Neuronal Marker IF Antibody Sampler Kit
General Overview
Kit Components
| Product Includes | Specification | Application | Reactivity | Mw |
|---|---|---|---|---|
| GFAP[ET1601-23] | 20µl | WB,IHC-P,IF-Tissue,IHC-Fr,mIHC,IP | Human,Mouse,Rat | Predicted band size: 50 kDa |
| CNPase[ET1702-46] | 20µl | WB,IHC-P,IF-Tissue | Human,Mouse,Rat | Predicted band size: 48 kDa |
| Beta III Tubulin[HA723738] | 20µl | WB,IHC-P,IF-Tissue,IF-Cell,FC,IP | Human,Mouse,Rat | Predicted band size: 50 kDa |
| Nestin[HA722919] | 20µl | WB,IF-Cell,IHC-P,IHC-Fr,IF-Tissue,mIHC,IP | Human,Mouse,Rat | Predicted band size: 207 kDa |
| NF-L[HA721538] | 20µl | WB,IHC-P,IF-Cell,IF-Tissue,IHC-Fr | Human,Mouse,Rat | Predicted band size: 62 kDa |
Product Description
The Neuronal Marker IF Antibody Sampler Kit provides an economical means for labeling neuronal structures. This kit includes enough primary antibody to perform at least two western blot\IHC-P\IHC-Fr experiments per primary antibody.
Product Features
Storage Buffer
1*TBS (pH7.4), 0.05% BSA, 40% Glycerol. Preservative: 0.05% Sodium Azide.
Storage Instructions
Store at +4℃ after thawing. Aliquot store at -20℃. Avoid repeated freeze / thaw cycles.
Background
The antibodies in this kit serve as neuronal markers to determine protein localization in neurons. The cytoskeleton consists of three types of cytosolic fibers: microfilaments (actin filaments), intermediate filaments, and microtubules. Neurofilaments are the major intermediate filaments found in neurons and consist of light (NFL), medium (NFM), and heavy (NFH) subunits. Nestin is an intermediate filament family member protein that is structurally related to the neurofilament proteins. Globular tubulin subunits comprise the microtubule building block, with α/β-tubulin heterodimers forming the tubulin subunit common to all eukaryotic cells.<br> High CNPase expression is seen in oligodendrocytes and Schwann cells as CNPase accounts for roughly 4% of the total myelin protein in the central nervous system. CNPase binds to tubulin heterodimers and plays a role in tubulin polymerization and oligodendrocyte process outgrowth. GFAP filaments are characteristic of differentiated and mature brain astrocytes. Thus, GFAP is commonly used by investigators as a marker for intracranial and intraspinal tumors arising from astrocytes.
Data Links
Background References
1. Michalczyk K, Ziman M. Nestin structure and predicted function in cellular cytoskeletal organisation. Histol Histopathol. 2005 Apr;20(2):665-71.
2. Lee J, Gravel M, Zhang R, Thibault P, Braun PE. Process outgrowth in oligodendrocytes is mediated by CNP, a novel microtubule assembly myelin protein. J Cell Biol. 2005 Aug 15;170(4):661-73.
3. Al-Chalabi A, Miller CC. Neurofilaments and neurological disease. Bioessays. 2003 Apr;25(4):346-55.
Images
-
Fluorescence multiplex immunohistochemical analysis of mouse hippocampus (Formalin/PFA-fixed paraffin-embedded sections). Panel A: the merged image of anti-GFAP (ET1601-23, Green), anti-NeuN (ET1602-12, Red) and anti-c-Fos (HA722666, White) on hippocampus. HRP Conjugated UltraPolymer Goat Polyclonal Antibody HA1119/HA1120 was used as a secondary antibody. The immunostaining was performed with the Sequential Immuno-staining Kit (IRISKit™MH010101, www.luminiris.cn). The section was incubated in three rounds of staining: in the order of ET1601-23 (1/1,000 dilution), ET1602-12 (1/1,000 dilution) and HA722666 (1/200 dilution) for 20 mins at room temperature. Each round was followed by a separate fluorescent tyramide signal amplification system. Heat mediated antigen retrieval with Tris-EDTA buffer (pH 9.0) for 30 mins at 95℃. DAPI (blue) was used as a nuclear counter stain. Image acquisition was performed with Zeiss Observer 7 Inverted Fluorescence Microscope.
