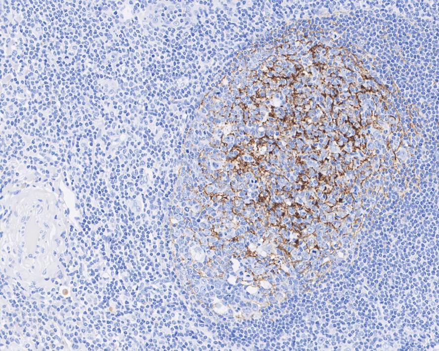
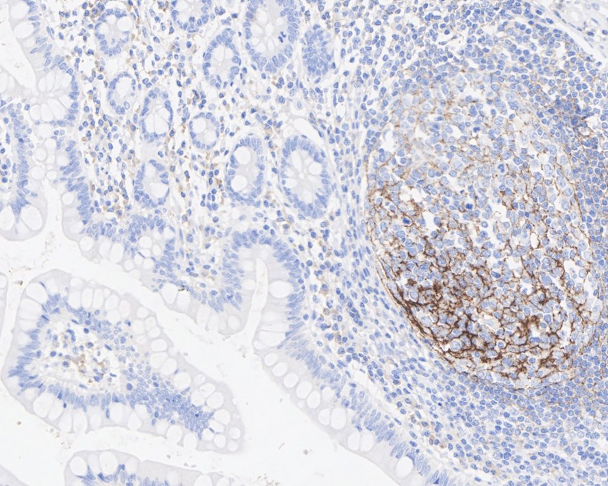
CD35 Recombinant Mouse Monoclonal Antibody [A4F3-R] - BSA and Azide free
Catalog# HA610095
CD35 Recombinant Mouse Monoclonal Antibody [A4F3-R] - BSA and Azide free
Application
-
WB
-
IF-Tissue
-
IHC-P
Reactivity
-
Human
With BSA and Azide
-
HA601217
含抗保成分
Conjugation
-
unconjugated
浙公网安备 33019202000643号