Exosome Essentials Antibody Sampler Kit
General Overview
Kit Components
| Product Includes | Specification | Application | Reactivity | Mw |
|---|---|---|---|---|
| Calnexin[ET1611-86] | 20µl | WB,IP,IHC-P | Human,Mouse,Rat | Predicted band size: 68 kDa |
| CD9[HA721533] | 20µl | WB,IHC-P | Human | Predicted band size: 25 kDa |
| CD63[HA722731] | 20µl | WB,IF-Cell,FC,IP,IHC-P | Human | Predicted band size: 26 kDa |
| TAPA1/CD81[ET1611-87] | 20µl | WB,IF-Cell,IHC-P,FC | Human,Mouse,Rat | Predicted band size: 26 kDa |
| Hsp70[ET1601-11] | 20µl | WB,IF-Cell,IF-Tissue,IHC-P,FC | Human,Mouse,Rat | Predicted band size: 70 kDa |
| TSG101[ET1701-59] | 20µl | WB,IF-Cell,IF-Tissue,IHC-P,FC | Human,Mouse,Rat | Predicted band size: 44 kDa |
| Goat Anti-Rabbit IgG (H+L)[HA1001] | 100µl | WB,ELISA,IHC-P | Rabbit |
Product Description
The Exosome Essentials Antibody Sampler Kit provides an economical means of analyzing proteins that can be present on exosomes. The kit includes enough antibodies to perform two western blot experiments with each primary antibody.
Product Features
Storage Buffer
1*TBS (pH7.4), 0.05% BSA, 40% Glycerol. Preservative: 0.05% Sodium Azide.
Storage Instructions
Store at +4℃ after thawing. Aliquot store at -20℃. Avoid repeated freeze / thaw cycles.
Background
Exosomes are small (30-150 nm) membrane-bound vesicles that are secreted by various cell types under normal and pathological conditions. They originate from intracellular multivesicular endosomes upon fusion with the plasma membrane. Exosomes have emerged as an important mechanism of intercellular communication facilitating the transfer of membrane and cytosolic proteins, lipids, and RNA.There are protein markers that appear with high frequency. Transmembrane proteins (CD9, CD63, CD81) and cytoplasmic proteins (TSG101, HSP70, Alix) are the core markers identified in exosomes. <BR>Calnexin,a marker of the endoplasmic reticulum not exosome, is used to exclude cell debris or contamination.Tumor susceptibility gene 101 (TSG101) is a fundamental component of the ESCRT complex I involved in regulating the trafficking of proteins throughout the endosomal compartment. The heat shock protein HSP70 is a molecular chaperone involved in protein folding that can be induced upon environmental stress . HSP70 may also be secreted through exosomes.
Data Links
Background References
1. Lai JJ, Chau ZL, Chen SY, Hill JJ, Korpany KV, Liang NW, Lin LH, Lin YH, Liu JK, Liu YC, Lunde R, Shen WT. Exosome Processing and Characterization Approaches for Research and Technology Development. Adv Sci (Weinh). 2022 May;9(15):e2103222.
2. He C, Zheng S, Luo Y, Wang B. Exosome Theranostics: Biology and Translational Medicine. Theranostics. 2018 Jan 1;8(1):237-255.
3. Doyle LM, Wang MZ. Overview of Extracellular Vesicles, Their Origin, Composition, Purpose, and Methods for Exosome Isolation and Analysis. Cells. 2019 Jul 15;8(7):727.
Images
-
Western blot analysis of CD9 on different lysates with Rabbit anti-CD9 antibody (HA721533) at 1/5,000 dilution and competitor's antibody at 1/2,000 dilution.
Lane 1: HeLa cell lysate
Lane 2: K-562 cell lysate (negative)
Lane 3: MCF7 cell lysate
Lane 4: HepG2 cell lysate
Lysates/proteins at 20 µg/Lane.
Predicted band size: 25 kDa
Observed band size: 20 kDa
Exposure time: Lane 1-4 (left): 53 seconds; Lane 1-4 (right): 3 minutes;
4-20% SDS-PAGE gel.
Proteins were transferred to a PVDF membrane and blocked with 5% NFDM/TBST for 1 hour at room temperature. The primary antibody (HA721533) at 1/5,000 dilution and competitor's antibody at 1/2,000 dilution were used in 5% NFDM/TBST at 4℃ overnight. Goat Anti-Rabbit IgG - HRP Secondary Antibody (HA1001) at 1/50,000 dilution was used for 1 hour at room temperature. -
Western blot analysis of CD9 on different lysates with Rabbit anti-CD9 antibody (HA721533) at 1/2,000 dilution.