-
Fluorescence multiplex immunohistochemical analysis of mouse brain (Formalin/PFA-fixed paraffin-embedded sections). Panel A: the merged image of anti-GFAP (ET1601-23, Green), anti-NeuN (ET1602-12, Red) and anti-c-Fos (HA722666, White) on brain. HRP Conjugated UltraPolymer Goat Polyclonal Antibody HA1119/HA1120 was used as a secondary antibody. The immunostaining was performed with the Sequential Immuno-staining Kit (IRISKit™MH010101, www.luminiris.cn). The section was incubated in three rounds of staining: in the order of ET1601-23 (1/1,000 dilution), ET1602-12 (1/1,000 dilution) and HA722666 (1/200 dilution) for 20 mins at room temperature. Each round was followed by a separate fluorescent tyramide signal amplification system. Heat mediated antigen retrieval with Tris-EDTA buffer (pH 9.0) for 30 mins at 95℃. DAPI (blue) was used as a nuclear counter stain. Image acquisition was performed with Zeiss Observer 7 Inverted Fluorescence Microscope.
-
Fluorescence multiplex immunohistochemical analysis of mouse brain (Formalin/PFA-fixed paraffin-embedded sections). Panel A: the merged image of anti-MAP2 (HA500177, Red), anti-Olig2 (ET1604-29, Cyan), anti-GFAP (ET1601-23, Magenta) and anti-Neun (ET1602-12, Yellow) on mouse brain. HRP Conjugated UltraPolymer Goat Polyclonal Antibody HA1119/HA1120 was used as a secondary antibody. The immunostaining was performed with the Sequential Immuno-staining Kit (IRISKit™MH010101, www.luminiris.cn). The section was incubated in four rounds of staining: in the order of HA500177 (1/1,000 dilution), ET1604-29 (1/5,000 dilution), ET1601-23 (1/10,000 dilution) and ET1602-12 (1/10,000 dilution) for 20 mins at room temperature. Each round was followed by a separate fluorescent tyramide signal amplification system. Heat mediated antigen retrieval with Tris-EDTA buffer (pH 9.0) for 30 mins at 95℃. DAPI (blue) was used as a nuclear counter stain. Image acquisition was performed with Olympus VS200 Slide Scanner.
-
Fluorescence multiplex immunohistochemical analysis of mouse hippocampus (Formalin/PFA-fixed paraffin-embedded sections). Panel A: the merged image of anti-MAP2 (HA500177, Green), anti-GFAP (ET1601-23, Red) and anti-NeuN (ET1602-12, Magenta) on Mouse hippocampus. HRP Conjugated UltraPolymer Goat Polyclonal Antibody HA1119/HA1120 was used as a secondary antibody. The immunostaining was performed with the Sequential Immuno-staining Kit (IRISKit™MH010101, www.luminiris.cn). The section was incubated in three rounds of staining: in the order of HA500177 (1/1,000 dilution), ET1601-23 (1/1,000 dilution) and ET1602-12 (1/10,000 dilution) for 20 mins at room temperature. Each round was followed by a separate fluorescent tyramide signal amplification system. Heat mediated antigen retrieval with Tris-EDTA buffer (pH 9.0) for 30 mins at 95℃. DAPI (blue) was used as a nuclear counter stain. Image acquisition was performed with Olympus VS200 Slide Scanner.
