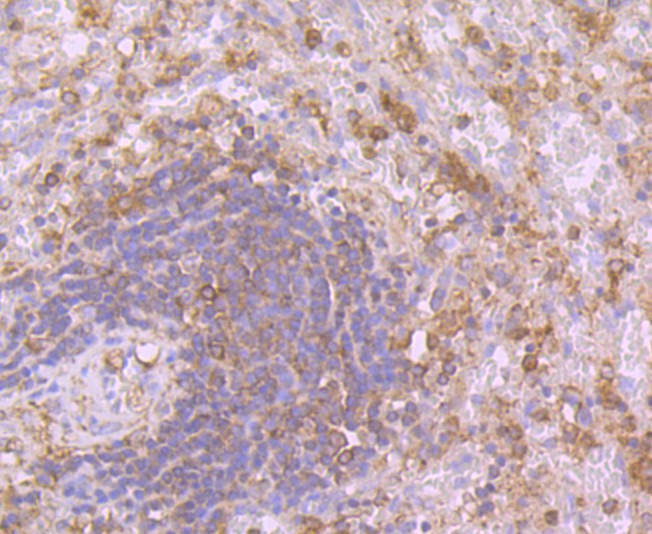
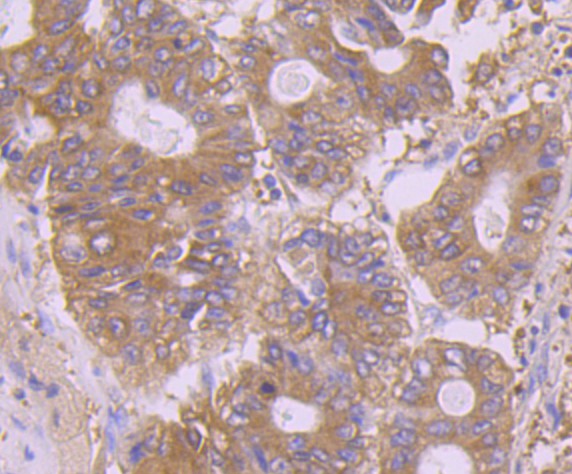
Catalog# EM1801-02
Calpain 1 Mouse Monoclonal Antibody [2A1]
Application
-
IHC-P
-
FC
Reactivity
-
Human
-
Rat
Conjugation
-
unconjugated

浙公网安备 33019202000643号