概述
产品名称
Pan-Cadherin Recombinant Rabbit Monoclonal Antibody [ST54-01]
抗体类型
Recombinant Rabbit monoclonal Antibody
免疫原
Synthetic peptide within C-terminal human CDH2.
种属反应性
Human, Mouse, Rat
验证应用
WB, IF-Cell, IF-Tissue, IHC-P, IP, IHC-Fr
分子量
Predicted band size: 100 kDa
阳性对照
A431 cell lysate, MCF7 cell lysate, Mouse embryo tissue lysate, Mouse placenta tissue lysate, Rat embryo tissue lysate, Human heart tissue lysate, Mouse heart tissue lysate, Rat heart tissue lysate, HeLa, Caco-2, NIH/3T3, C6, mouse liver tissue, mouse kidney tissue, mouse heart tissue, rat liver tissue.
偶联
unconjugated
克隆号
ST54-01
RRID
产品特性
形态
Liquid
存放说明
Shipped at 4℃. Store at +4℃ short term (1-2 weeks). It is recommended to aliquot into single-use upon delivery. Store at -20℃ long term.
存储缓冲液
1*TBS (pH7.4), 0.05% BSA, 40% Glycerol. Preservative: 0.05% Sodium Azide.
亚型
IgG
纯化方式
Protein A affinity purified.
应用稀释度
-
WB
-
1:1,000
-
IF-Cell
-
1:50-1:200
-
IF-Tissue
-
1:200
-
IHC-P
-
1:50-1:1,000
-
IP
-
Use at an assay dependent concentration.
-
IHC-Fr
-
1:200
发表文章中的应用
| WB | 查看 2 篇文献如下 |
| Co-IP | 查看 1 篇文献如下 |
| IF | 查看 1 篇文献如下 |
发表文章中的种属
| Mouse | 查看 2 篇文献如下 |
| Rat | 查看 1 篇文献如下 |
| Human | 查看 1 篇文献如下 |
靶点
功能
Cadherins comprise a family of Ca2+-dependent adhesion molecules that function to mediate cell-cell binding critical to the maintenance of tissue structure and morphogenesis. The classical cadherins, E-, N- and P-cadherin, consist of large extracellular domains characterized by a series of five homologous NH2 terminal repeats. The most distal of these cadherins is thought to be responsible for binding specificity, transmembrane domains and carboxy terminal intracellular domains. The relatively short intracellular domains interact with a variety of cytoplasmic proteins, such as -catenin, to regulate cadherin function. Members of this family of adhesion proteins include rat cadherin K (and its human homolog, cadherin, R-cadherin, B-cadherin, E/P cadherin and cadherin-5.
背景文献
1. Li J et al. Anti-KCNQ1 K+ channel autoantibodies increase IKs current and are associated with QT interval shortening in dilated cardiomyopathy. Cardiovasc Res 98:496-503 (2013).
2. Izumi H & Kaneko Y Evidence of asymmetric cell division and centrosome inheritance in human neuroblastoma cells. Proc Natl Acad Sci U S A 109:18048-53 (2012).
组织特异性
Non-neural epithelial tissues.
翻译后修饰
During apoptosis or with calcium influx, cleaved by a membrane-bound metalloproteinase (ADAM10), PS1/gamma-secretase and caspase-3. Processing by the metalloproteinase, induced by calcium influx, causes disruption of cell-cell adhesion and the subsequent release of beta-catenin into the cytoplasm. The residual membrane-tethered cleavage product is rapidly degraded via an intracellular proteolytic pathway. Cleavage by caspase-3 releases the cytoplasmic tail resulting in disintegration of the actin microfilament system. The gamma-secretase-mediated cleavage promotes disassembly of adherens junctions. During development of the cochlear organ of Corti, cleavage by ADAM10 at adherens junctions promotes pillar cell separation (By similarity).; N-glycosylation at Asn-637 is essential for expression, folding and trafficking. Addition of bisecting N-acetylglucosamine by MGAT3 modulates its cell membrane location.; Ubiquitinated by a SCF complex containing SKP2, which requires prior phosphorylation by CK1/CSNK1A1. Ubiquitinated by CBLL1/HAKAI, requires prior phosphorylation at Tyr-754.; O-glycosylated. O-manosylated by TMTC1, TMTC2, TMTC3 or TMTC4. Thr-285 and Thr-509 are O-mannosylated by TMTC2 or TMTC4 but not TMTC1 or TMTC3.
亚细胞定位
Cell membrane, Cell junction, Endosome, Golgi apparatus.
