Catalog# HA500176
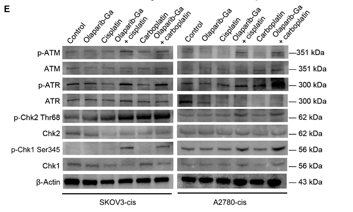
ATR Rabbit Polyclonal Antibody
Application
-
WB
-
IHC-P
Reactivity
-
Human
-
Rat
This product has been cited in peer reviewed publications, see list HERE

