Catalog# HA500477
AP2A2 Rabbit Polyclonal Antibody
Application
-
WB
-
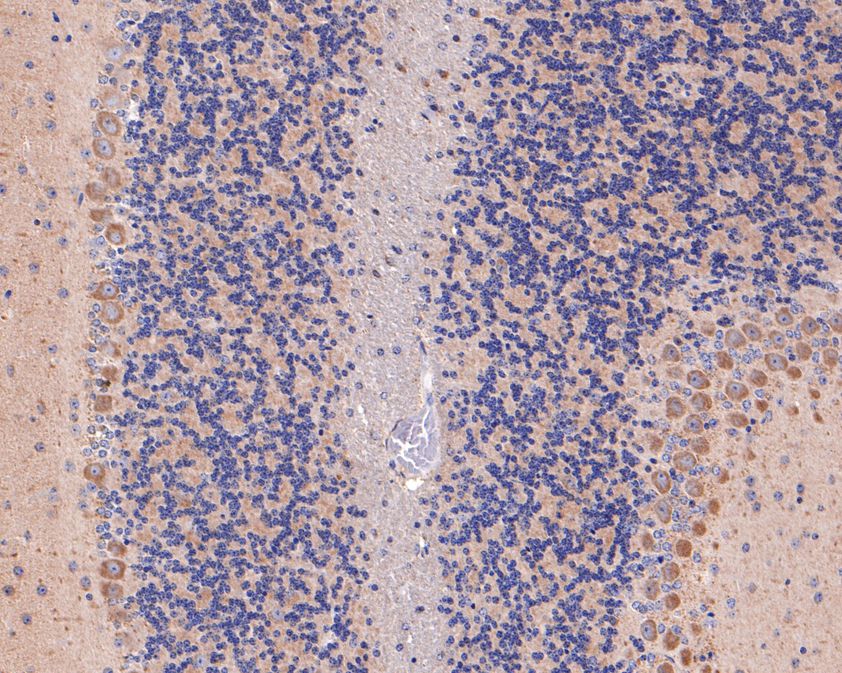
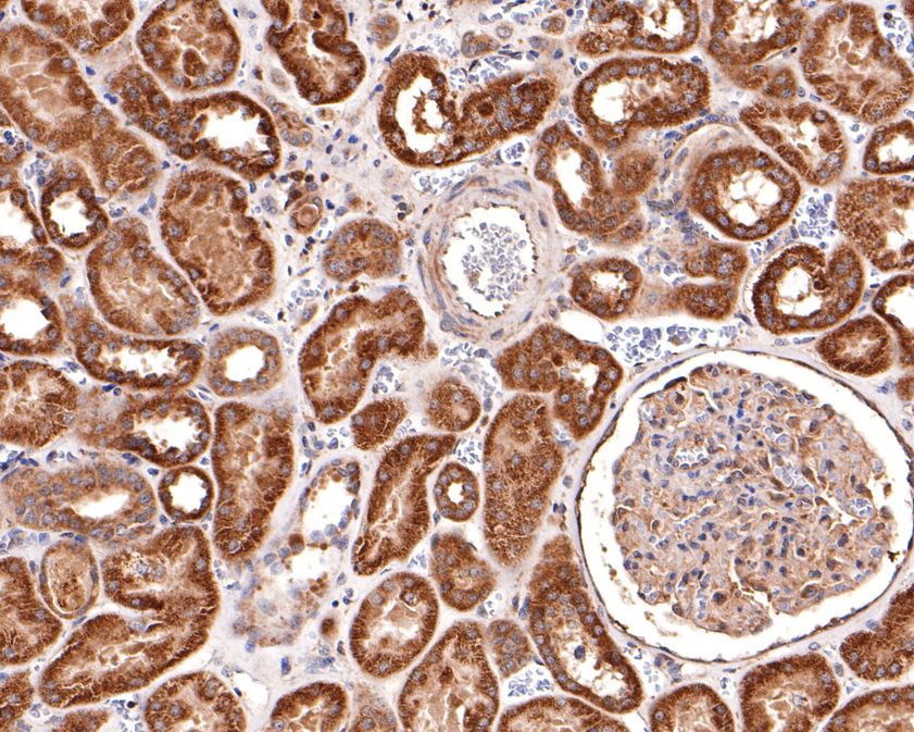
IHC-P
Reactivity
-
Human
-
Mouse
-
Rat

