概述
产品名称
COX2/Cyclooxygenase 2 Recombinant Rabbit Monoclonal Antibody [SC56-06]
抗体类型
Recombinant Rabbit monoclonal Antibody
免疫原
Synthetic peptide within human COX2 aa 100-140.
种属反应性
Human, Mouse, Rat
验证应用
WB, IF-Cell, IF-Tissue, IHC-P
分子量
Predicted band size: 69 kDa
阳性对照
NIH/3T3 cell lysate, C2C12 cell lysate, L6 cell lysate, Mouse bladder tissue lysate, Mouse small intestine tissue lysate, C2C12, A549 cell lysates, A549, rat bladder tissue, human colon tissue, mouse kidney tissue, mouse uterus tissue.
偶联
unconjugated
克隆号
SC56-06
RRID
产品特性
形态
Liquid
存放说明
Shipped at 4℃. Store at +4℃ short term (1-2 weeks). It is recommended to aliquot into single-use upon delivery. Store at -20℃ long term.
存储缓冲液
1*TBS (pH7.4), 0.05% BSA, 40% Glycerol. Preservative: 0.05% Sodium Azide.
亚型
IgG
纯化方式
Protein A affinity purified.
应用稀释度
-
WB
-
1:1,000-1:2,000
-
IF-Cell
-
1:50-1:200
-
IF-Tissue
-
1:50-1:200
-
IHC-P
-
1:100-1:5,000
发表文章中的应用
| WB | 查看 24 篇文献如下 |
| IHC-P | 查看 5 篇文献如下 |
| IF | 查看 2 篇文献如下 |
发表文章中的种属
| Mouse | 查看 21 篇文献如下 |
| Human | 查看 8 篇文献如下 |
| Rat | 查看 3 篇文献如下 |
靶点
功能
Prostaglandins are a diverse group of autocrine and paracrine hormones that mediate many cellular and physiologic processes. Prostaglandin H2 (PGH2) is an intermediate molecule in formation of the prostaglandins. Cyclooxygenase-1 (Cox-1) and cyclooxygenase-2 (Cox-2) are prostaglandin synthases that catalyze the formation of PGH2 from arachidonic acid (AA). Cox-1 and Cox-2 are isozymes of prostaglandin-endoperoxidase synthase (PTGS). Cox-1 is constitutively expressed in most tissues and is thought to serve in general “housekeeping” functions. Cox-2 is efficiently induced in migratory cells responding to pro-inflammatory stimuli and is considered to be an important mediator of inflammation. Both enzymes are targets for the nonsteroidal therapeutic anti-inflammatory drugs, NSAIDs.
背景文献
1. Kaczocha M et al. Fatty acid binding protein deletion suppresses inflammatory pain through endocannabinoid/N-acylethanolamine-dependent mechanisms. Mol Pain 11:52 (2015).
2. Wang J et al. Mechanism of QSYQ on anti-apoptosis mediated by different subtypes of cyclooxygenase in AMI induced heart failure rats. BMC Complement Altern Med 15:352 (2015).
序列相似性
Belongs to the prostaglandin G/H synthase family.
翻译后修饰
S-nitrosylation by NOS2 (iNOS) activates enzyme activity. S-nitrosylation may take place on different Cys residues in addition to Cys-526.; Acetylated at Ser-565 by SPHK1. During neuroinflammation, acetylation by SPHK1 promotes neuronal secretion of specialized preresolving mediators (SPMs), especially 15-R-lipoxin A4, which results in an increase of phagocytic microglia.
亚细胞定位
Microsome membrane, Endoplasmic reticulum membrane, Nucleus inner membrane, Nucleus outer membrane.