Lane 1: HepG2-si NT cell lysate
Lane 2: HepG2-si CD9 cell lysate
Lysates/proteins at 10 µg/Lane.
Predicted band size: 25 kDa
Observed band size: 20 kDa
Exposure time: 1 minute 55 seconds;
4-20% SDS-PAGE gel.
Proteins were transferred to a PVDF membrane and blocked with 5% NFDM/TBST for 1 hour at room temperature. The primary antibody (HA721533) at 1/2,000 dilution was used in 5% NFDM/TBST at 4℃ overnight. Goat Anti-Rabbit IgG - HRP Secondary Antibody (HA1001) at 1/50,000 dilution was used for 1 hour at room temperature. -
Western blot analysis of CD63 on different lysates with Rabbit anti-CD63 antibody (HA722731) at 1/1,000 dilution.
Lane 1: SK-MEL-28 cell lysate
Lane 2: Jurkat cell lysate (negative)
Lane 3: U-87 MG cell lysate
Lane 4: HUVEC cell lysate
Lane 5: K-562 cell lysate
Lane 6: HEK-293 cell lysate
Lane 7: HL-60 cell lysate
Lysates/proteins at 20 µg/Lane.
Predicted band size: 26 kDa
Observed band size: 30-65 kDa
Exposure time: Lane 1: 4 seconds; Lane 2-7: 18 seconds; ECL: K1802;
4-20% SDS-PAGE gel.
Proteins were transferred to a PVDF membrane and blocked with 5% NFDM/TBST for 1 hour at room temperature. The primary antibody (HA722731) at 1/1,000 dilution was used in 5% NFDM/TBST at 4℃ overnight. Goat Anti-Rabbit IgG - HRP Secondary Antibody (HA1001) at 1/50,000 dilution was used for 1 hour at room temperature. -
Western blot analysis of TAPA1/CD81 on different lysates with Rabbit anti-TAPA1/CD81 antibody (ET1611-87) at 1/1,000 dilution.
Lane 1: HCT 116-si NT cell lysate
Lane 2: HCT 116-si TAPA1/CD81 cell lysate
Lysates/proteins at 20 µg/Lane.
Predicted band size: 26 kDa
Observed band size: 25 kDa
Exposure time: 2 minutes; ECL: K1801;
4-20% SDS-PAGE gel.
Proteins were transferred to a PVDF membrane and blocked with 5% NFDM/TBST for 1 hour at room temperature. The primary antibody (ET1611-87) at 1/1,000 dilution was used in 5% NFDM/TBST at 4℃ overnight. Goat Anti-Rabbit IgG - HRP Secondary Antibody (HA1001) at 1/50,000 dilution was used for 1 hour at room temperature. -
Western blot analysis of Hsp70 on different lysates with Rabbit anti-Hsp70 antibody (ET1601-11) at 1/2,000 dilution.
Lane 1: HeLa cell lysate
Lane 2: A549 cell lysate
Lane 3: MCF7 cell lysate
Lane 4: HCT 116 cell lysate
Lane 5: Mouse brain tissue lysate
Lane 6: Mouse testis tissue lysate
Lane 7: Rat testis tissue lysate
Lysates/proteins at 15 µg/Lane.
Predicted band size: 70 kDa
Observed band size: 70 kDa
Exposure time: Lane 1-4: 43 seconds; Lane 5-7: 2 minutes;
4-20% SDS-PAGE gel.
Proteins were transferred to a PVDF membrane and blocked with 5% NFDM/TBST for 1 hour at room temperature. The primary antibody (ET1601-11) at 1/2,000 dilution was used in 5% NFDM/TBST at 4℃ overnight. Goat Anti-Rabbit IgG - HRP Secondary Antibody (HA1001) at 1:50,000 dilution was used for 1 hour at room temperature. -
Western blot analysis of TSG101 on different lysates with Rabbit anti-TSG101 antibody (ET1701-59) at 1/2,000 dilution and competitor's antibody at 1/1,000 dilution.
