Catalog# R1210-2
KAP1 Rabbit Polyclonal Antibody
Application
-
WB
-
IF-Cell
-
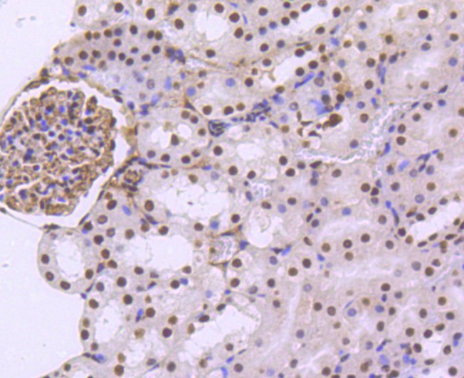
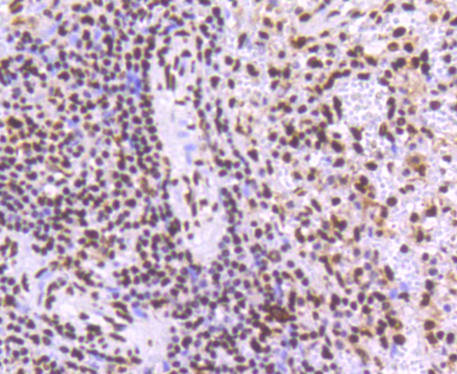
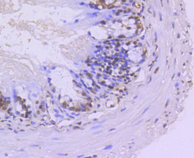
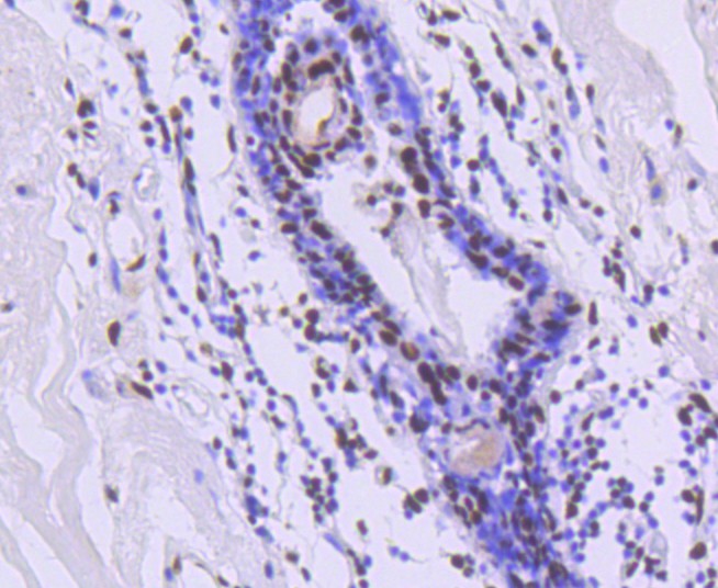
IHC-P
-
FC
Reactivity
-
Human
-
Mouse
This product has been cited in peer reviewed publications, see list HERE

