Catalog# HA500246
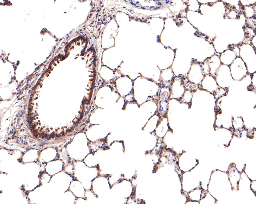
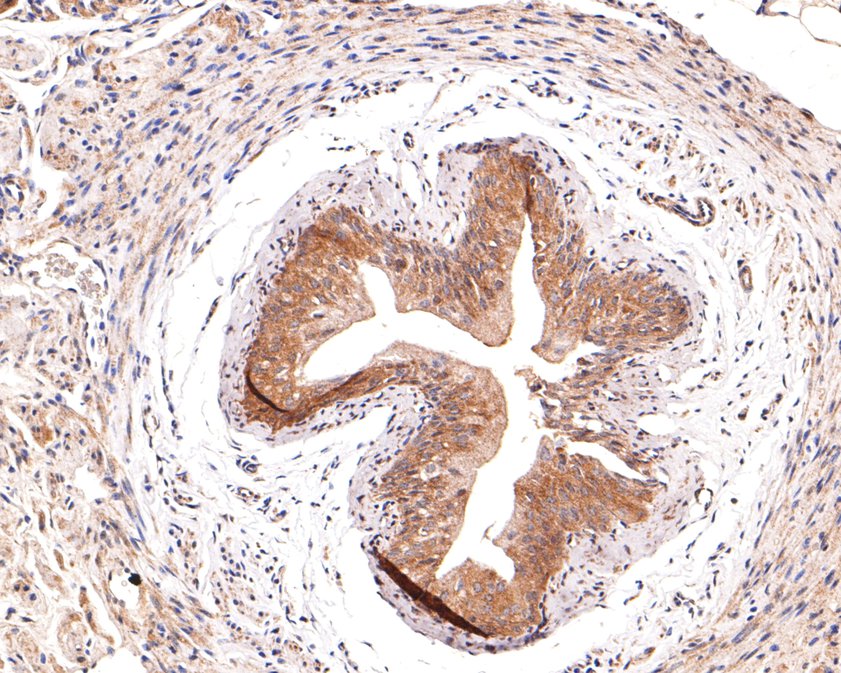
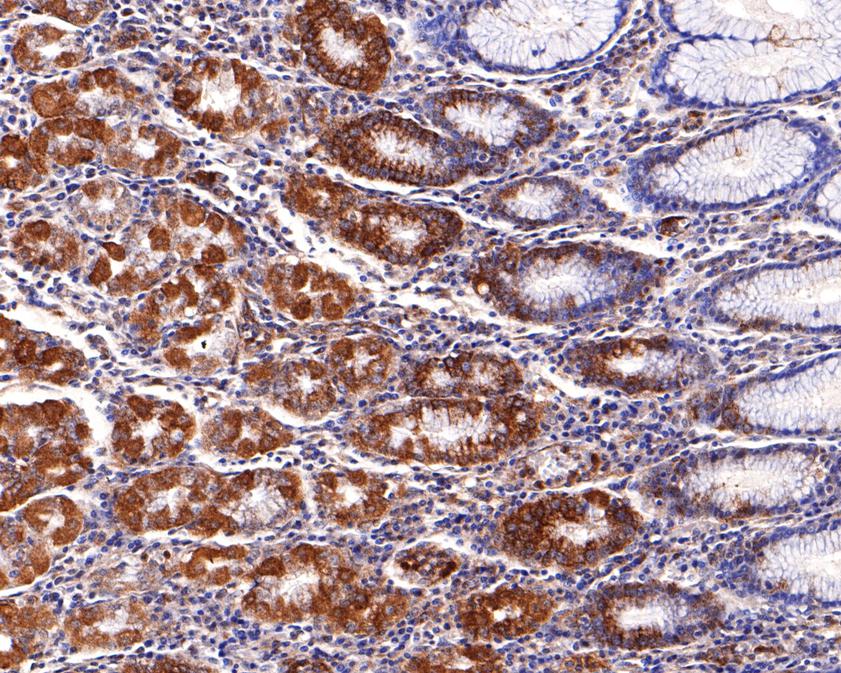
IFNGR2 Rabbit Polyclonal Antibody
Application
-
WB
-
IF-Cell
-
IHC-P
-
IF-Tissue
Reactivity
-
Human
-
Mouse
-
Rat
Conjugation
-
unconjugated

浙公网安备 33019202000643号