Catalog# ER1803-54
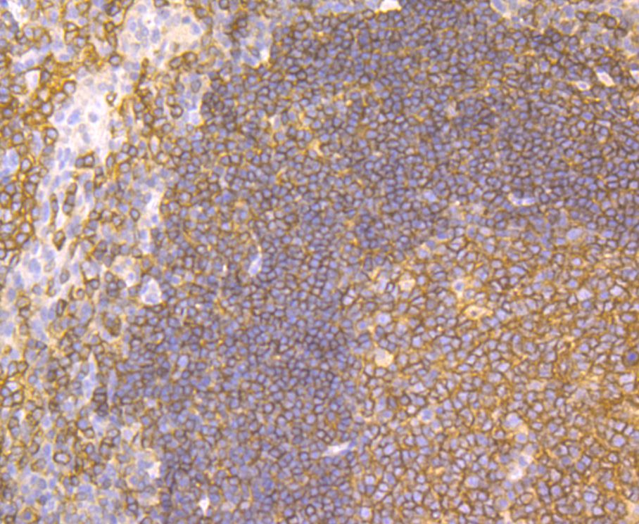
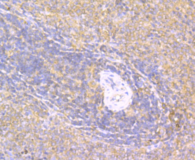
CD40 Rabbit Polyclonal Antibody
Application
-
WB
-
IF-Cell
-
IHC-P
-
FC
Reactivity
-
Human
-
Rat
Predicted reactivity
预测的种属支持售后
-
Mouse
This product has been cited in peer reviewed publications, see list HERE

