图片
-
☑ Knockdown (KD)
Western blot analysis of IRAK-1 on different lysates with Rabbit anti-IRAK-1 antibody (HA720079) at 1/2,000 dilution.
Lane 1: A549-si NT cell lysate
Lane 2: A549-si IRAK-1 cell lysate
Lysates/proteins at 10 µg/Lane.
Predicted band size: 77 kDa
Observed band size: 75/77 kDa
Exposure time: 3 minutes; ECL: K1801;
4-20% SDS-PAGE gel.
Proteins were transferred to a PVDF membrane and blocked with 5% NFDM/TBST for 1 hour at room temperature. The primary antibody (HA720079) at 1/2,000 dilution was used in 5% NFDM/TBST at 4℃ overnight. Goat Anti-Rabbit IgG - HRP Secondary Antibody (HA1001) at 1/50,000 dilution was used for 1 hour at room temperature.
-
Western blot analysis of IRAK-1 on different lysates with Rabbit anti-IRAK-1 antibody (HA720079) at 1/2,000 dilution.
Lane 1: A549 cell lysate
Lane 2: HeLa cell lysate
Lysates/proteins at 10 µg/Lane.
Predicted band size: 77 kDa
Observed band size: 75 kDa
Exposure time: 30 seconds; ECL: K1802;
4-20% SDS-PAGE gel.
Proteins were transferred to a PVDF membrane and blocked with 5% NFDM/TBST for 1 hour at room temperature. The primary antibody (HA720079) at 1/2,000 dilution was used in 5% NFDM/TBST at 4℃ overnight. Goat Anti-Rabbit IgG - HRP Secondary Antibody (HA1001) at 1/50,000 dilution was used for 1 hour at room temperature.
-
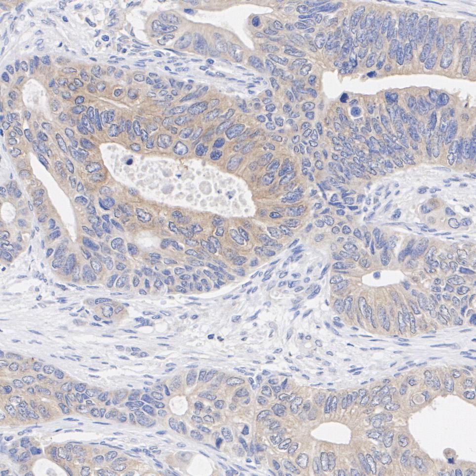
Immunohistochemical analysis of paraffin-embedded human colon cancer tissue with Rabbit anti-IRAK-1 antibody (HA720079) at 1/200 dilution.
The section was pre-treated using heat mediated antigen retrieval with Tris-EDTA buffer (pH 9.0) for 20 minutes. The tissues were blocked in 1% BSA for 20 minutes at room temperature, washed with ddH2O and PBS, and then probed with the primary antibody (HA720079) at 1/200 dilution for 1 hour at room temperature. The detection was performed using an HRP conjugated compact polymer system. DAB was used as the chromogen. Tissues were counterstained with hematoxylin and mounted with DPX.
-
IRAK-1 was immunoprecipitated from 0.2 mg HeLa cell lysate with HA720079 at 2 µg/10 µl beads. Western blot was performed from the immunoprecipitate using HA720079 at 1/2,000 dilution. Anti-Rabbit IgG for IP Nano-secondary antibody (NBI01H) at 1/5,000 dilution was used for 1 hour at room temperature.
Lane 1: HeLa cell lysate (input)
Lane 2: HA720079 IP in HeLa cell lysate
Lane 3: Rabbit IgG instead of HA720079 in HeLa cell lysate
Blocking/Dilution buffer: 5% NFDM/TBST
Exposure time: 1 minute; ECL: K1802
请注意: All products are "FOR RESEARCH USE ONLY AND ARE NOT INTENDED FOR DIAGNOSTIC OR THERAPEUTIC USE"