图片
-
☑ Knockdown (KD)
Western blot analysis of RHEB on different lysates with Rabbit anti-RHEB antibody (ET7108-44) at 1/1,000 dilution.
Lane 1: Wild-type Raw264.7 whole cell lysate.
Lane 2: RHEB knockdown Raw264.7 whole cell lysate.
Lysates/proteins at 10 µg/Lane.
Predicted band size: 20 kDa
Observed band size: 27 kDa
Exposure time: 2 minutes;
15% SDS-PAGE gel.
ET7108-44 was shown to specifically react with RHEB in wild-type Raw264.7 cells. Weakened band was observed when RHEB knockout samples were tested. Wild-type and RHEB knockout samples were subjected to SDS-PAGE. Proteins were transferred to a PVDF membrane and blocked with 5% NFDM in TBST for 1 hour at room temperature. The primary Anti-RHEB antibody (ET7108-44, 1/1,000) and Anti-GAPDH antibody (ET1601-4, 1/10,000) were used in 5% BSA at room temperature for 2 hours. Goat Anti-Rabbit IgG H&L (HRP) Secondary Antibody (HA1001) at 1:200,000 dilution was used for 1 hour at room temperature.
Cell lysate was provided by Ubigene Biosciences (Ubigene Biosciences Co., Ltd., Guangzhou, China).
-
Western blot analysis of RHEB on mouse placenta tissue lysate lysates with Rabbit anti-RHEB antibody (ET7108-44) at 1/500 dilution.
Lysates/proteins at 20 µg/Lane.
Predicted band size: 20 kDa
Observed band size: 24 kDa
Exposure time: 2 minutes;
15% SDS-PAGE gel.
Proteins were transferred to a PVDF membrane and blocked with 5% NFDM/TBST for 1 hour at room temperature. The primary antibody (ET7108-44) at 1/500 dilution was used in 5% NFDM/TBST at room temperature for 2 hours. Goat Anti-Rabbit IgG - HRP Secondary Antibody (HA1001) at 1:5,000 dilution was used for 1 hour at room temperature.
-
Immunocytochemistry analysis of Neuro-2a cells labeling RHEB with Rabbit anti-RHEB antibody (ET7108-44) at 1/50 dilution.
Cells were fixed in 4% paraformaldehyde for 15 minutes at room temperature, permeabilized with 0.1% Triton X-100 in PBS for 15 minutes at room temperature, then blocked with 1% BSA in 10% negative goat serum for 1 hour at room temperature. Cells were then incubated with Rabbit anti-RHEB antibody (ET7108-44) at 1/50 dilution in 1% BSA in PBST overnight at 4 ℃. Goat Anti-Rabbit IgG H&L (iFluor™ 488, HA1121) was used as the secondary antibody at 1/1,000 dilution. PBS instead of the primary antibody was used as the secondary antibody only control. Nuclear DNA was labelled in blue with DAPI.
Beta tubulin (M1305-2, red) was stained at 1/100 dilution overnight at +4℃. Goat Anti-Mouse IgG H&L (iFluor™ 594, HA1126) was used as the secondary antibody at 1/1,000 dilution.
-
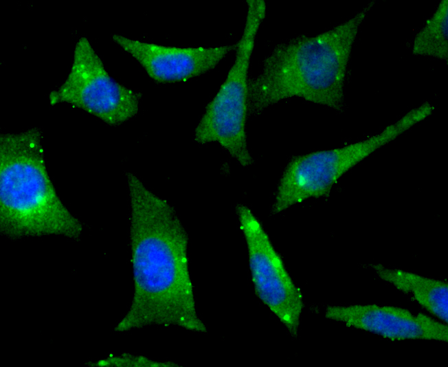
Immunocytochemistry analysis of A431 cells labeling RHEB with Rabbit anti-RHEB antibody (ET7108-44) at 1/50 dilution.