别名
COX 2 antibody
COX-2 antibody
COX2 antibody
Cyclooxygenase 2 antibody
Cyclooxygenase 2b antibody
Cyclooxygenase antibody
Cyclooxygenase-2 antibody
Cyclooxygenase2 antibody
EC 1.14.99.1 antibody
fj02a10 antibody
展开COX 2 antibody
COX-2 antibody
COX2 antibody
Cyclooxygenase 2 antibody
Cyclooxygenase 2b antibody
Cyclooxygenase antibody
Cyclooxygenase-2 antibody
Cyclooxygenase2 antibody
EC 1.14.99.1 antibody
fj02a10 antibody
Glucocorticoid-regulated inflammatory cyclooxygenase antibody
Glucocorticoid-regulated inflammatory Prostaglandin G/H synthase antibody
GRIPGHS antibody
hCox 2 antibody
Macrophage activation-associated marker protein P71/73 antibody
OTTHUMP00000033524 antibody
PES-2 antibody
PGG/HS antibody
PGH synthase 2 antibody
PGH2_HUMAN antibody
PGHS 2 antibody
PGHS-2 antibody
PGHS2 antibody
PHS 2 antibody
PHS II antibody
PHS2 antibody
Prostaglandin endoperoxide synthase 2 (prostaglandin G/H synthase and cyclooxygenase) antibody
Prostaglandin endoperoxide synthase 2 antibody
Prostaglandin G/H synthase 2 antibody
Prostaglandin G/H synthase 2 precursor antibody
Prostaglandin G/H synthase and cyclooxygenase antibody
Prostaglandin G/H synthase antibody
Prostaglandin H2 synthase 2 antibody
prostaglandin-endoperoxide synthase 2 (prostaglandin G/H synthase and cyclooxygenase) antibody
Prostaglandin-endoperoxide synthase 2 antibody
PTGS2 antibody
ptgs2a antibody
TIS10 antibody
TIS10 protein antibody
unp1239 antibody
wu:fj02a10 antibody
折叠图片
-
Western blot analysis of COX2/Cyclooxygenase 2 on different lysates with Rabbit anti-COX2/Cyclooxygenase 2 antibody (ET1610-23) at 1/1,000 dilution.
Lane 1: NIH/3T3 cell lysate (20 µg/Lane)
Lane 2: C2C12 cell lysate (20 µg/Lane)
Lane 3: L6 cell lysate (20 µg/Lane)
Lane 4: Mouse bladder tissue lysate (40 µg/Lane)
Lane 5: Mouse small intestine tissue lysate (40 µg/Lane)
Predicted band size: 69 kDa
Observed band size: 69 kDa
Exposure time: 3 minutes; ECL: K1801;
4-20% SDS-PAGE gel.
Proteins were transferred to a PVDF membrane and blocked with 5% NFDM/TBST for 1 hour at room temperature. The primary antibody (ET1610-23) at 1/1,000 dilution was used in 5% NFDM/TBST at 4℃ overnight. Goat Anti-Rabbit IgG - HRP Secondary Antibody (HA1001) at 1/50,000 dilution was used for 1 hour at room temperature. -
Immunocytochemistry analysis of C2C12 cells labeling COX2/Cyclooxygenase 2 with Rabbit anti-COX2/Cyclooxygenase 2 antibody (ET1610-23) at 1/100 dilution.
Cells were fixed in 4% paraformaldehyde for 20 minutes at room temperature, permeabilized with 0.1% Triton X-100 in PBS for 5 minutes at room temperature, then blocked with 1% BSA in 10% negative goat serum for 1 hour at room temperature. Cells were then incubated with Rabbit anti-COX2/Cyclooxygenase 2 antibody (ET1610-23) at 1/100 dilution in 1% BSA in PBST overnight at 4 ℃. Goat Anti-Rabbit IgG H&L (iFluor™ 488, HA1121) was used as the secondary antibody at 1/1,000 dilution. PBS instead of the primary antibody was used as the secondary antibody only control. Nuclear DNA was labelled in blue with DAPI.
Beta tubulin (M1305-2, red) was stained at 1/100 dilution overnight at +4℃. Goat Anti-Mouse IgG H&L (iFluor™ 594, HA1126) was used as the secondary antibody at 1/1,000 dilution. -
☑ Knockdown (KD)
Western blot analysis of COX2 with anti-COX2 antibody [SC56-06] (ET1610-23) at 1/1,000 dilution.
Lane 1/2: Wild-type A431 whole cell lysate (20 µg).
Lane 3/4: COX2 fragment knockdown A431 whole cell lysate (20 µg).
Proteins were transferred to a PVDF membrane and blocked with 5% NFDM in TBST for 1 hour at room temperature. The primary antibody (ET1610-23, 1/1,000) and Loading control antibody (Rabbit anti-Vinculin, ET1705-94, 1/5,000) were used in 5% BSA at room temperature for 2 hours. Goat Anti-Rabbit IgG-HRP Secondary Antibody (HA1001) at 1/200,000 dilution was used for 1 hour at room temperature. -
Western blot analysis of COX2/Cyclooxygenase 2 on A549 cell lysates. Proteins were transferred to a PVDF membrane and blocked with 5% BSA in PBS for 1 hour at room temperature. The primary antibody (ET1610-23, 1/1,000) was used in 5% BSA at room temperature for 2 hours. Goat Anti-Rabbit IgG - HRP Secondary Antibody (HA1001) at 1/50,000 dilution was used for 1 hour at room temperature.
