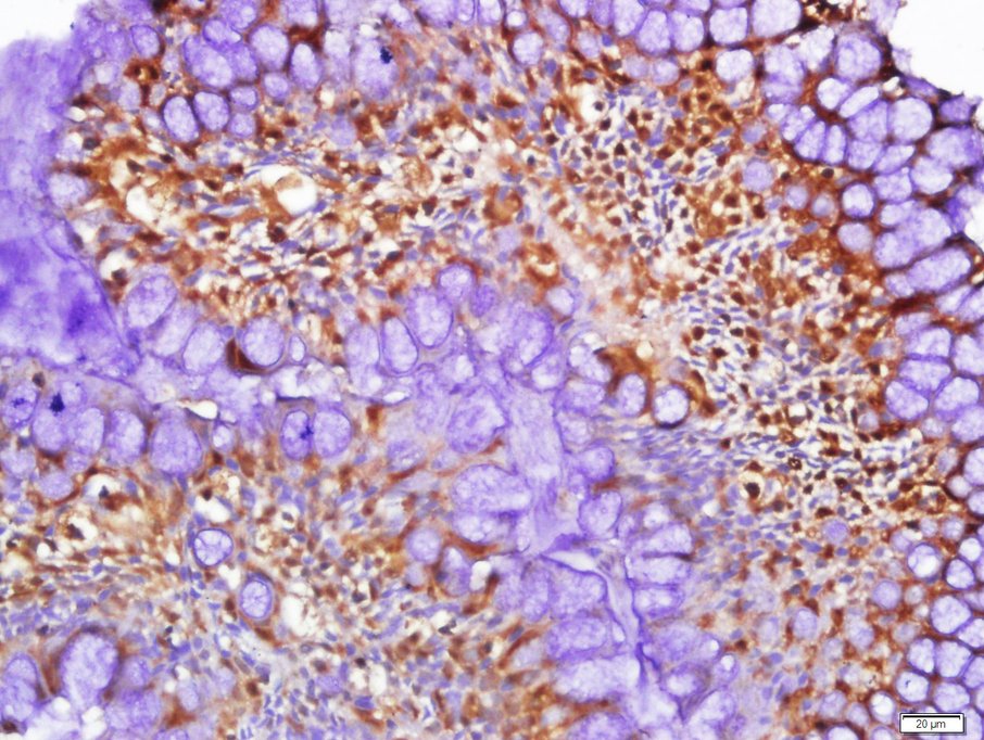
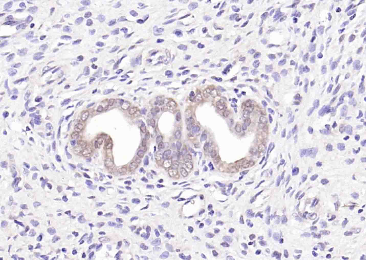
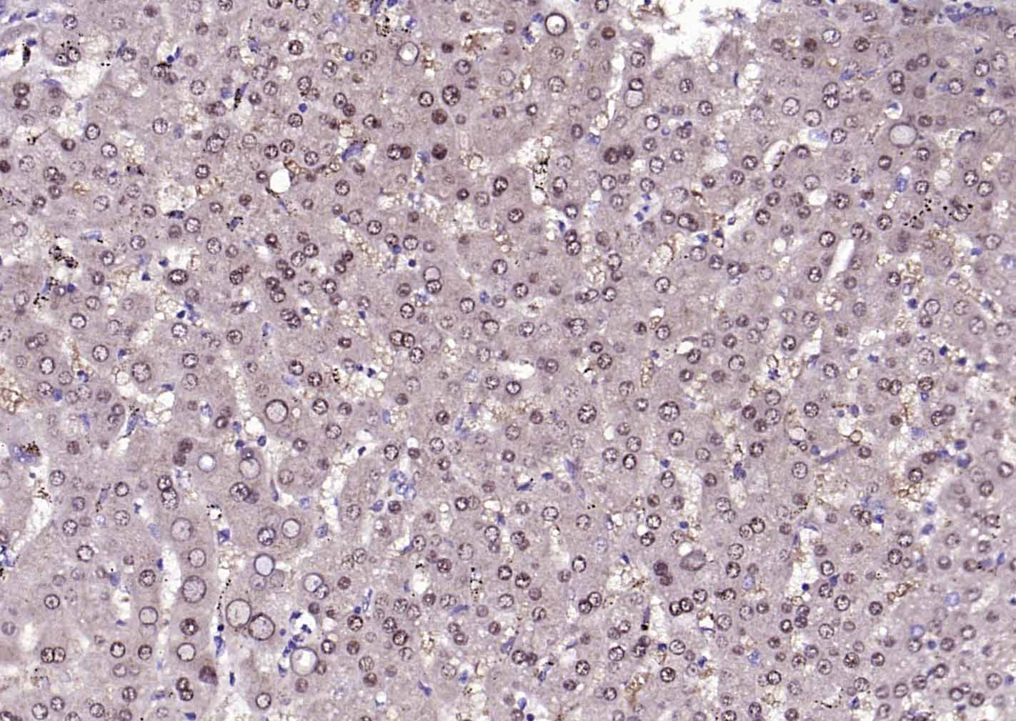
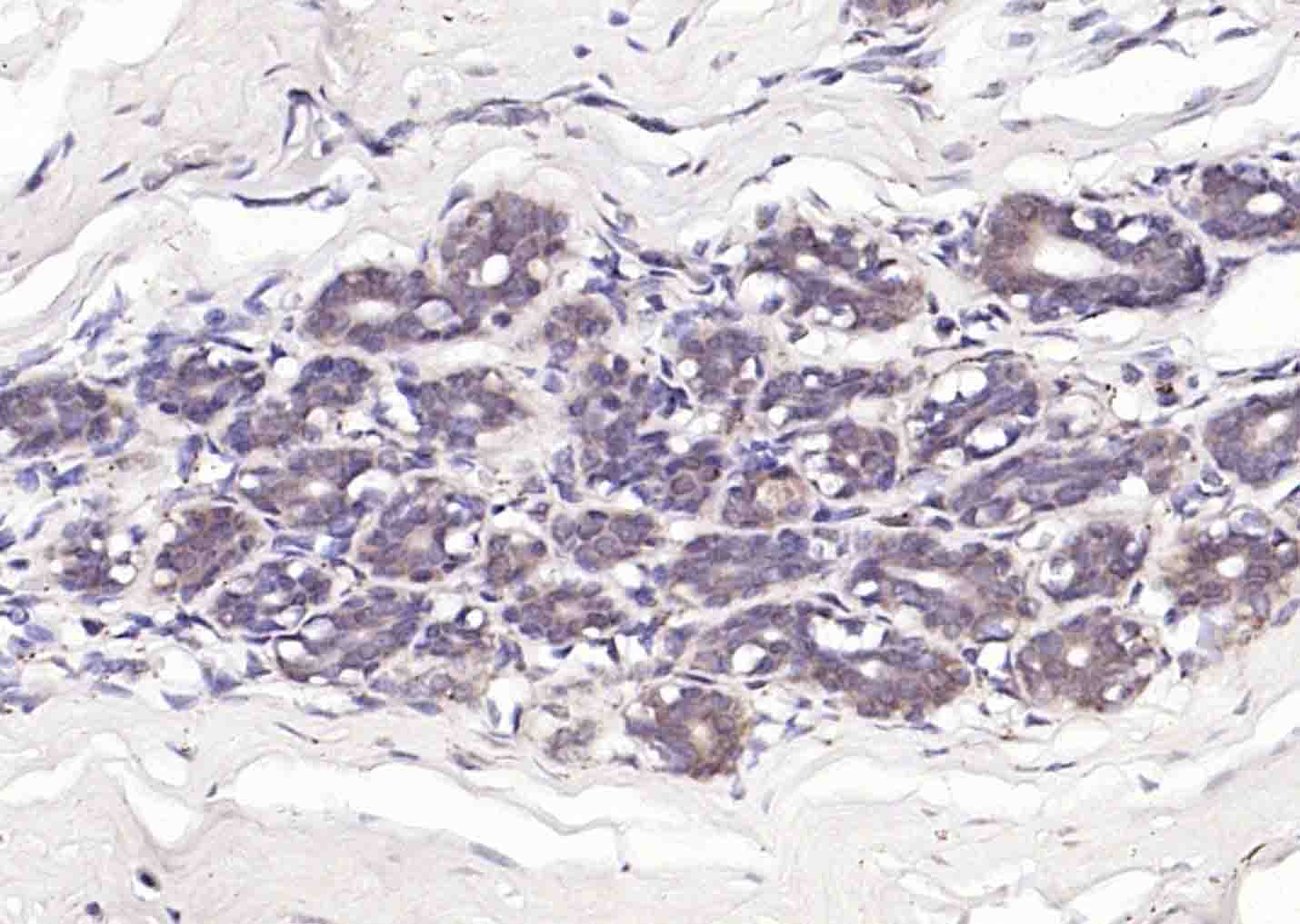
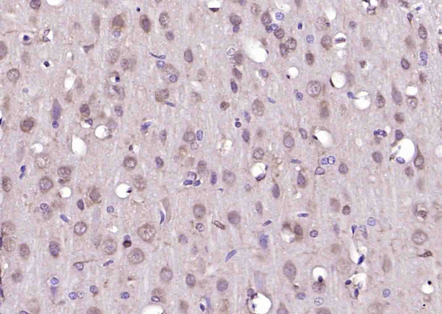
