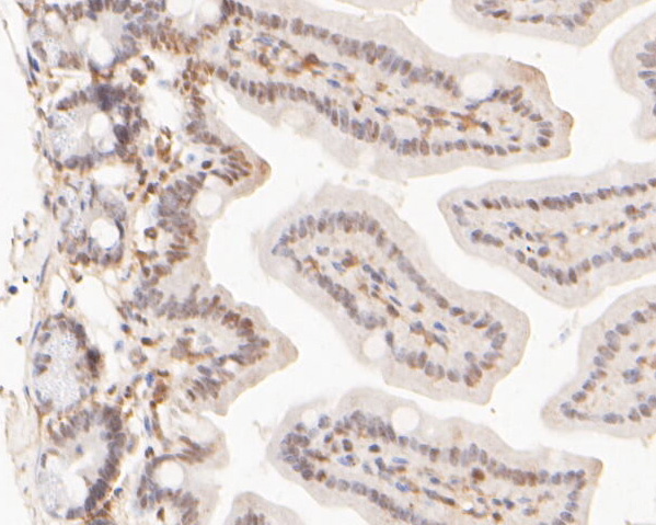
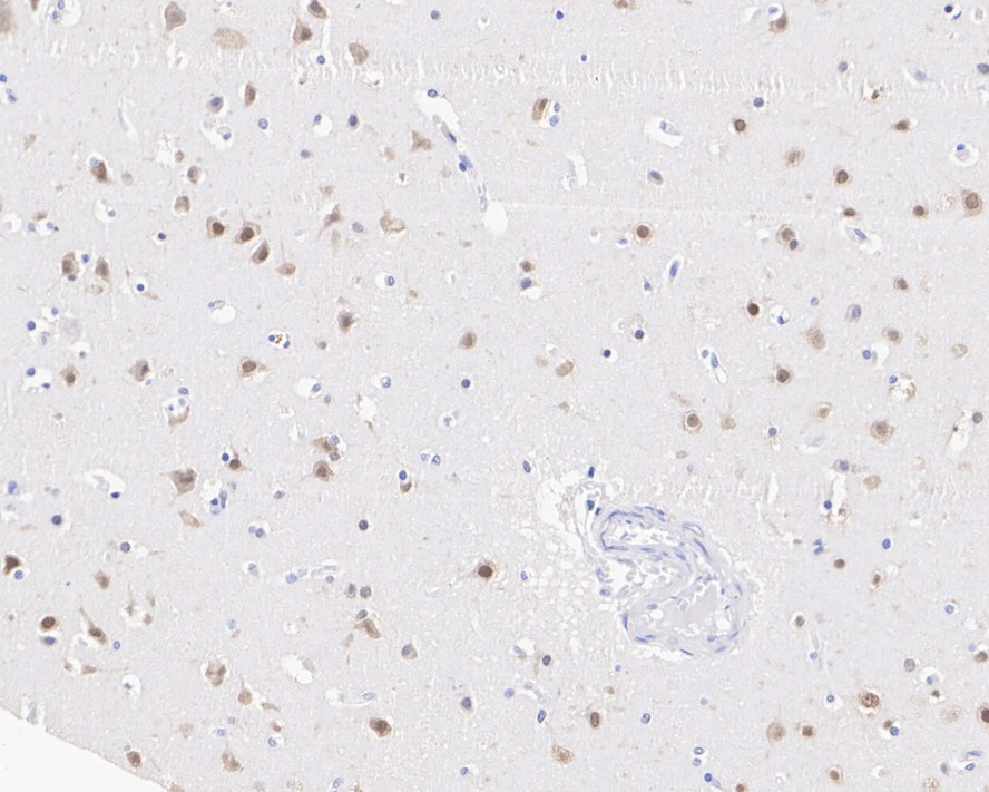
Catalog# EM1902-43
CELF2 Mouse Monoclonal Antibody [9B1]
Application
-
WB
-
IHC-P
-
IF-Cell
Reactivity
-
Human
-
Mouse
-
Rat
Conjugation
-
unconjugated

浙公网安备 33019202000643号