Catalog# M1001-1
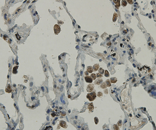
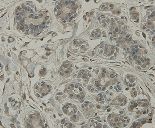
C19orf35 Mouse Monoclonal Antibody [3-B7-G3]
Application
-
WB
-
IF-Cell
-
IHC-P
Reactivity
-
Human
Conjugation
-
unconjugated

浙公网安备 33019202000643号