-
Immunocytochemistry analysis of A549 cells labeling COX2/Cyclooxygenase 2 with Rabbit anti-COX2/Cyclooxygenase 2 antibody (ET1610-23) at 1/50 dilution.
Cells were fixed in 4% paraformaldehyde for 10 minutes at 37 ℃, permeabilized with 0.05% Triton X-100 in PBS for 20 minutes, and then blocked with 2% negative goat serum for 30 minutes at room temperature. Cells were then incubated with Rabbit anti-COX2/Cyclooxygenase 2 antibody (ET1610-23) at 1/50 dilution in 2% negative goat serum overnight at 4 ℃. Goat Anti-Rabbit IgG H&L (iFluor™ 488, HA1121) was used as the secondary antibody at 1/1,000 dilution. PBS instead of the primary antibody was used as the secondary antibody only control. Nuclear DNA was labelled in blue with DAPI. -
Immunohistochemical analysis of paraffin-embedded rat bladder tissue with Rabbit anti-COX2/Cyclooxygenase 2 antibody (ET1610-23) at 1/100 dilution.
The section was pre-treated using heat mediated antigen retrieval with sodium citrate buffer (pH 6.0) (high pressure) for 2 minutes. The tissues were blocked in 1% BSA for 20 minutes at room temperature, washed with ddH2O and PBS, and then probed with the primary antibody (ET1610-23) at 1/100 dilution for 1 hour at room temperature. The detection was performed using an HRP conjugated compact polymer system. DAB was used as the chromogen. Tissues were counterstained with hematoxylin and mounted with DPX. -
Immunohistochemical analysis of paraffin-embedded human colon tissue with Rabbit anti-COX2/Cyclooxygenase 2 antibody (ET1610-23) at 1/5,000 dilution.
The section was pre-treated using heat mediated antigen retrieval with Tris-EDTA buffer (pH 9.0) for 20 minutes. The tissues were blocked in 1% BSA for 20 minutes at room temperature, washed with ddH2O and PBS, and then probed with the primary antibody (ET1610-23) at 1/5,000 dilution for 1 hour at room temperature. The detection was performed using an HRP conjugated compact polymer system. DAB was used as the chromogen. Tissues were counterstained with hematoxylin and mounted with DPX. -
Immunohistochemical analysis of paraffin-embedded mouse kidney tissue with Rabbit anti-COX2/Cyclooxygenase 2 antibody (ET1610-23) at 1/5,000 dilution.
The section was pre-treated using heat mediated antigen retrieval with Tris-EDTA buffer (pH 9.0) for 20 minutes. The tissues were blocked in 1% BSA for 20 minutes at room temperature, washed with ddH2O and PBS, and then probed with the primary antibody (ET1610-23) at 1/5,000 dilution for 1 hour at room temperature. The detection was performed using an HRP conjugated compact polymer system. DAB was used as the chromogen. Tissues were counterstained with hematoxylin and mounted with DPX. -
Immunohistochemical analysis of paraffin-embedded mouse uterus tissue with Rabbit anti-COX2/Cyclooxygenase 2 antibody (ET1610-23) at 1/1,000 dilution.
The section was pre-treated using heat mediated antigen retrieval with Tris-EDTA buffer (pH 9.0) for 20 minutes. The tissues were blocked in 1% BSA for 20 minutes at room temperature, washed with ddH2O and PBS, and then probed with the primary antibody (ET1610-23) at 1/1,000 dilution for 1 hour at room temperature. The detection was performed using an HRP conjugated compact polymer system. DAB was used as the chromogen. Tissues were counterstained with hematoxylin and mounted with DPX.
