概述
产品名称
ULK1 Recombinant Rabbit Monoclonal Antibody [JA58-36]
抗体类型
Recombinant Rabbit monoclonal Antibody
免疫原
Synthetic peptide within Human ULK1 aa 930-979 / 1050.
种属反应性
Human, Mouse, Rat
验证应用
WB, IHC-P
分子量
Predicted band size: 113 kDa
阳性对照
A-172 cell lysate, SH-SY5Y cell lysate, U-2 OS cell lysate, MCF7 cell lysate, mouse spleen tissue lysate, rat spleen tissue lysate, HepG2 cell lysate, C2C12 cell lysate, MEF cell lysate, PC-12 cell lysate, human spleen tissue, rat skeletal muscle tissue, human colon carcinoma tissue, mouse brain tissue.
偶联
unconjugated
克隆号
JA58-36
RRID
产品特性
形态
Liquid
存放说明
Shipped at 4℃. Store at +4℃ short term (1-2 weeks). It is recommended to aliquot into single-use upon delivery. Store at -20℃ long term.
存储缓冲液
1*TBS (pH7.4), 0.05% BSA, 40% Glycerol. Preservative: 0.05% Sodium Azide.
亚型
IgG
纯化方式
Protein A affinity purified.
应用稀释度
-
WB
-
1:5,000
-
IHC-P
-
1:50-1:200
发表文章中的应用
| WB | 查看 12 篇文献如下 |
发表文章中的种属
| Human | 查看 6 篇文献如下 |
| Mouse | 查看 4 篇文献如下 |
| Rat | 查看 2 篇文献如下 |
| Pig | 查看 1 篇文献如下 |
靶点
功能
Serine/threonine-protein kinase involved in autophagy in response to starvation. Acts upstream of phosphatidylinositol 3-kinase PIK3C3 to regulate the formation of autophagophores, the precursors of autophagosomes. Part of regulatory feedback loops in autophagy: acts both as a downstream effector and negative regulator of mammalian target of rapamycin complex 1 (mTORC1) via interaction with RPTOR. Activated via phosphorylation by AMPK and also acts as a regulator of AMPK by mediating phosphorylation of AMPK subunits PRKAA1, PRKAB2 and PRKAG1, leading to negatively regulate AMPK activity. May phosphorylate ATG13/KIAA0652 and RPTOR; however such data need additional evidences. Plays a role early in neuronal differentiation and is required for granule cell axon formation. May also phosphorylate SESN2 and SQSTM1 to regulate autophagy.
背景文献
1. Desantis, A. et al. Che-1-induced inhibition of mTOR pathway enables stress-induced autophagy. The EMBO journal. 34: 1214-30 (2015).
2. Xiong, H. et al. Activation of miR-34a/SIRT1/p53 signaling contributes to cochlear hair cell apoptosis: implications for age-related hearing loss. Neurobiology of aging. 36: 1692-701 (2015).
序列相似性
Belongs to the protein kinase superfamily. Ser/Thr protein kinase family. APG1/unc-51/ULK1 subfamily.
组织特异性
Ubiquitously expressed. Detected in the following adult tissues: skeletal muscle, heart, pancreas, brain, placenta, liver, kidney, and lung.
翻译后修饰
Autophosphorylated. Phosphorylated under nutrient-rich conditions; dephosphorylated during starvation or following treatment with rapamycin. Under nutrient sufficiency, phosphorylated by MTOR/mTOR, disrupting the interaction with AMPK and preventing activation of ULK1 (By similarity). In response to nutrient limitation, phosphorylated and activated by AMPK, leading to activate autophagy.; Acetylated by KAT5/TIP60 under autophagy induction, promoting protein kinase activity.
亚细胞定位
Cytosol, Preautophagosomal structure.
