Catalog# ET7107-28
Nesprin 1 Recombinant Rabbit Monoclonal Antibody [JB35-26]
Application
-
WB
-
IF-Cell
-
IF-Tissue
-
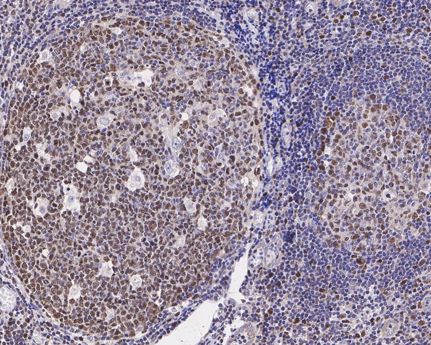
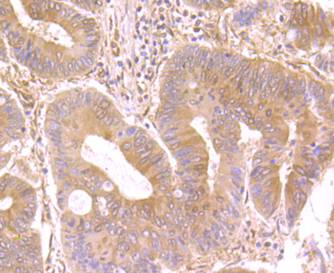
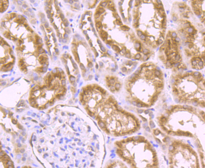
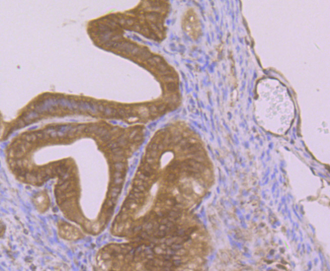
IHC-P
-
FC
Reactivity
-
Human
-
Mouse
-
Rat
This product has been cited in peer reviewed publications, see list HERE

