Catalog# HA721439
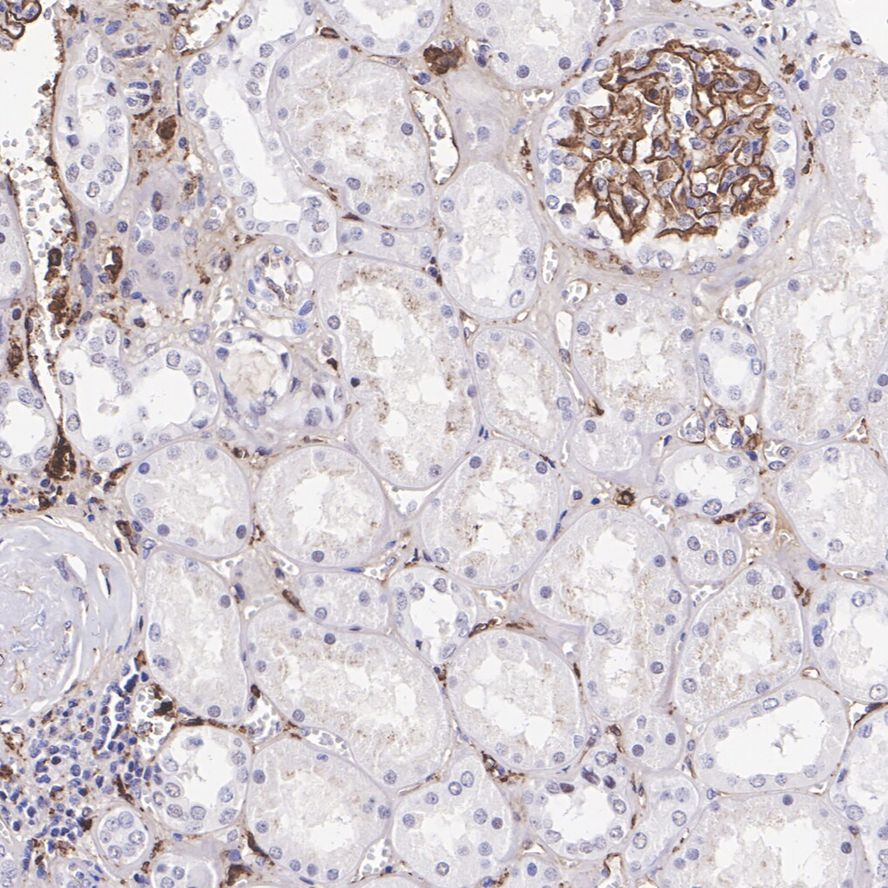
C1QA Recombinant Rabbit Monoclonal Antibody [JE66-59]
Application
-
WB
-
IHC-P
Reactivity
-
Human
Conjugation
-
unconjugated
This product has been cited in peer reviewed publications, see list HERE


浙公网安备 33019202000643号