Catalog# ET1703-35
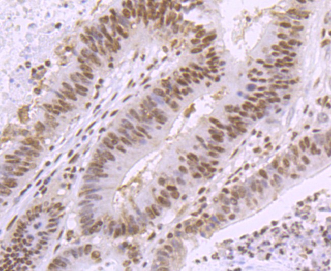
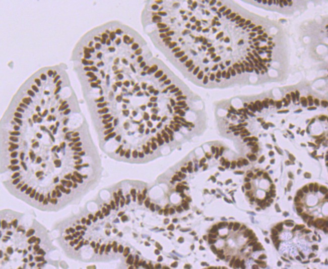
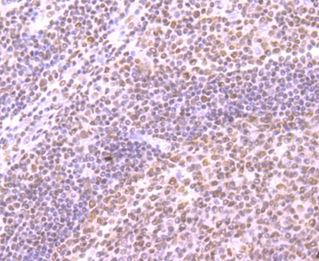
SMC3 Recombinant Rabbit Monoclonal Antibody [JM10-75]
Application
-
WB
-
IF-Cell
-
IF-Tissue
-
IHC-P
-
FC
Reactivity
-
Human
-
Mouse
-
Rat
-
Zebrafish
Conjugation
-
unconjugated

浙公网安备 33019202000643号