LKB1 Rabbit Polyclonal Antibody
Catalog# ER1912-41
LKB1 Rabbit Polyclonal Antibody
Application
-
WB
-
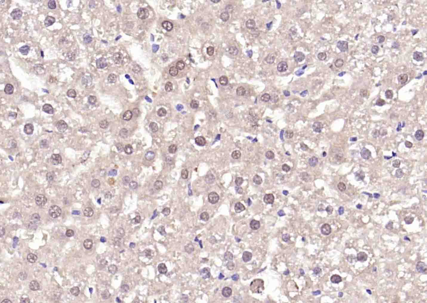
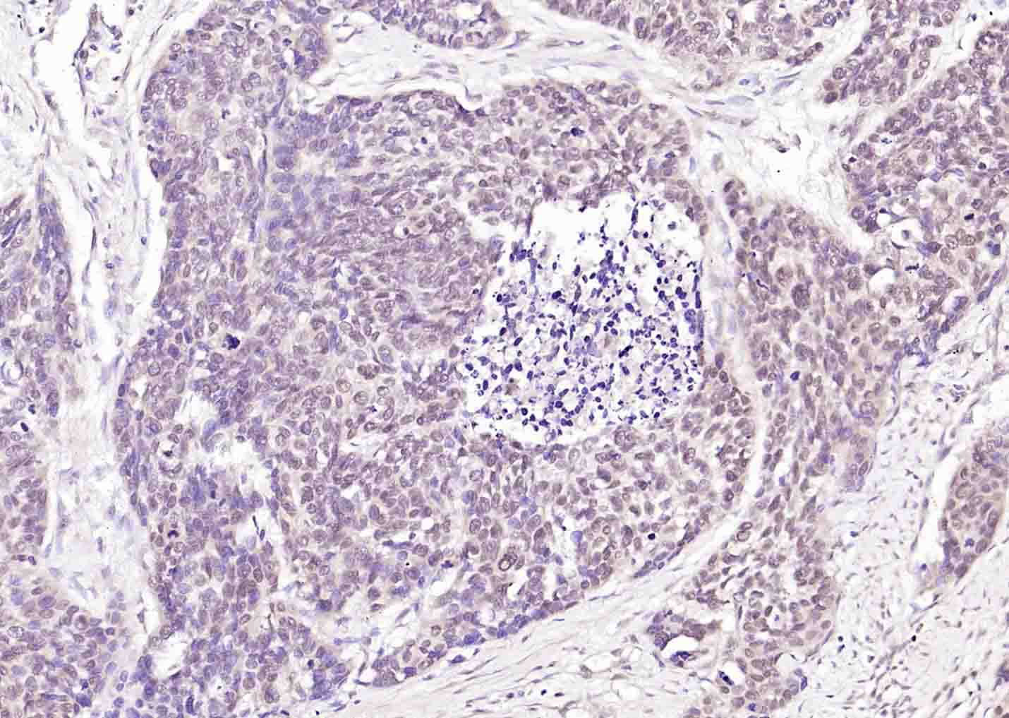
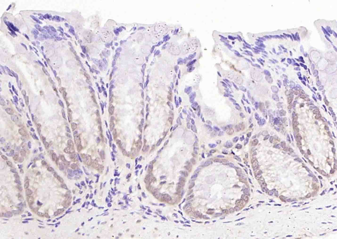