-
Fluorescence multiplex immunohistochemical analysis of mouse brain (Formalin/PFA-fixed paraffin-embedded sections). Panel A: the merged image of anti-NeuN (ET1602-12, red), anti-Iba1 (ET1705-78, green), anti-GFAP (ET1601-23, gray), anti-Olig2 (ET1604-29, cyan), anti-MAP2 (HA500177, magenta) and anti-CD34 (ET1606-11, yellow) on mouse brain. HRP Conjugated UltraPolymer Goat Polyclonal Antibody HA1119/HA1120 was used as a secondary antibody. The immunostaining was performed with the Sequential Immuno-staining Kit (IRISKit™MH010101, www.luminiris.cn). The section was incubated in six rounds of staining: in the order of ET1602-12(1/5,000 dilution), ET1705-78 (1/2,000 dilution), ET1601-23 (1/5,000 dilution), ET1604-29 (1/1,000 dilution), HA500177 (1/5,000 dilution) and ET1606-11 (1/2,000 dilution) for 20 mins at room temperature. Each round was followed by a separate fluorescent tyramide signal amplification system. Heat mediated antigen retrieval with Tris-EDTA buffer (pH 9.0) for 30 mins at 95℃. DAPI (blue) was used as a nuclear counter stain. Image acquisition was performed with Olympus VS200 Slide Scanner.
-
Immunohistochemical analysis of paraffin-embedded mouse cerebral cortex tissue with Rabbit anti-GFAP antibody (ET1601-23) at 1/1,000 dilution.
The section was pre-treated using heat mediated antigen retrieval with Tris-EDTA buffer (pH 9.0) for 20 minutes. The tissues were blocked in 1% BSA for 20 minutes at room temperature, washed with ddH2O and PBS, and then probed with the primary antibody (ET1601-23) at 1/1,000 dilution for 1 hour at room temperature. The detection was performed using an HRP conjugated compact polymer system. DAB was used as the chromogen. Tissues were counterstained with hematoxylin and mounted with DPX. -
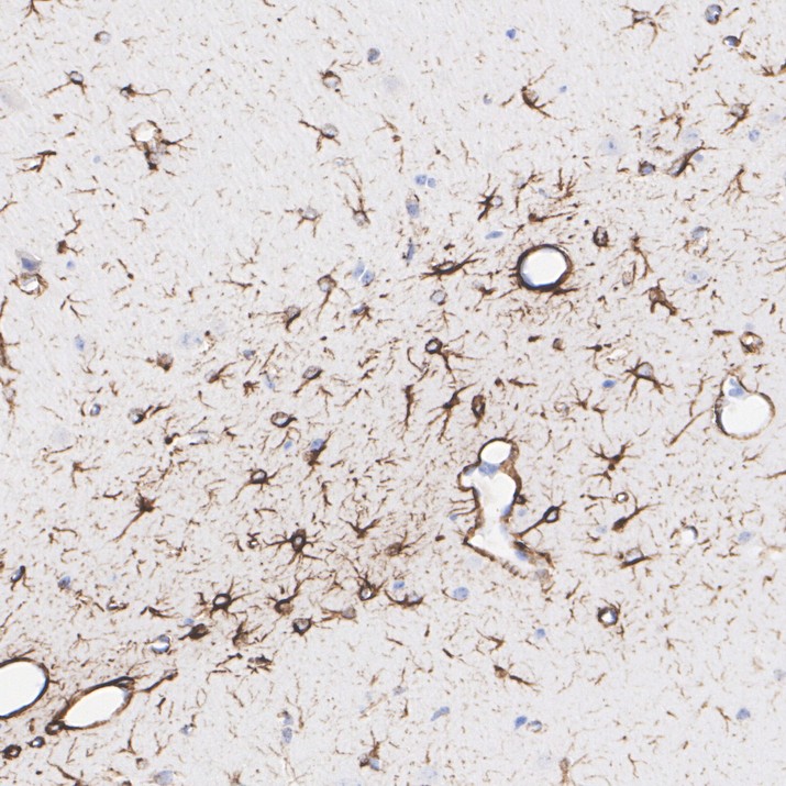
Immunohistochemical analysis of paraffin-embedded rat hippocampus tissue with Rabbit anti-GFAP antibody (ET1601-23) at 1/1,000 dilution.