请注意: All products are "FOR RESEARCH USE ONLY AND ARE NOT INTENDED FOR DIAGNOSTIC OR THERAPEUTIC USE"
引文
-
Excessive copper exposure alters macrophage inflammatory responses via the p62-TRAF6-NF-κB axis
Author: Hongrui Guo
PMID: 28NOPMID25102901
期刊: Journal of Agriculture and Food Research
应用:
反应种属:
发表时间: 2025 Sept
-
Citation
-
Lactobacillus plantarum and Galacto-Oligosaccharides Synbiotic Relieve Irritable Bowel Syndrome by Reshaping Gut Microbiota and Attenuating Mast Cell Hyperactivation
Author: Qi Yao, Wenbo Zhang, Yuze Wang, Le Shi, Yixiao Zhao, Jiarui Liang, Yu Zhao, Jiawei Kang, Xudong Zheng, Rui Guo, Tian Yuan, Yongbo She, Zhigang Liu
PMID: 40431410
期刊: Nutrients
应用: IF
反应种属: Mouse
发表时间: 2025 May
-
Citation
-
Integrating network pharmacology, molecular docking, and animal studies to investigate the protective effect of astragalus polysaccharide on fluoride-induced renal injury in rats
Author: Xiaoyue Zhang, Qianda Yan, Yuanyuan Xiao, Xingyan Du, Xuehua Zhang, Didong Lou, Fang Peng, Daiyong Chen, Wenchao Tang
PMID: 40154226
期刊: Ecotoxicology And Environmental Safety
应用: IHC-P
反应种属: Rat
发表时间: 2025 Mar
-
Citation
-
Elucidating the mechanism of dibutyl phthalate on Alzheimer's disease through network toxicology, molecular docking and validation in mouse neuroblastoma cells
Author: Jing Zi, Xinlong Li, Qianqian Cao, Yifan Hu, Zhichang Ran, Yanliu Li, Jiayuan He, Xiaoyu Wang, Guo Cheng, Jingyuan Xiong
PMID: 40752663
期刊: Food And Chemical Toxicology
应用: WB
反应种属: Mouse
发表时间: 2025 Aug
-
Citation
-
Tryptophan 2,3-dioxygenase-positive matrix fibroblasts fuel breast cancer lung metastasis via kynurenine-mediated ferroptosis resistance of metastatic cells and T cell dysfunction
Author: Yongcan Liu, Shanchun Chen, Xueying Wan, Rui Wang, Haojun Luo, Chao Chang, Peijin Dai, Yubi Gan, Yuetong Guo, Yixuan Hou, Yan Sun, Yong Teng, Xiaojiang Cui, Manran Liu
PMID: 39221971
期刊: Cancer Communications
应用: IHC-P
反应种属: Mouse
发表时间: 2024 Sept
-
Citation
-
NPR1 promotes cisplatin resistance by inhibiting PARL-mediated mitophagy-dependent ferroptosis in gastric cancer
Author: Chengwei Wu,et al
PMID: 39476297
期刊: Cell Biology And Toxicology
应用: WB
反应种属: Mouse
发表时间: 2024 Nov
-
Citation
-
Network pharmacology and in vitro experiments reveal the potential therapeutic effects of Scrophularia ningpoensis Hemsl in the treatment of ameloblastoma
Author: Jing-Rui Yi, Bang Zeng, Bing Liu, Rui-Fang Li, Yin-Fu Che, Qi-Wen Man
PMID: 39551179
期刊: Journal Of Stomatology Oral And Maxillofacial Surgery
应用: IHC-P
反应种属: Human
发表时间: 2024 Nov
-
Citation
-
PRDM16 Suppresses Ferroptosis to Protect against Sepsis-associated Acute Kidney Injury by Targeting the NRF2/GPX4 Axis
Author: Qiang Zheng, Jihong Xing, Xiaozhou Li, Xianming Tang, Dongshan Zhang
PMID: 39549609
期刊: Redox Biology
应用:
反应种属:
发表时间: 2024 Nov
-
Citation
-
Tumor microenvironment-based smart beacon drug delivery system for in situ visualization of tumor therapy
Author: Yongchun Wei ,et al
PMID: NO PMID 24110812
期刊: Chemical Engineering Journal
应用: WB
反应种属: Mouse
发表时间: 2024 Nov
-
Citation
-
YY1 Lactylation Aggravates Autoimmune Uveitis by Enhancing Microglial Functions via Inflammatory Genes
Author: Huang Jiaxing,et al
