Catalog# ER1803-90
G-protein coupled receptor 30 Rabbit Polyclonal Antibody
Application
-
WB
-
IF-Cell
-
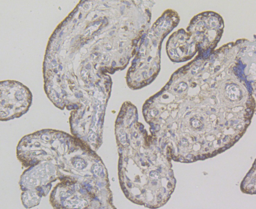
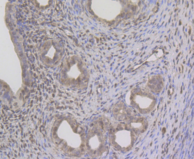
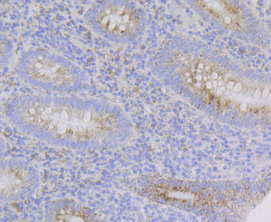
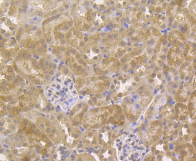
IHC-P
-
FC
Reactivity
-
Human
-
Mouse
-
Rat
This product has been cited in peer reviewed publications, see list HERE