The section was pre-treated using heat mediated antigen retrieval with Tris-EDTA buffer (pH 9.0) for 20 minutes. The tissues were blocked in 1% BSA for 20 minutes at room temperature, washed with ddH2O and PBS, and then probed with the primary antibody (ET1601-23) at 1/1,000 dilution for 1 hour at room temperature. The detection was performed using an HRP conjugated compact polymer system. DAB was used as the chromogen. Tissues were counterstained with hematoxylin and mounted with DPX. -
Western blot analysis of Beta III Tubulin on different lysates with Rabbit anti-Beta III Tubulin antibody (ET1604-17) at 1/20,000 dilution.
Lane 1: SH-SY5Y cell lysate (15 µg/Lane)
Lane 2: HeLa cell lysate (15 µg/Lane)
Lane 3: Neuro-2a cell lysate (15 µg/Lane)
Lane 4: NIH/3T3 cell lysate (15 µg/Lane)
Lane 5: PC-12 cell lysate (15 µg/Lane)
Lane 6: C6 cell lysate (15 µg/Lane)
Lane 7: Mouse brain tissue lysate (20 µg/Lane)
Lane 8: Rat brain tissue lysate (20 µg/Lane)
Predicted band size: 50 kDa
Observed band size: 50 kDa
Exposure time: 3 minutes 54 seconds;
4-20% SDS-PAGE gel.
Proteins were transferred to a PVDF membrane and blocked with 5% NFDM/TBST for 1 hour at room temperature. The primary antibody (ET1604-17) at 1/20,000 dilution was used in 5% NFDM/TBST at room temperature for 2 hours. Goat Anti-Rabbit IgG - HRP Secondary Antibody (HA1001) at 1:50,000 dilution was used for 1 hour at room temperature. -
Immunofluorescence analysis of frozen mouse hippocampus (CA1) tissue labeling Beta III Tubulin with Rabbit anti-Beta III Tubulin antibody (ET1604-17).
The tissues were blocked in 3% BSA for 30 minutes at room temperature, washed with PBS, and then probed with the primary antibody (ET1604-17, green) at 1/100 dilution overnight at 4℃, washed with PBS. Goat Anti-Rabbit IgG H&L (Alexa Fluor® 488) was used as the secondary antibody at 1/200 dilution. Nuclei were counterstained with DAPI (blue). Image acquisition was performed with KFBIO KF-FL-400 Scanner. -
Flow cytometric analysis of PC-12 cells labeling Beta III Tubulin.
Cells were fixed and permeabilized. Then stained with the primary antibody (ET1604-17, 1/100) (red) compared with Rabbit IgG Isotype Control (green). After incubation of the primary antibody at +4℃ for an hour, the cells were stained with a iFluor™ 488 conjugate-Goat anti-Rabbit IgG Secondary antibody (HA1121) at 1/1,000 dilution for 30 minutes at +4℃. Unlabelled sample was used as a control (cells without incubation with primary antibody; black). -
Beta III Tubulin was immunoprecipitated from 0.2 mg SH-SY5Y cell lysate with ET1604-17 at 2 µg/10 µl beads. Western blot was performed from the immunoprecipitate using ET1604-17 at 1/10,000 dilution. Anti-Rabbit IgG for IP Nano-secondary antibody (NBI01H) at 1/5,000 dilution was used for 1 hour at room temperature.
Lane 1: SH-SY5Y cell lysate (input)
Lane 2: ET1604-17 IP in SH-SY5Y cell lysate
Lane 3: Rabbit IgG instead of ET1604-17 in SH-SY5Y cell lysate
Blocking/Dilution buffer: 5% NFDM/TBST
Exposure time: 2 seconds; ECL: K1801 -
Immunofluorescence analysis of paraffin-embedded mouse embryonic brain tissue labeling Nestin with Rabbit anti-Nestin antibody (HA722919) at 1/500 dilution.
The section was pre-treated using heat mediated antigen retrieval with Tris-EDTA buffer (pH 9.0) for 20 minutes. The tissues were blocked in 10% negative goat serum for 1 hour at room temperature, washed with PBS, and then probed with the primary antibody (HA722919, green) at 1/500 dilution overnight at 4 ℃, washed with PBS. Goat Anti-Rabbit IgG H&L (iFluor™ 488, HA1121) was used as the secondary antibody at 1/1,000 dilution. Nuclei were counterstained with DAPI (blue). -
Western blot analysis of NF-L on different lysates with Rabbit anti-NF-L antibody (HA721538) at 1/1,000 dilution.