PMID: 38493498
期刊: Advanced Science
应用: IF
反应种属: Human,Mouse
发表时间: 2024 May
-
Citation
-
Edaravone Dexborneol ameliorates the cognitive deficits of APP/PS1 mice by inhibiting TLR4/MAPK signaling pathway via upregulating TREM2
Author: Wang Jinyang,et al
PMID: 38763325
期刊: Neuropharmacology
应用: IHC-P
反应种属: Mouse
发表时间: 2024 May
-
Citation
-
Extracellular Vesicles Containing GAS6 Protect the Liver from Ischemia-Reperfusion Injury by Enhancing Macrophage Efferocytosis via MerTK-ERK-COX2 Signaling
Author: Di Guohui,et al
PMID: 39256347
期刊: Preprint And Has Not Been Certified By Peer Review
应用: WB
反应种属: Mouse
发表时间: 2024 Jun
-
Citation
-
Vaccarin alleviates septic cardiomyopathy by potentiating NLRP3 palmitoylation and inactivation
Author: Zhu Xuexue,et al
PMID: 38851101
期刊: Phytomedicine
应用: WB
反应种属: Rat
发表时间: 2024 Jun
-
Citation
-
Low-level Nd:YAG laser inhibiting inflammation and oxidative stress in human gingival fibroblasts via AMPK/SIRT3 axis
Author: Zhang Haizheng,et al
PMID: 38244301
期刊: Journal Of Photochemistry And Photobiology B-Biology
应用: WB
反应种属: Human
发表时间: 2024 Jan
-
Citation
-
Effects of antibiotic cocktail on the fecal microbiota and their potential correlation of local immune response
Author: Liu Ting,et al
PMID: 39085808
期刊: BMC Microbiology
应用: IHC-P
反应种属: Mouse
发表时间: 2024 Aug
-
Citation
-
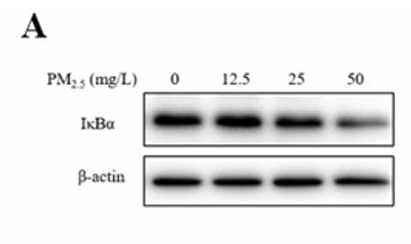
PM2. 5 exposure upregulates pro-inflammatory protein expression in human microglial cells via oxidant stress and TLR4/NF-κB pathway
Author: Zhang Ling,et al
PMID: 38657455
期刊: Ecotoxicology And Environmental Safety
应用: WB
反应种属: Human
发表时间: 2024 Apr
-
Citation
-
Differentiation of intestinal stem cells toward goblet cells under systemic iron overload stress are associated with inhibition of Notch signaling pathway and ferroptosis
Author: Zhao Jing,et al
PMID: 38631120
期刊: Redox Biology
应用: WB
反应种属: Mouse
发表时间: 2024 Apr
-
Citation
-
PD184352 exerts anti-inflammatory and antioxidant effects by promoting activation of the Nrf2/HO-1 axis
Author:
PMID: 37028460
期刊: Biochemical Pharmacology
应用: WB
反应种属: Mouse
发表时间: 2023 May
-
Citation
-
TAK-715 alleviated IL-1β-induced apoptosis and ECM degradation in nucleus pulposus cells and attenuated intervertebral disc degeneration ex vivo and in vivo
Author:
PMID: 36945021
期刊: Arthritis Research & Therapy
应用: WB
反应种属: Human
发表时间: 2023 Mar
-
Citation
-
Sirt3 improves monosodium urate crystal-induced inflammation by suppressing Acod1 expression
Author: Linxi Lv , Hui Jiang , Dianze Song ,et al
PMID: 37468929
期刊: Arthritis Research & Therapy
应用: WB
反应种属: Mouse
发表时间: 2023 Jul
-
Citation
-
Autophagy-mediated ferroptosis involved in nickel-induced nephrotoxicity in the mice
Author: Yang, Q., Zuo, Z., Zeng, Y., Ouyang, Y., Cui, H., Deng, H., Zhu, Y., Deng, J., Geng, Y., Ouyang, P., Lai, W., Du, Z., Ni, X., Yin, H., Fang, J., & Guo, H.
PMID: 37235900
期刊: Ecotoxicology And Environmental Safety
应用: WB
反应种属: Mouse
发表时间: 2023 Jul
-
Citation
-
Canagliflozin Attenuates Lipotoxicity in Cardiomyocytes by Inhibiting Inflammation and Ferroptosis through Activating AMPK Pathway
Author: Zhang, W., Lu, J., Wang, Y., Sun, P., Gao, T., Xu, N., Zhang, Y., & Xie, W.
