Catalog# HA722116
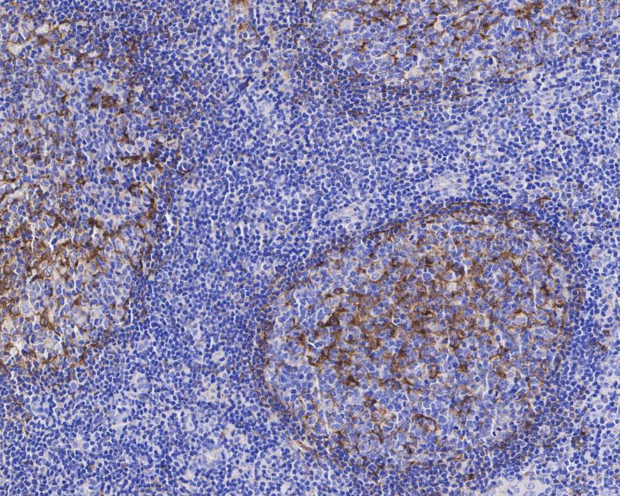
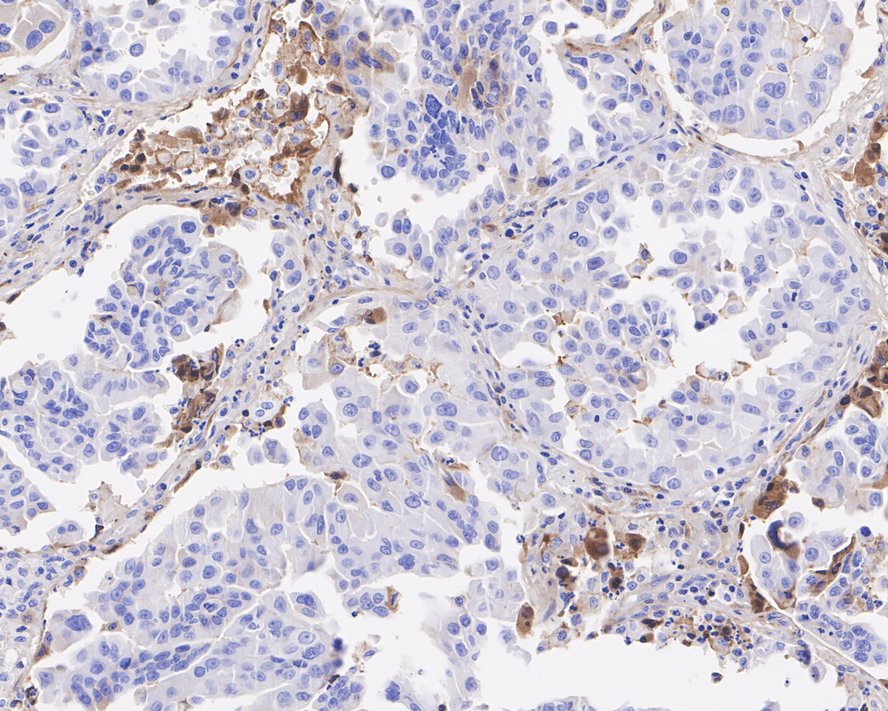
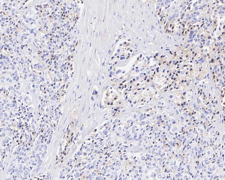
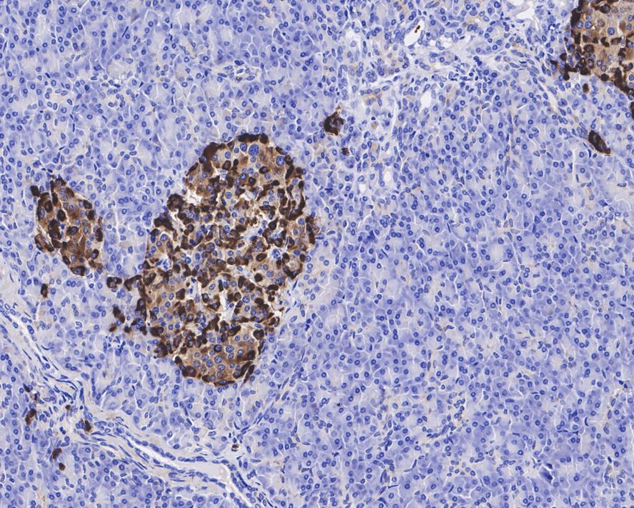
Clusterin Recombinant Rabbit Monoclonal Antibody [PSH04-33]
Application
-
WB
-
IHC-P
-
IF-Tissue
Reactivity
-
Human
Conjugation
-
unconjugated



浙公网安备 33019202000643号