Lane 1: HeLa cell lysate
Lane 2: K-562 cell lysate
Lane 3: MCF7 cell lysate
Lane 4: Jurkat cell lysate
Lane 5: C2C12 cell lysate
Lane 6: PC-12 cell lysate
Lysates/proteins at 20 µg/Lane.
Predicted band size: 44 kDa
Observed band size: 44/47 kDa
Exposure time: 3 minutes 20 seconds;
4-20% SDS-PAGE gel.
Proteins were transferred to a PVDF membrane and blocked with 5% NFDM/TBST for 1 hour at room temperature. The primary antibody (ET1701-59) at 1/2,000 dilution and competitor's antibody at 1/1,000 dilution were used in 5% NFDM/TBST at 4℃ overnight. Goat Anti-Rabbit IgG - HRP Secondary Antibody (HA1001) at 1/50,000 dilution was used for 1 hour at room temperature. -
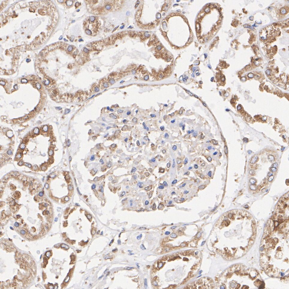
Immunohistochemical analysis of paraffin-embedded human kidney tissue with Rabbit anti-Calnexin antibody (ET1611-86) at 1/5,000 dilution.
The section was pre-treated using heat mediated antigen retrieval with Tris-EDTA buffer (pH 9.0) for 20 minutes. The tissues were blocked in 1% BSA for 20 minutes at room temperature, washed with ddH2O and PBS, and then probed with the primary antibody (ET1611-86) at 1/5,000 dilution for 1 hour at room temperature. The detection was performed using an HRP conjugated compact polymer system. DAB was used as the chromogen. Tissues were counterstained with hematoxylin and mounted with DPX. -
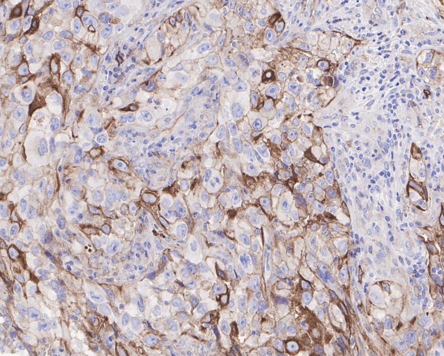
Immunohistochemical analysis of paraffin-embedded human lung carcinoma tissue with Rabbit anti-CD9 antibody (HA721533) at 1/200 dilution.
The section was pre-treated using heat mediated antigen retrieval with Tris-EDTA buffer (pH 9.0) for 20 minutes. The tissues were blocked in 1% BSA for 20 minutes at room temperature, washed with ddH2O and PBS, and then probed with the primary antibody (HA721533) at 1/200 dilution for 1 hour at room temperature. The detection was performed using an HRP conjugated compact polymer system. DAB was used as the chromogen. Tissues were counterstained with hematoxylin and mounted with DPX. -
Calnexin was immunoprecipitated from 0.2 mg HeLa cell lysate with ET1611-86 at 2 µg/10 µl beads. Western blot was performed from the immunoprecipitate using ET1611-86 at 1/1,000 dilution. Anti-Rabbit IgG for IP Nano-secondary antibody (NBI01H) at 1/5,000 dilution was used for 1 hour at room temperature.
Lane 1: HeLa cell lysate (input)
Lane 2: ET1611-86 IP in HeLa cell lysate
Lane 3: Rabbit IgG instead of ET1611-86 in HeLa cell lysate
Blocking/Dilution buffer: 5% NFDM/TBST
Exposure time: 1 minute 5 seconds; ECL: K1801 -
CD63 was immunoprecipitated from 0.2 mg SK-MEL-28 cell lysate with HA722731 at 2 µg/10 µl beads. Western blot was performed from the immunoprecipitate using HA722731 at 1/1,000 dilution. Anti-Rabbit IgG for IP Nano-secondary antibody (NBI01H) at 1/5,000 dilution was used for 1 hour at room temperature.
Lane 1: SK-MEL-28 cell lysate (input)
Lane 2: HA722731 IP in SK-MEL-28 cell lysate
Lane 3: Rabbit IgG instead of HA722731 in SK-MEL-28 cell lysate
Blocking/Dilution buffer: 5% NFDM/TBST
Exposure time: 1 minute 31 seconds; ECL: K1801 -
Immunocytochemistry analysis of A549 cells labeling Hsp70 with Rabbit anti-Hsp70 antibody (ET1601-11) at 1/100 dilution.