PMID: 36614295
期刊: International Journal Of Molecular Sciences
应用: WB
反应种属: Mouse
发表时间: 2023 Jan
-
Citation
-
Boosting ferroptosis and microtubule inhibition for antitumor therapy via a carrier-free supermolecule nanoreactor
Author:
PMID: 36816538
期刊: Journal Of Pharmaceutical Analysis
应用: WB
反应种属: Mouse
发表时间: 2023 Jan
-
Citation
-
Cucurbitacin E reduces IL-1β-induced inflammation and cartilage degeneration by inhibiting the PI3K/Akt pathway in osteoarthritic chondrocytes
Author: Wang Lin, Xu Hui, Li Xin, Chen Hongwei, Zhang Haigang, Zhu Xunpeng, Lin Zhijie, Guo Shilei, Bao Zhibo, Rui Haicheng, He Wei, Zhang Hui
PMID: 38049841
期刊: Journal Of Translational Medicine
应用: WB
反应种属: Human
发表时间: 2023 Dec
-
Citation
-
Limonin delays the progression of intervertebral disc degeneration in vivo and in vitro: the key role of the MAPK/NF-κB and necroptosis pathways
Author:
PMID: 36856818
期刊: Journal Of Pharmacy And Pharmacology
应用: WB
反应种属: Mouse
发表时间: 2023 Apr
-
Citation
-
Renal tubule-targeted dexrazoxane suppresses ferroptosis in acute kidney injury by inhibiting ACMSD
Author: Zhang Yunjing, Wu Jicheng, An Quanlin, Zhu Huanhuan, Su Xinwan, Wang Ying, Xie Xishao, Zhang Jian, Yao Xi, Weng Chunhua, Feng Shi, Mao Jianhua, Fu Xianghui, Han Fei, Cao Xin, Wang Ben, Lin Weiqiang
PMID: 22NOPMID25020602
期刊: Nano Research
应用: WB
反应种属: Human
发表时间: 2023 Apr
-
Citation
-
Hepatocyte-Derived Prostaglandin E2-Modulated Macrophage M1-Type Polarization via mTOR-NPC1 Axis-Regulated Cholesterol Transport from Lysosomes to the Endoplasmic Reticulum in Hepatitis B Virus x Protein-Related Nonalcoholic Steatohepatitis
Author:
PMID: 36232960
期刊: International Journal Of Molecular Sciences
应用: WB
反应种属: Human
发表时间: 2022 Oct
-
Citation
-
Shenhuang plaster ameliorates the Inflammation of postoperative ileus through inhibiting PI3K/Akt/NF-κB pathway
Author: Liu, T., Xu, M., Shi, Z., Li, M., Wang, R., Shi, Y., Xu, X., Shao, T., & Sun, Q.
PMID: 36411615
期刊: Biomedicine & Pharmacotherapy
应用: WB
反应种属: Mouse
发表时间: 2022 Oct
-
Citation
-
Saikosaponin-d Alleviates Renal Inflammation and Cell Apoptosis in a Mouse Model of Sepsis via TCF7/FOSL1/Matrix Metalloproteinase 9 Inhibition
Author: Yao, T., Zhang, L., Fu, Y., Yao, L., Zhou, C., & Chen, G.
PMID: 34309413
期刊: Molecular And Cellular Biology
应用: WB
反应种属: Mouse
发表时间: 2021 Sept
-
Citation
-
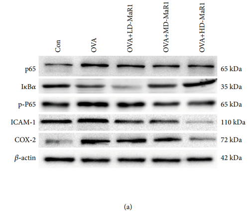
The Protective Effects of Maresin 1 in the OVA-Induced Asthma Mouse Model
Author:
PMID: 33628113
期刊: Mediators Of Inflammation
应用: WB
反应种属: Mouse
发表时间: 2021 Feb
-
Citation
-
MicroRNA-579-3p Exerts Neuroprotective Effects Against Ischemic Stroke via Anti-Inflammation and Anti-Apoptosis
Author:
PMID: 32494142
期刊: Neuropsychiatric Disease And Treatment
应用: WB
反应种属: Rat
发表时间: 2020 May
-
Citation
-
The role of sphingosine-1-phosphate signaling pathway in cementocyte mechanotransduction. Biochemical and biophysical research communications, 523(3), 595–601.
Author: Peipei Duan
PMID: 31941604
期刊: Biochemical And Biophysical Research Communications
应用: WB
反应种属: Mouse
发表时间: 2020 Mar
-
Citation
-
Curcumin attenuates MSU crystal-induced inflammation by inhibiting the degradation of IκBα and blocking mitochondrial damage.
Author:
PMID: 31455356
期刊: Arthritis Research & Therapy
应用: WB
反应种属: Mouse
发表时间: 2019 Aug
-
Citation
同靶点 & 同通路的产品
COX2/Cyclooxygenase 2 Recombinant Rabbit Monoclonal Antibody [SC56-06] - BSA and Azide free
Application: WB,IF-Cell,IF-Tissue,IHC-P
Reactivity: Human,Mouse,Rat
Conjugate: unconjugated


