Catalog# HA601060
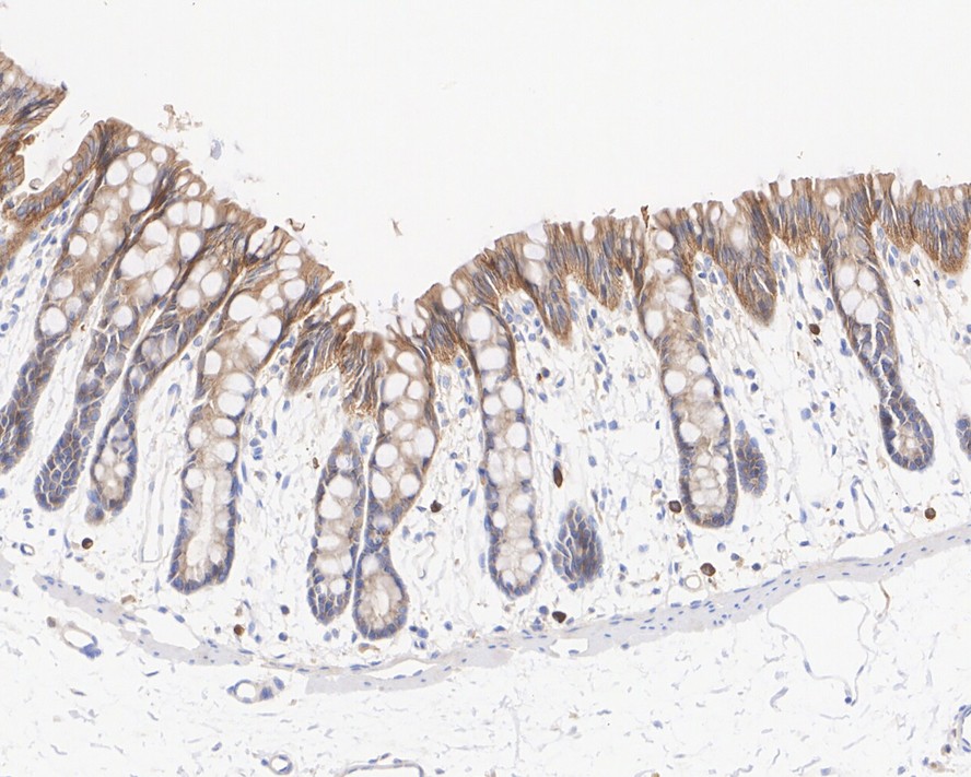
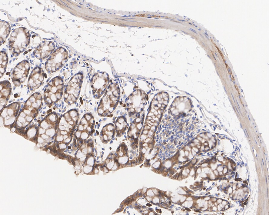
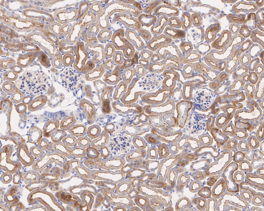
KRAS Recombinant Mouse Monoclonal Antibody [A8E6]
Application
-
WB
-
IHC-P
Reactivity
-
Human
-
Mouse
-
Rat

