Skip to content

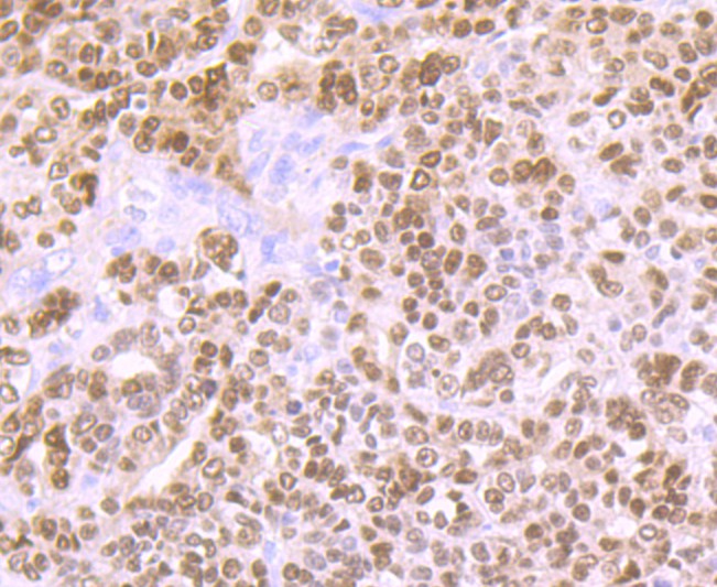
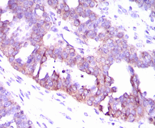
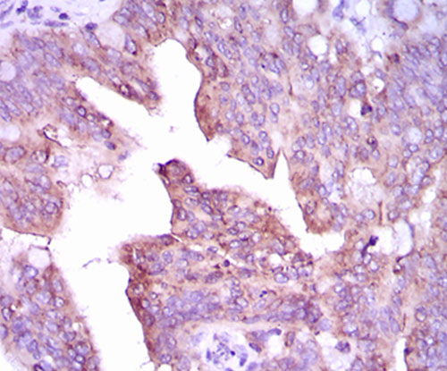
CAMK4 Mouse Monoclonal Antibody [B8-C5]

本产品已停产

Catalog# EM1709-05

CAMK4 Mouse Monoclonal Antibody [B8-C5]

Application
  • WB

  • ICC

  • IHC-P

  • FC

Reactivity
  • Human

Conjugation
  • unconjugated

Close (esc)

Popup

Use this popup to embed a mailing list sign up form. Alternatively use it as a simple call to action with a link to a product or a page.

Age verification

By clicking enter you are verifying that you are old enough to consume alcohol.

搜索