别名
ATG 1 antibody
ATG1 antibody
ATG1 autophagy related 1 homolog antibody
ATG1A antibody
Autophagy related protein 1 homolog antibody
Autophagy-related protein 1 homolog antibody
FLJ38455 antibody
FLJ46475 antibody
hATG1 antibody
KIAA0722 antibody
展开ATG 1 antibody
ATG1 antibody
ATG1 autophagy related 1 homolog antibody
ATG1A antibody
Autophagy related protein 1 homolog antibody
Autophagy-related protein 1 homolog antibody
FLJ38455 antibody
FLJ46475 antibody
hATG1 antibody
KIAA0722 antibody
Serine/threonine protein kinase ULK1 antibody
Serine/threonine protein kinase Unc51.1 antibody
Serine/threonine-protein kinase ULK1 antibody
ULK 1 antibody
ULK1 antibody
ULK1_HUMAN antibody
Unc 51 (C. elegans) like kinase 1 antibody
UNC 51 antibody
Unc 51 like kinase 1 antibody
Unc-51 like kinase 1 (C. elegans) antibody
Unc-51-like kinase 1 antibody
UNC51 antibody
UNC51, C. elegans, homolog of antibody
Unc51.1 antibody
折叠图片
-
Western blot analysis of ULK1 on different lysates with Rabbit anti-ULK1 antibody (ET1704-63) at 1/5,000 dilution.
Lane 1: A-172 cell lysate (15 µg/Lane)
Lane 2: SH-SY5Y cell lysate (15 µg/Lane)
Lane 3: U-2 OS cell lysate (15 µg/Lane)
Lane 4: MCF7 cell lysate (15 µg/Lane)
Lane 5: Mouse spleen tissue lysate (20 µg/Lane)
Lane 6: Rat spleen tissue lysate (20 µg/Lane)
Predicted band size: 113 kDa
Observed band size: 130 kDa
Exposure time: 1 minute 30 seconds;
4-20% SDS-PAGE gel.
Proteins were transferred to a PVDF membrane and blocked with 5% NFDM/TBST for 1 hour at room temperature. The primary antibody (ET1704-63) at 1/5,000 dilution was used in 5% NFDM/TBST at 4℃ overnight. Goat Anti-Rabbit IgG - HRP Secondary Antibody (HA1001) at 1/50,000 dilution was used for 1 hour at room temperature. -
Western blot analysis of ULK1 on different lysates with Rabbit anti-ULK1 antibody (ET1704-63) at 1/5,000 dilution.
Lane 1: HepG2 cell lysate
Lane 2: C2C12 cell lysate
Lane 3: MEF cell lysate
Lane 4: PC-12 cell lysate
Lysates/proteins at 20 µg/Lane.
Predicted band size: 113 kDa
Observed band size: 130 kDa
Exposure time: 6 seconds; ECL: K1801;
4-20% SDS-PAGE gel.
Proteins were transferred to a PVDF membrane and blocked with 5% NFDM/TBST for 1 hour at room temperature. The primary antibody (ET1704-63) at 1/5,000 dilution was used in 5% NFDM/TBST at 4℃ overnight. Goat Anti-Rabbit IgG - HRP Secondary Antibody (HA1001) at 1/50,000 dilution was used for 1 hour at room temperature. -
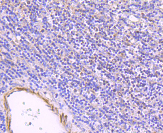
Immunohistochemical analysis of paraffin-embedded human spleen tissue using anti-ULK1 antibody. The section was pre-treated using heat mediated antigen retrieval with Tris-EDTA buffer (pH 8.0-8.4) for 20 minutes.The tissues were blocked in 5% BSA for 30 minutes at room temperature, washed with ddH2O and PBS, and then probed with the primary antibody (ET1704-63, 1/50) for 30 minutes at room temperature. The detection was performed using an HRP conjugated compact polymer system. DAB was used as the chromogen. Tissues were counterstained with hematoxylin and mounted with DPX.
-
Immunohistochemical analysis of paraffin-embedded rat skeletal muscle tissue using anti-ULK1 antibody. The section was pre-treated using heat mediated antigen retrieval with Tris-EDTA buffer (pH 8.0-8.4) for 20 minutes.The tissues were blocked in 5% BSA for 30 minutes at room temperature, washed with ddH2O and PBS, and then probed with the primary antibody (ET1704-63, 1/50) for 30 minutes at room temperature. The detection was performed using an HRP conjugated compact polymer system. DAB was used as the chromogen. Tissues were counterstained with hematoxylin and mounted with DPX.