Lane 1: Mouse brain tissue lysate
Lane 2: Rat brain tissue lysate
Lane 3: Mouse hippocampus tissue lysate
Lane 4: Rat hippocampus tissue lysate
Lane 5: Human liver tissue lysate (negative)
Lane 6: Mouse liver tissue lysate (negative)
Lane 7: Rat liver tissue lysate (negative)
Lysates/proteins at 20 µg/Lane.
Predicted band size: 62 kDa
Observed band size: 68 kDa
Exposure time: 3 minutes;
4-20% SDS-PAGE gel.
Proteins were transferred to a PVDF membrane and blocked with 5% NFDM/TBST for 1 hour at room temperature. The primary antibody (HA721538) at 1/1,000 dilution was used in 5% NFDM/TBST at room temperature for 2 hours. Goat Anti-Rabbit IgG - HRP Secondary Antibody (HA1001) at 1:100,000 dilution was used for 1 hour at room temperature. -
Immunocytochemistry analysis of mouse glia cells labeling NF-L with Rabbit anti-NF-L antibody (HA721538) at 1/1,000 dilution.
Cells were fixed with 4% PFA (15 min), permeabilized with 0.25% TritonX-100 for 15 minutes and then blocked with 1% BSA/10% normal goat serum/0.3M glycine in 0.1%PBS-Tween for 1h. The cells were then incubated overnight at 4℃ with Rabbit anti-NF-L antibody (HA721538) at at 1/1,000 dilution. Goat Anti-Rabbit IgG H&L (iFluor™ 488, HA1121) was used as the secondary antibody at 1/1,000 dilution. PBS instead of the primary antibody was used as the secondary antibody only control. Nuclear DNA was labelled in blue with DAPI. -
Immunocytochemistry analysis of C2C12 cells labeling Nestin with Rabbit anti-Nestin antibody (HA722919) at 1/5,000 dilution.
Cells were fixed in 4% paraformaldehyde for 15 minutes at room temperature, permeabilized with 0.1% Triton X-100 in PBS for 15 minutes at room temperature, then blocked with 1% BSA in 10% negative goat serum for 1 hour at room temperature. Cells were then incubated with Rabbit anti-Nestin antibody (HA722919) at 1/5,000 dilution in 1% BSA in PBST overnight at 4 ℃. Goat Anti-Rabbit IgG H&L (iFluor™ 488, HA1121) was used as the secondary antibody at 1/1,000 dilution. PBS instead of the primary antibody was used as the secondary antibody only control. Nuclear DNA was labelled in blue with DAPI.
Beta tubulin (HA601187, red) was stained at 1/100 dilution overnight at +4℃. Goat Anti-Mouse IgG H&L (iFluor™ 594, HA1126) was used as the secondary antibody at 1/1,000 dilution.
Related Products
iFluor™ 488 Conjugated GFAP Mouse Monoclonal Antibody [1-D4]
Application: IF-Tissue,IHC-Fr
Reactivity: Human,Rat
Conjugate: iFluor™ 488
GFAP Recombinant Mouse Monoclonal Antibody [PSH10-24] - BSA and Azide free
Application: WB,IHC-Fr,IHC-P,IF-Tissue
Reactivity: Human,Mouse,Rat
Conjugate: unconjugated
GFAP Rabbit Polyclonal Antibody
Application: WB,IF-Cell,IHC-P
Reactivity: Human,Mouse,Rat
Conjugate: unconjugated
Biotin Conjugated GFAP Mouse Monoclonal Antibody [PSH05-17]
Application: ELISA(Det)
Reactivity: Human,Mouse,Rat
Conjugate: Biotin
GFAP Rabbit Polyclonal Antibody
Application: WB,IF-Cell,IHC-P,FC
Reactivity: Human,Mouse,Rat
Conjugate: unconjugated