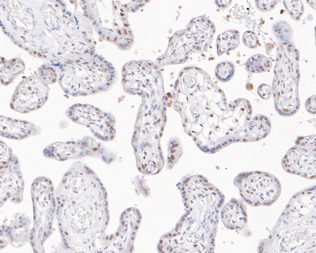
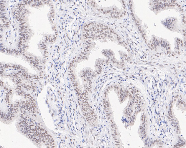
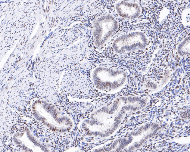
HIF-1 beta Recombinant Rabbit Monoclonal Antibody [ST05-25] - BSA and Azide free
Catalog# HA750187
HIF-1 beta Recombinant Rabbit Monoclonal Antibody [ST05-25] - BSA and Azide free
Application
-
WB
-
IHC-P
Reactivity
-
Human
-
Mouse
-
Rat
With BSA and Azide
-
ET1609-67
含抗保成分
Conjugation
-
unconjugated
浙公网安备 33019202000643号