Catalog# HA722723
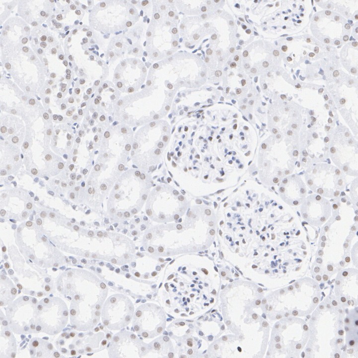
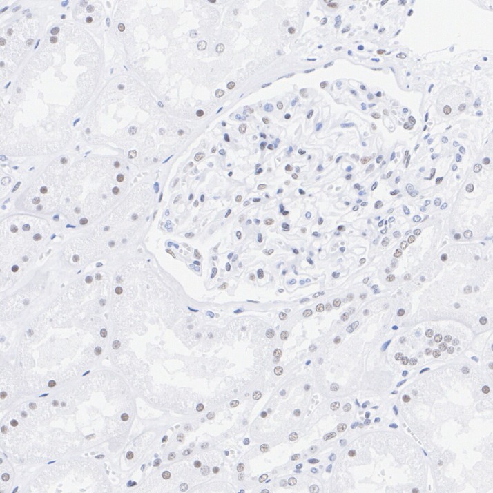
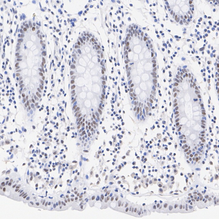
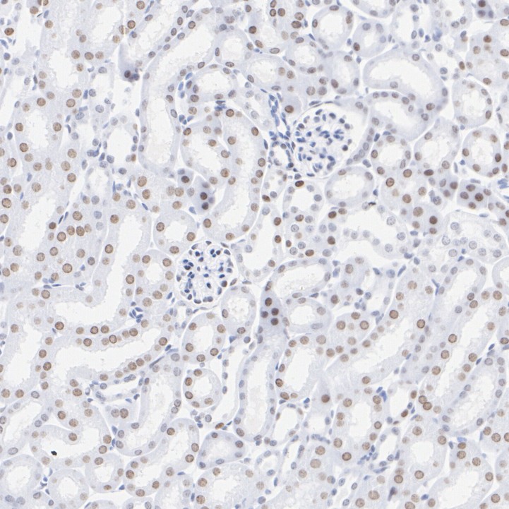
KDM1 / LSD1 Recombinant Rabbit Monoclonal Antibody [JE04-60]
Application
-
WB
-
IF-Cell
-
IHC-P
-
IP
Reactivity
-
Human
-
Mouse
-
Rat


