Catalog# EM1701-32
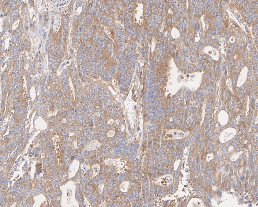
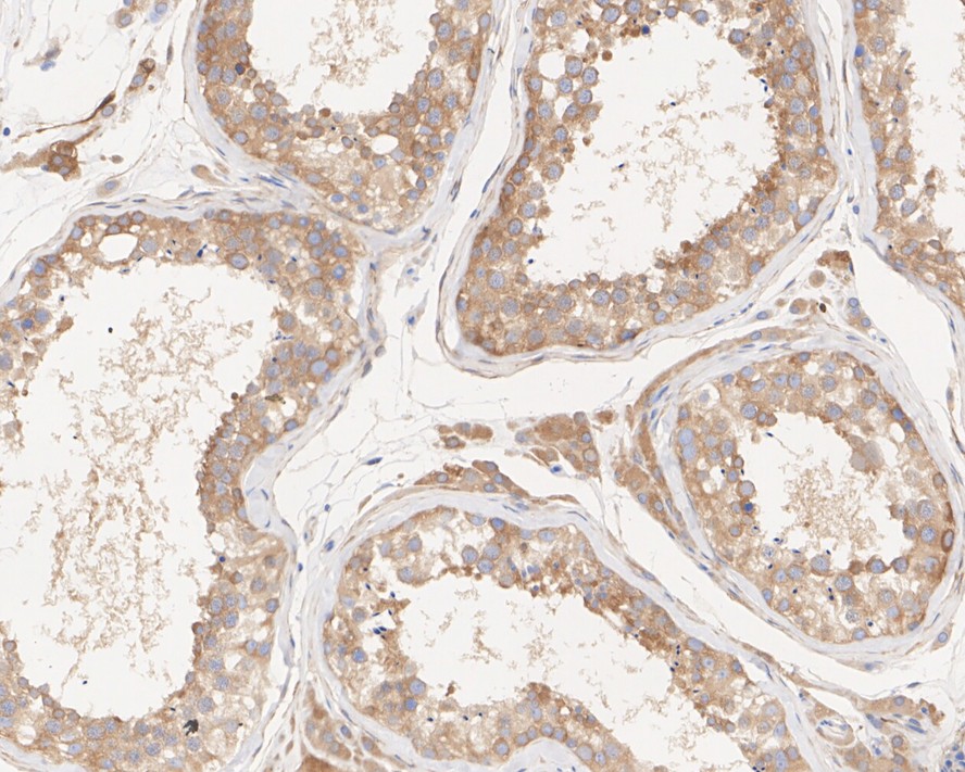
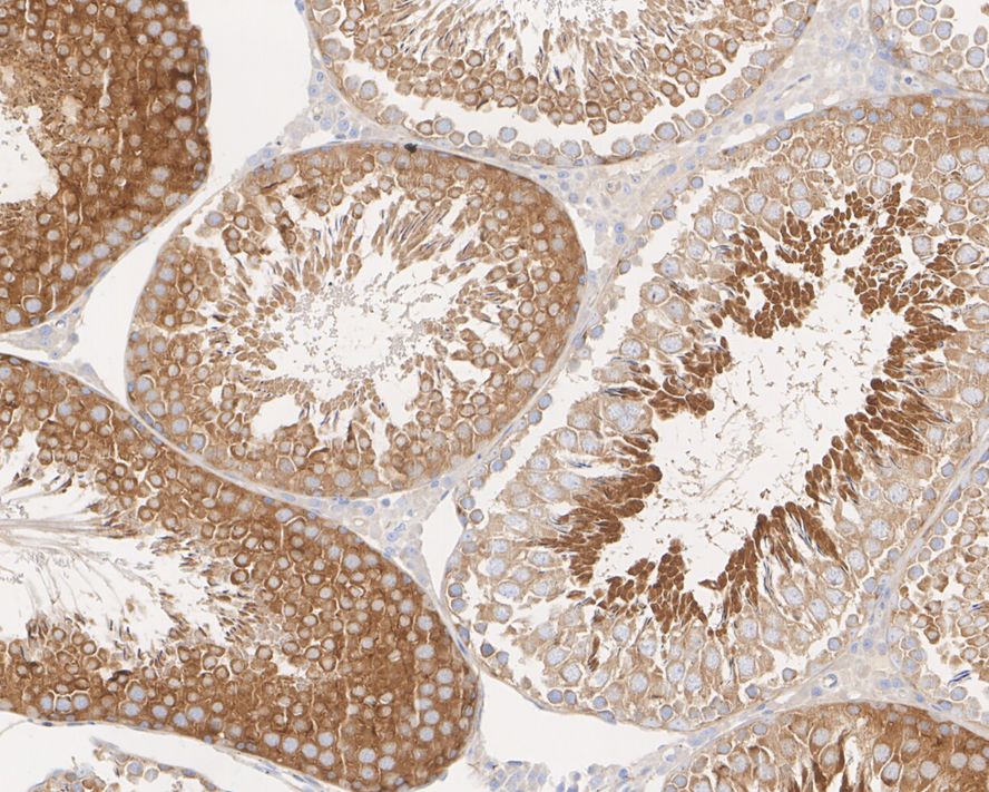
BRAF Mouse Monoclonal Antibody [F1-F4-E10]
Application
-
WB
-
IHC-P
-
IF-Cell
-
FC
Reactivity
-
Human
-
Mouse
-
Rat
-
Monkey


