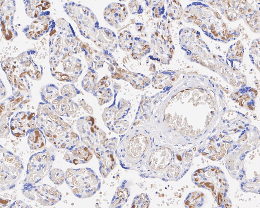
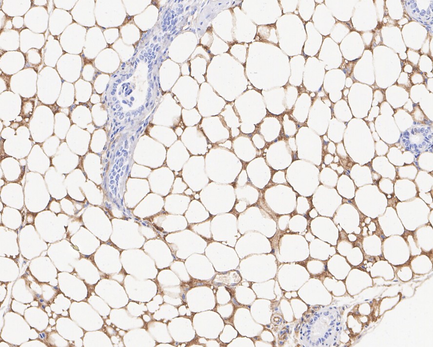
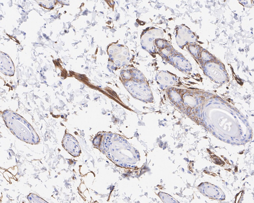
Adiponectin Recombinant Rabbit Monoclonal Antibody [PSH05-48] - BSA and Azide free
Catalog# HA751007
Adiponectin Recombinant Rabbit Monoclonal Antibody [PSH05-48] - BSA and Azide free
Application
-
WB
-
IHC-P
-
IF-Tissue
Reactivity
-
Human
-
Mouse
-
Rat
With BSA and Azide
-
HA722286
含抗保成分
Conjugation
-
unconjugated
浙公网安备 33019202000643号