Catalog# HA721140
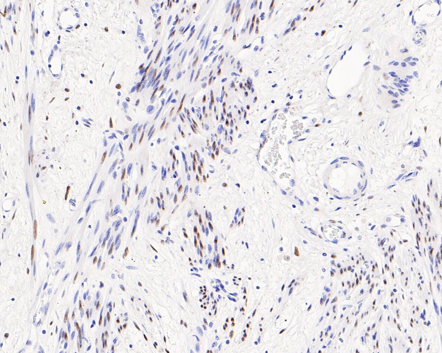
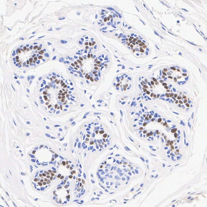
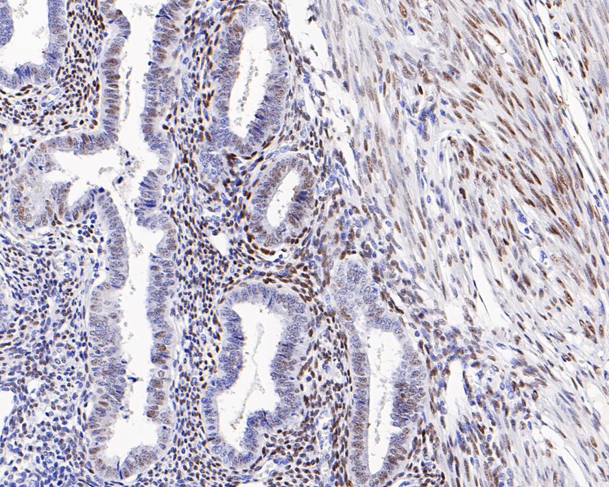
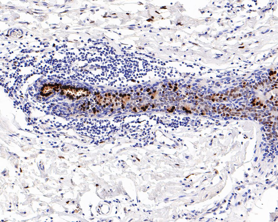
Estrogen Receptor alpha Recombinant Rabbit Monoclonal Antibody [PD00-04]
Application
-
IHC-P
-
IF-Tissue
Reactivity
-
Human


