Catalog# ET1611-61
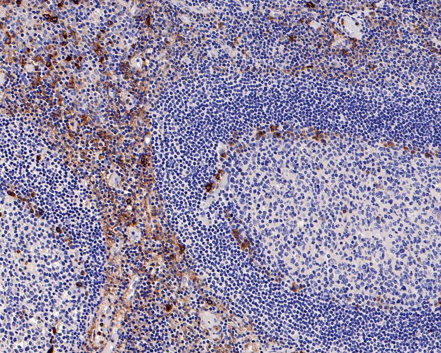
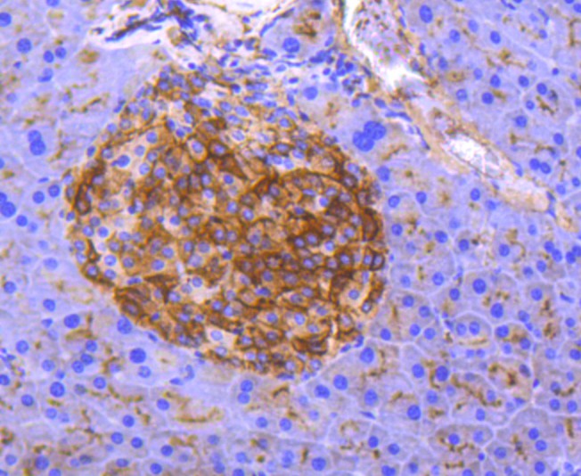
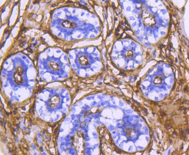
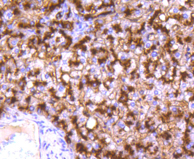
CD13 Recombinant Rabbit Monoclonal Antibody [SN71-04]
Application
-
WB
-
IHC-P
-
IP
-
IF-Tissue
Reactivity
-
Human
-
Mouse
-
Rat
Conjugation
-
unconjugated
This product has been cited in peer reviewed publications, see list HERE


浙公网安备 33019202000643号