Catalog# M1010-2
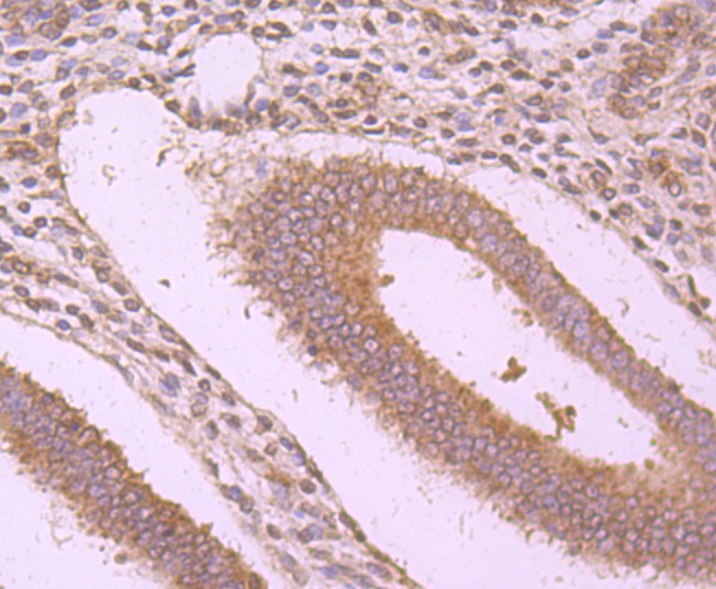
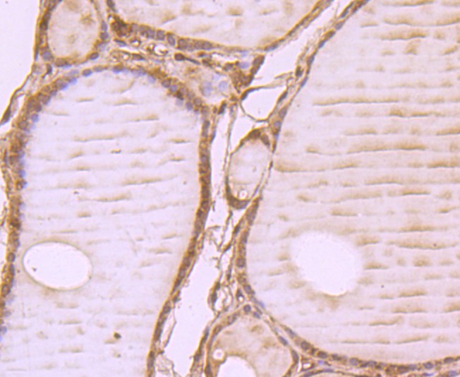
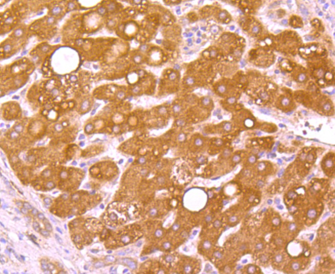
WSCD2 Mouse Monoclonal Antibody [9-F3]
Application
-
WB
-
IF-Cell
-
IHC-P
Reactivity
-
Human
-
Mouse
-
Rat