Cells were fixed in 4% paraformaldehyde for 10 minutes at 37 ℃, permeabilized with 0.05% Triton X-100 in PBS for 20 minutes, and then blocked with 2% negative goat serum for 30 minutes at room temperature. Cells were then incubated with Rabbit anti-RHEB antibody (ET7108-44) at 1/50 dilution in 2% negative goat serum overnight at 4 ℃.Alexa Fluor®488 Goat anti-Rabbit IgG was used as the secondary antibody at 1/1,000 dilution. Nuclear DNA was labelled in blue with DAPI.
-
Immunocytochemistry analysis of SH-SY5Y cells labeling RHEB with Rabbit anti-RHEB antibody (ET7108-44) at 1/50 dilution.
Cells were fixed in 4% paraformaldehyde for 10 minutes at 37 ℃, permeabilized with 0.05% Triton X-100 in PBS for 20 minutes, and then blocked with 2% negative goat serum for 30 minutes at room temperature. Cells were then incubated with Rabbit anti-RHEB antibody (ET7108-44) at 1/50 dilution in 2% negative goat serum overnight at 4 ℃.Alexa Fluor®488 Goat anti-Rabbit IgG was used as the secondary antibody at 1/1,000 dilution. Nuclear DNA was labelled in blue with DAPI.
-
Immunohistochemical analysis of paraffin-embedded human liver tissue with Rabbit anti-RHEB antibody (ET7108-44) at 1/50 dilution.
The section was pre-treated using heat mediated antigen retrieval with Tris-EDTA buffer (pH 8.0-8.4) for 20 minutes. The tissues were blocked in 1% BSA for 20 minutes at room temperature, washed with ddH2O and PBS, and then probed with the primary antibody (ET7108-44) at 1/50 dilution for 0.5 hour at room temperature. The detection was performed using an HRP conjugated compact polymer system. DAB was used as the chromogen. Tissues were counterstained with hematoxylin and mounted with DPX.
-
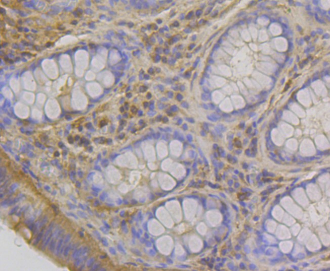
Immunohistochemical analysis of paraffin-embedded human colon tissue with Rabbit anti-RHEB antibody (ET7108-44) at 1/50 dilution.
The section was pre-treated using heat mediated antigen retrieval with Tris-EDTA buffer (pH 8.0-8.4) for 20 minutes. The tissues were blocked in 1% BSA for 20 minutes at room temperature, washed with ddH2O and PBS, and then probed with the primary antibody (ET7108-44) at 1/50 dilution for 0.5 hour at room temperature. The detection was performed using an HRP conjugated compact polymer system. DAB was used as the chromogen. Tissues were counterstained with hematoxylin and mounted with DPX.
-
Immunohistochemical analysis of paraffin-embedded human fetal skeletal muscle tissue with Rabbit anti-RHEB antibody (ET7108-44) at 1/50 dilution.
The section was pre-treated using heat mediated antigen retrieval with Tris-EDTA buffer (pH 8.0-8.4) for 20 minutes. The tissues were blocked in 1% BSA for 20 minutes at room temperature, washed with ddH2O and PBS, and then probed with the primary antibody (ET7108-44) at 1/50 dilution for 0.5 hour at room temperature. The detection was performed using an HRP conjugated compact polymer system. DAB was used as the chromogen. Tissues were counterstained with hematoxylin and mounted with DPX.
-
Flow cytometric analysis of RHEB was done on Hela cells. The cells were fixed, permeabilized and stained with the primary antibody (ET7108-44, 1/50) (purple). After incubation of the primary antibody at room temperature for an hour, the cells were stained with a Alexa Fluor 488-conjugated Goat anti-Rabbit IgG Secondary antibody at 1/1000 dilution for 30 minutes.Unlabelled sample was used as a control (cells without incubation with primary antibody; yellow).
请注意: All products are "FOR RESEARCH USE ONLY AND ARE NOT INTENDED FOR DIAGNOSTIC OR THERAPEUTIC USE"