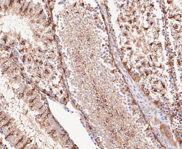
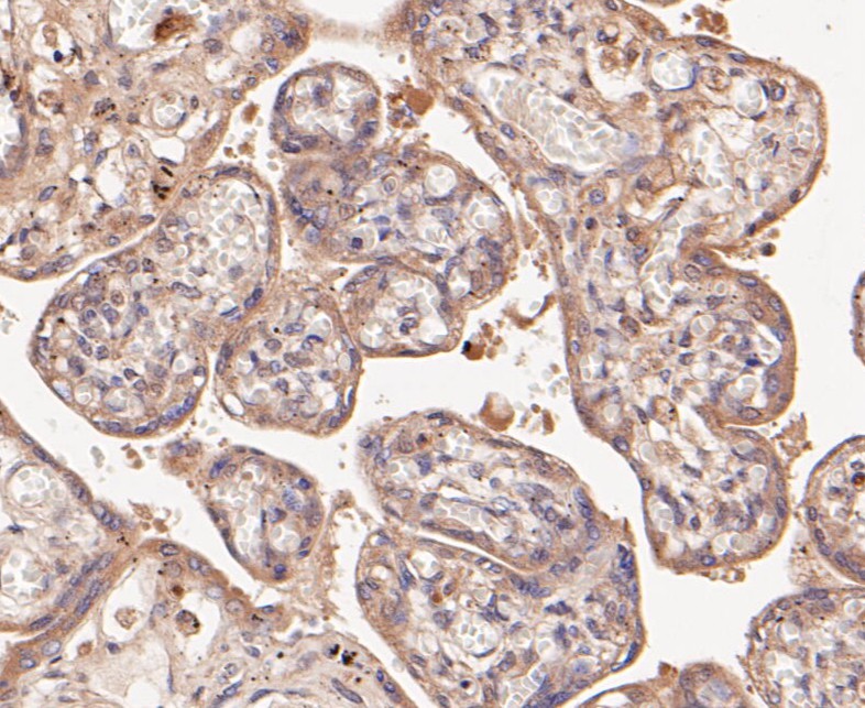
Catalog# ER1901-38
ATG4A Rabbit Polyclonal Antibody
Application
-
WB
-
IHC-P
Reactivity
-
Human
-
Mouse
-
Rat