-
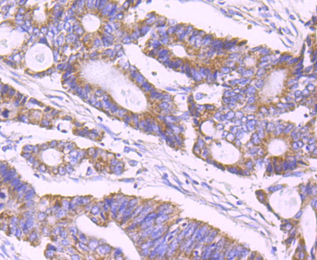
Immunohistochemical analysis of paraffin-embedded human colon carcinoma tissue using anti-ULK1 antibody. The section was pre-treated using heat mediated antigen retrieval with Tris-EDTA buffer (pH 8.0-8.4) for 20 minutes.The tissues were blocked in 5% BSA for 30 minutes at room temperature, washed with ddH2O and PBS, and then probed with the primary antibody (ET1704-63, 1/50) for 30 minutes at room temperature. The detection was performed using an HRP conjugated compact polymer system. DAB was used as the chromogen. Tissues were counterstained with hematoxylin and mounted with DPX.
-
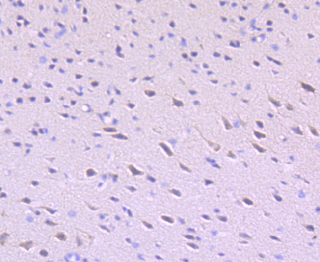
Immunohistochemical analysis of paraffin-embedded mouse brain tissue using anti-ULK1 antibody. The section was pre-treated using heat mediated antigen retrieval with Tris-EDTA buffer (pH 8.0-8.4) for 20 minutes.The tissues were blocked in 5% BSA for 30 minutes at room temperature, washed with ddH2O and PBS, and then probed with the primary antibody (ET1704-63, 1/50) for 30 minutes at room temperature. The detection was performed using an HRP conjugated compact polymer system. DAB was used as the chromogen. Tissues were counterstained with hematoxylin and mounted with DPX.
请注意: All products are "FOR RESEARCH USE ONLY AND ARE NOT INTENDED FOR DIAGNOSTIC OR THERAPEUTIC USE"
引文
-
Asprosin attenuates diabetic cardiomyopathy through inhibiting autophagy mediated by AMPK/mTOR/ULK1 pathway
Author: Yuan Wang, Wentao Liu, Chen Liu, Zhitong Zhou, Sheng Chen, Qianqian Huang, Li Wang, Guohua Zeng, Qiren Huang
PMID: 40560772
期刊: American Journal Of Physiology-Cell Physiology
应用: WB
反应种属: Mouse,Rat
发表时间: 2025 Jun
-
Citation
-
Platelet lysate-sodium hyaluronate gel promotes diabetic foot wound healing by regulating oxidative stress and autophagy
Author: Chunyu Wang, Yangli Zhang, Hailong Yang, Li Zhou, Zhiwei Xu, Chaojie Jin, Liang Zhou, Letian Shan, Hui Wang
PMID: 40478816
期刊: Public Library Of Science One
应用: WB
反应种属: Human
发表时间: 2025 Jun
-
Citation
-
Cafestol inhibits colon cancer cell proliferation and tumor growth in xenograft mice by activating LKB1/AMPK/ULK1-dependent autophagy
Author: Feng Yuemei,et al
PMID: 38492819
期刊: Journal Of Nutritional Biochemistry
应用: WB
反应种属: Mouse
发表时间: 2024 Mar
-
Citation
-
Harmine ameliorates CCl4-induced acute liver injury through suppression of autophagy and inflammation
Author: Yajing Ma, Wenqi Li, Qing Yao, Yang Liu, Jinjin Yu, Lulu Zang, Siqi Wang, Lili Zhou, Sha Wen, Yuzhi Luo, Weifeng Li, Xiaofeng Niu
PMID: 38306830
期刊: International Immunopharmacology
应用: WB
反应种属: Mouse
发表时间: 2024 Feb
-
Citation
-
