Catalog# M1701-12
GRP94 Mouse Monoclonal Antibody [F1-D10-G3]
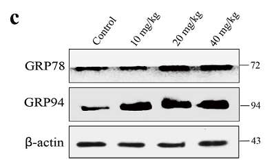
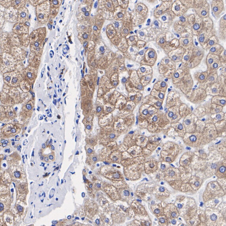
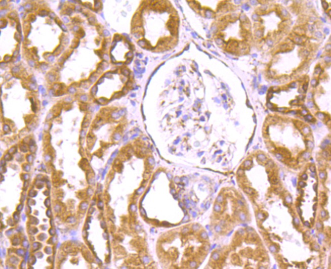
Application
-
WB
-
IHC-P
Reactivity
-
Human
-
Mouse
-
Rat
This product has been cited in peer reviewed publications, see list HERE

