Catalog# ET1702-09
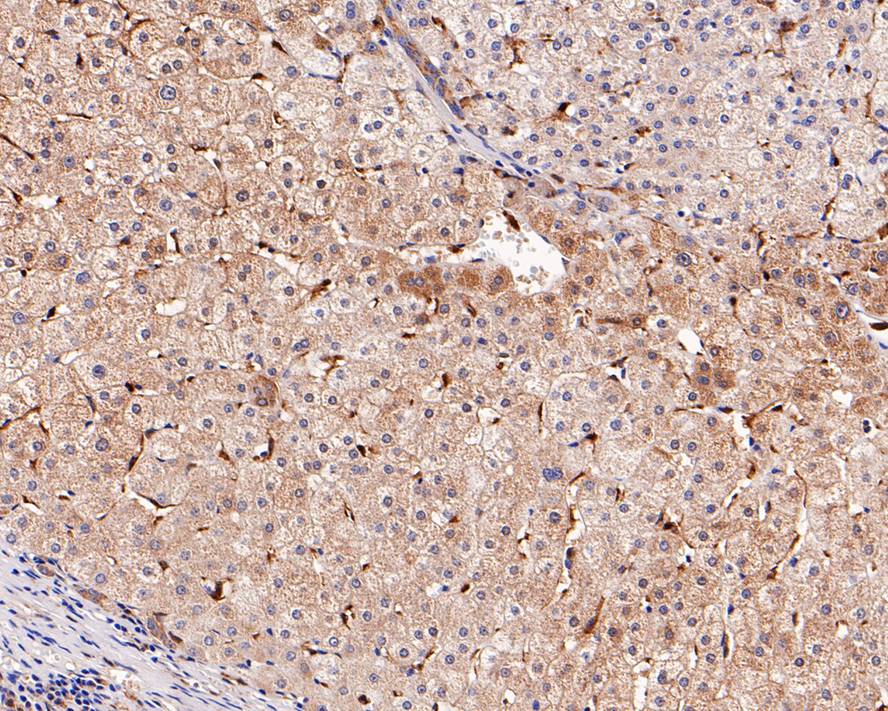
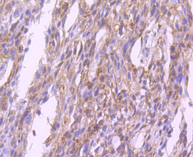
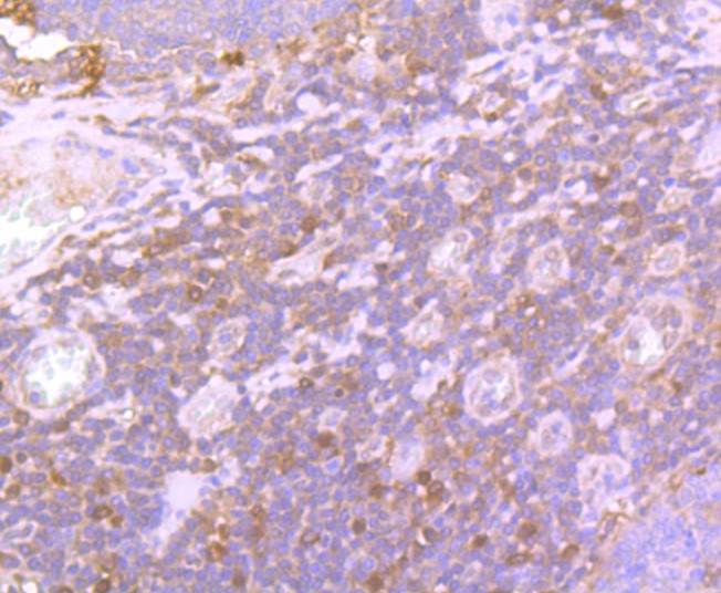
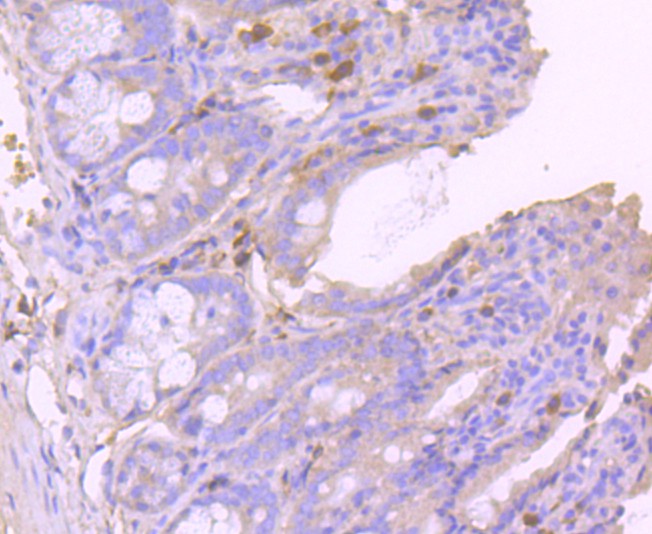
Glutathione Peroxidase 1 Recombinant Rabbit Monoclonal Antibody [JF0944]
Application
-
WB
-
IF-Tissue
-
IHC-P
Reactivity
-
Human
-
Mouse
Conjugation
-
unconjugated
This product has been cited in peer reviewed publications, see list HERE

浙公网安备 33019202000643号