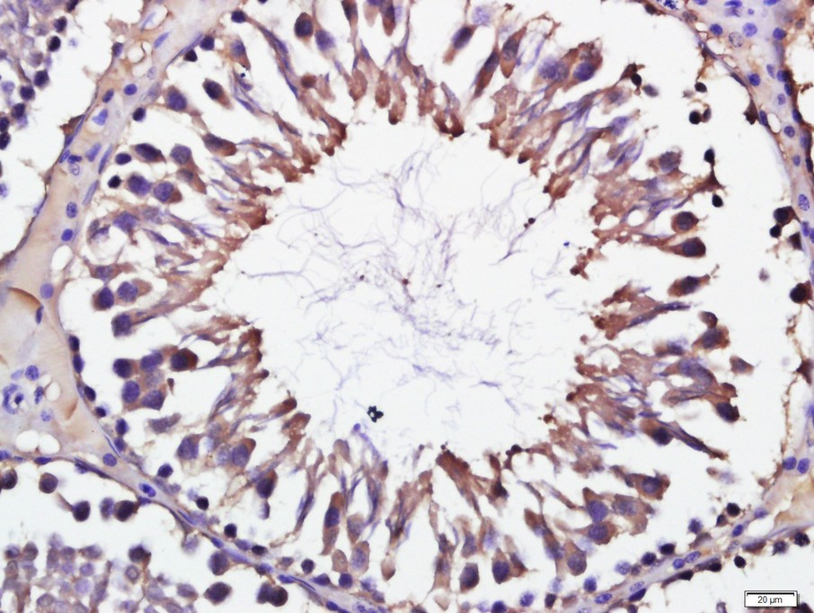
IHC-P
-
IF-Tissue
-
FC
Reactivity
-
Human
-
Mouse
-
Rat
Conjugation
-
unconjugated
This product has been cited in peer reviewed publications, see list HERE
浙公网安备 33019202000643号