Lactiplantibacillus plantarum Postbiotics Suppress Salmonella Infection via Modulating Bacterial Pathogenicity, Autophagy and Inflammasome in Mice
Author: Aixin Hu , Wenxia Huang , Xin Shu , Shiyue Ma , Caimei Yang , Ruiqiang Zhang , Xiao Xiao , Yanping Wu
PMID: 37893938
期刊: Animals
应用: WB
反应种属: Mouse
发表时间: 2023 Oct
-
Citation
-
Inhibition of STX17–SNAP29–VAMP8 complex formation by costunolide sensitizes ovarian cancer cells to cisplatin via the AMPK/mTOR signaling pathway
Author:
PMID: 37060961
期刊: Biochemical Pharmacology
应用: WB
反应种属: Human
发表时间: 2023 Jun
-
Citation
-
SARS-CoV-2 ORF3a induces RETREG1/FAM134B dependent reticulophagy and triggers sequential ER stress and inflammatory responses during SARS-CoV-2 infection
Author: Zhang, X., Yang, Z., Pan, T., Long, X., Sun, Q., Wang, P. H., Li, X., & Kuang, E.
PMID: 35239449
期刊: Autophagy
应用: WB
反应种属: Human
发表时间: 2022 Mar
-
Citation
-
miR-145-5p affects autophagy by targeting CaMKIIδ in atherosclerosis
Author:
PMID: 35597494
期刊: International Journal Of Cardiology
应用: WB
反应种属: Human
发表时间: 2022 Aug
-
Citation
-
Lactobacillus plantarum postbiotics trigger AMPK-dependent autophagy to suppress Salmonella intracellular infection and NLRP3 inflammasome activation
Author: Wu, Y., Hu, A., Shu, X., Huang, W., Zhang, R., Xu, Y., & Yang, C.
PMID: 37052047
期刊: Journal Of Cellular Physiology
应用: WB
反应种属: Pig
发表时间: 2022 Apr
-
Citation
-
The Disulfiram/Copper Complex Induces Autophagic Cell Death in Colorectal Cancer by Targeting ULK1
Author: Hu, Yeting;Qian, Yucheng;Wei, Jingsun;Jin, Tian;Kong, Xiangxing;Cao, Hongfeng;Ding, Kefeng
PMID: 34887757
期刊: Frontiers In Pharmacology
应用: WB
反应种属: Human
发表时间: 2021 Nov
-
Citation
-
Vacuum therapy ameliorates erectile dysfunction in bilateral cavernous nerve crush rats by inhibiting apoptosis and activating autophagy
Author: Wu, C. J., Fu, F. D., Qin, F., Ma, M., Li, T., Wei, S. Z., Yu, B. T., Yang, X. Z., & Yuan, J. H.
PMID: 33473012
期刊: Asian Journal Of Andrology
应用: WB
反应种属: Rat
发表时间: 2021 Jan
-
Citation
-
Fangchinoline exerts anticancer effects on colorectal cancer by inducing autophagy via regulation AMPK/mTOR/ULK1 pathway. Biochemical pharmacology, 186, 114475.
Author: Xiang, X., Tian, Y., Hu, J., Xiong, R., Bautista, M., Deng, L., Yue, Q., Li, Y., Kuang, W., Li, J., Liu, K., Yu, C., & Feng, G.
PMID: 33609560
期刊: Biochemical Pharmacology
应用: WB
反应种属: Human
发表时间: 2021 Apr
-
Citation
同靶点 & 同通路的产品
ULK1 Recombinant Rabbit Monoclonal Antibody [JA58-36] - BSA and Azide free
Application: WB,IHC-P
Reactivity: Human,Mouse,Rat
Conjugate: unconjugated
Phospho-ULK1 (S556) Recombinant Rabbit Monoclonal Antibody [JE59-28]
Application: WB
Reactivity: Human,Mouse
Conjugate: unconjugated

