Catalog# EM1901-92
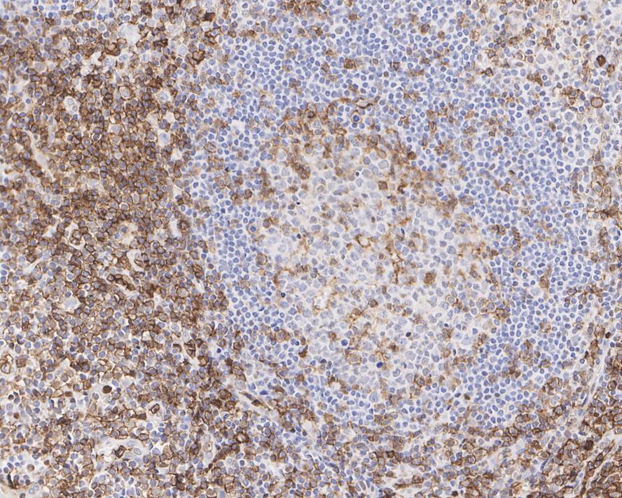
CD43 Mouse Monoclonal Antibody [A2F7]
Application
-
WB
-
IHC-P
-
FC
Reactivity
-
Human
Conjugation
-
unconjugated

浙公网安备 33019202000643号