Catalog# HA721708
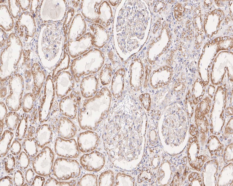
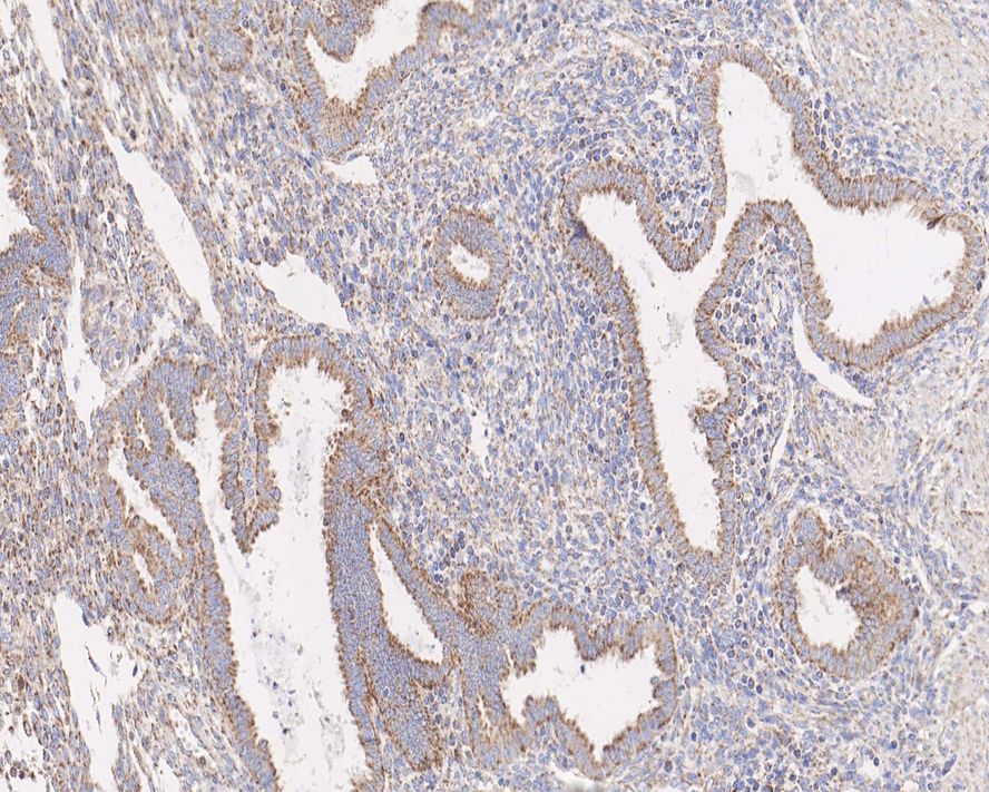
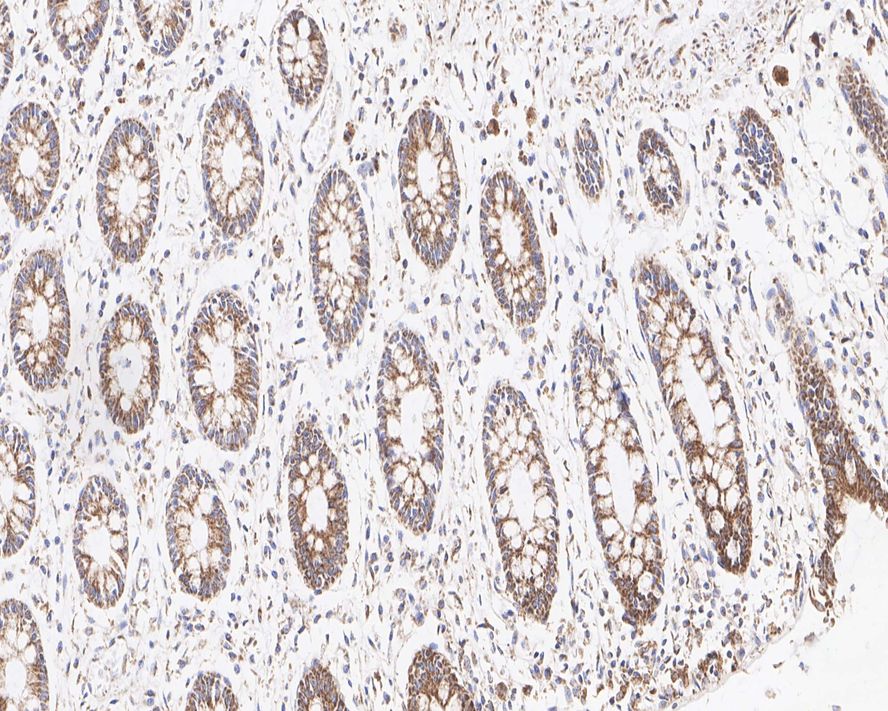
MAVS Recombinant Rabbit Monoclonal Antibody [PSH01-65]
Application
-
WB
-
IHC-P
-
IF-Cell
-
IF-Tissue
Reactivity
-
Human