Cells were fixed in 4% paraformaldehyde for 15 minutes at room temperature, permeabilized with 0.1% Triton X-100 in PBS for 15 minutes at room temperature, then blocked with 1% BSA in 10% negative goat serum for 1 hour at room temperature. Cells were then incubated with Rabbit anti-Hsp70 antibody (ET1601-11) at 1/100 dilution in 1% BSA in PBST overnight at 4 ℃. Goat Anti-Rabbit IgG H&L (iFluor™ 488, HA1121) was used as the secondary antibody at 1/1,000 dilution. PBS instead of the primary antibody was used as the secondary antibody only control. Nuclear DNA was labelled in blue with DAPI.
Beta tubulin (M1305-2, red) was stained at 1/100 dilution overnight at +4℃. Goat Anti-Mouse IgG H&L (iFluor™ 594, HA1126) was used as the secondary antibody at 1/1,000 dilution. -
Immunocytochemistry analysis of NIH/3T3 cells labeling Hsp70 with Rabbit anti-Hsp70 antibody (ET1601-11) at 1/100 dilution.
Cells were fixed in 4% paraformaldehyde for 20 minutes at room temperature, permeabilized with 0.1% Triton X-100 in PBS for 5 minutes at room temperature, then blocked with 1% BSA in 10% negative goat serum for 1 hour at room temperature. Cells were then incubated with Rabbit anti-Hsp70 antibody (ET1601-11) at 1/100 dilution in 1% BSA in PBST overnight at 4 ℃. Goat Anti-Rabbit IgG H&L (iFluor™ 488, HA1121) was used as the secondary antibody at 1/1,000 dilution. PBS instead of the primary antibody was used as the secondary antibody only control. Nuclear DNA was labelled in blue with DAPI.
Beta tubulin (M1305-2, red) was stained at 1/100 dilution overnight at +4℃. Goat Anti-Mouse IgG H&L (iFluor™ 594, HA1126) was used as the secondary antibody at 1/1,000 dilution. -
Flow cytometric analysis of A549 cells labeling Hsp70.
Cells were fixed and permeabilized. Then stained with the primary antibody (ET1601-11, 1/100) (red) compared with Rabbit IgG Isotype Control (green). After incubation of the primary antibody at +4℃ for an hour, the cells were stained with a iFluor™ 488 conjugate-Goat anti-Rabbit IgG Secondary antibody (HA1121) at 1/1,000 dilution for 30 minutes at +4℃. Unlabelled sample was used as a control (cells without incubation with primary antibody; black). -
Immunocytochemistry analysis of HeLa cells labeling TSG101 with Rabbit anti-TSG101 antibody (ET1701-59) at 1/200 dilution.
Cells were fixed in 4% paraformaldehyde for 20 minutes at room temperature, permeabilized with 0.1% Triton X-100 in PBS for 5 minutes at room temperature, then blocked with 1% BSA in 10% negative goat serum for 1 hour at room temperature. Cells were then incubated with Rabbit anti-TSG101 antibody (ET1701-59) at 1/200 dilution in 1% BSA in PBST overnight at 4 ℃. Goat Anti-Rabbit IgG H&L (iFluor™ 488, HA1121) was used as the secondary antibody at 1/1,000 dilution. PBS instead of the primary antibody was used as the secondary antibody only control. Nuclear DNA was labelled in blue with DAPI. Beta tubulin (M1305-2, red) was stained at 1/100 dilution overnight at +4℃. Goat Anti-Mouse IgG H&L (iFluor™ 594, HA1126) was used as the secondary antibody at 1/1,000 dilution.
Related Products
Calnexin Recombinant Rabbit Monoclonal Antibody [SN20-54]
Application: WB,IP,IHC-P,IF-Tissue
Reactivity: Human,Mouse,Rat
Conjugate: unconjugated
Calnexin Rabbit Polyclonal Antibody
Application: WB,IHC-P,FC,IP
Reactivity: Human,Mouse,Rat
Conjugate: unconjugated
Calnexin Recombinant Rabbit Monoclonal Antibody [SN20-54] - BSA and Azide free
Application: WB,IP,IHC-P,IF-Tissue
Reactivity: Human,Mouse,Rat
Conjugate: unconjugated