Catalog# HA601213
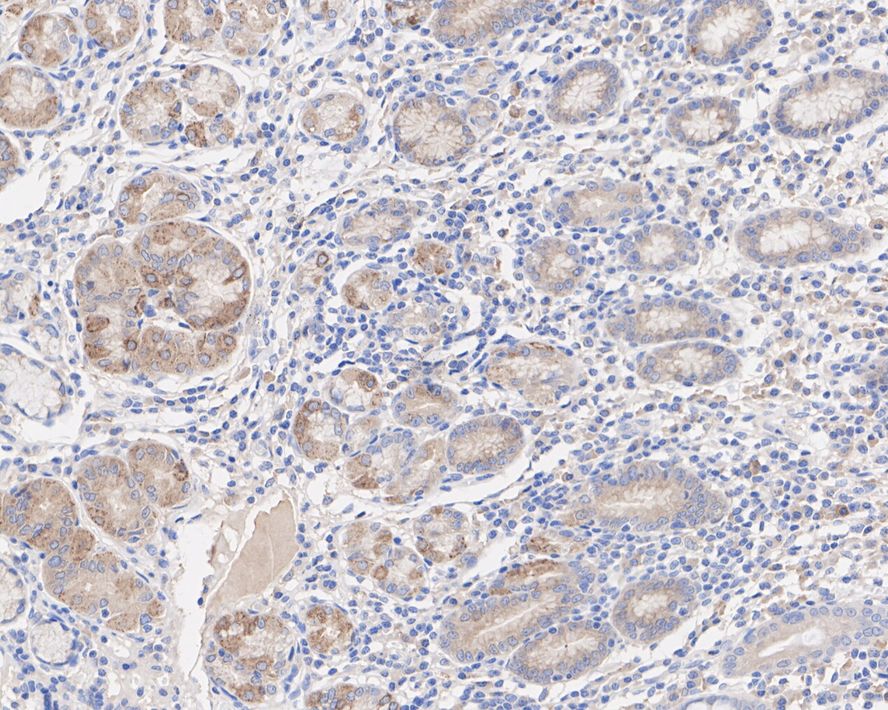
ACSL3 Recombinant Mouse Monoclonal Antibody [A8F6-R]
Application
-
WB
-
IHC-P
Reactivity
-
Human
BSA and Azide free
-
HA610091
不含抗保成分
Conjugation
-
unconjugated


浙公网安备 33019202000643号