UNIPROT
别名
Cadherin antibody
CDH3 antibody
CDHP antibody
7B4 antigen antibody
Cadherin-1 antibody
Cadherin-2 antibody
Cadherin-3 antibody
Cadherin-4 antibody
Cadherin-5 antibody
CAM 120/80 antibody
展开Cadherin antibody
CDH3 antibody
CDHP antibody
7B4 antigen antibody
Cadherin-1 antibody
Cadherin-2 antibody
Cadherin-3 antibody
Cadherin-4 antibody
Cadherin-5 antibody
CAM 120/80 antibody
CD144 antibody
CD324 antibody
CD325 antibody
Cdh4 antibody
CDH5 antibody
CDHE antibody
CDHN antibody
E-cadherin antibody
Epithelial cadherin antibody
N-cadherin antibody
NCAD antibody
Neural cadherin antibody
P-cadherin antibody
Placental cadherin antibody
UVO antibody
Uvomorulin antibody
Vascular endothelial cadherin antibody
折叠图片
-
Western blot analysis of Pan-Cadherin on different lysates with Rabbit anti-Pan-Cadherin antibody (ET1609-70) at 1/2,000 dilution.
Lane 1: A431 cell lysate (20 µg/Lane)
Lane 2: MCF7 cell lysate (20 µg/Lane)
Lane 3: Mouse embryo tissue lysate (40 µg/Lane)
Lane 4: Mouse placenta tissue lysate (40 µg/Lane)
Lane 5: Rat embryo tissue lysate (40 µg/Lane)
Predicted band size: 100 kDa
Observed band size: 120 kDa
Exposure time: 4 seconds; ECL: K1801;
4-20% SDS-PAGE gel.
Proteins were transferred to a PVDF membrane and blocked with 5% NFDM/TBST for 1 hour at room temperature. The primary antibody (ET1609-70) at 1/2,000 dilution was used in 5% NFDM/TBST at 4℃ overnight. Goat Anti-Rabbit IgG - HRP Secondary Antibody (HA1001) at 1/50,000 dilution was used for 1 hour at room temperature. -
Western blot analysis of Pan-Cadherin on different lysates with Rabbit anti-Pan-Cadherin antibody (ET1609-70) at 1/1,000 dilution.
Lane 1: Human heart tissue lysate
Lane 2: Mouse heart tissue lysate
Lane 3: Rat heart tissue lysate
Lysates/proteins at 20 µg/Lane.
Predicted band size: 100 kDa
Observed band size: 120 kDa
Exposure time: 1 minute;
6% SDS-PAGE gel.
Proteins were transferred to a PVDF membrane and blocked with 5% NFDM/TBST for 1 hour at room temperature. The primary antibody (ET1609-70) at 1/1,000 dilution was used in 5% NFDM/TBST at room temperature for 2 hours. Goat Anti-Rabbit IgG - HRP Secondary Antibody (HA1001) at 1/300,000 dilution was used for 1 hour at room temperature. -
Immunocytochemistry analysis of HeLa cells labeling Pan-Cadherin with Rabbit anti-Pan-Cadherin antibody (ET1609-70) at 1/100 dilution.
Cells were fixed in 4% paraformaldehyde for 20 minutes at room temperature, permeabilized with 0.1% Triton X-100 in PBS for 5 minutes at room temperature, then blocked with 1% BSA in 10% negative goat serum for 1 hour at room temperature. Cells were then incubated with Rabbit anti-Pan-Cadherin antibody (ET1609-70) at 1/100 dilution in 1% BSA in PBST overnight at 4 ℃. Goat Anti-Rabbit IgG H&L (iFluor™ 488, HA1121) was used as the secondary antibody at 1/1,000 dilution. PBS instead of the primary antibody was used as the secondary antibody only control. Nuclear DNA was labelled in blue with DAPI.
Beta tubulin (M1305-2, red) was stained at 1/100 dilution overnight at +4℃. Goat Anti-Mouse IgG H&L (iFluor™ 594, HA1126) was used as the secondary antibody at 1/1,000 dilution. -
Immunocytochemistry analysis of Caco-2 cells labeling Pan-Cadherin with Rabbit anti-Pan-Cadherin antibody (ET1609-70) at 1/100 dilution.
Cells were fixed in 4% paraformaldehyde for 20 minutes at room temperature, permeabilized with 0.1% Triton X-100 in PBS for 5 minutes at room temperature, then blocked with 1% BSA in 10% negative goat serum for 1 hour at room temperature. Cells were then incubated with Rabbit anti-Pan-Cadherin antibody (ET1609-70) at 1/100 dilution in 1% BSA in PBST overnight at 4 ℃. Goat Anti-Rabbit IgG H&L (iFluor™ 488, HA1121) was used as the secondary antibody at 1/1,000 dilution. PBS instead of the primary antibody was used as the secondary antibody only control. Nuclear DNA was labelled in blue with DAPI.
Beta tubulin (M1305-2, red) was stained at 1/100 dilution overnight at +4℃. Goat Anti-Mouse IgG H&L (iFluor™ 594, HA1126) was used as the secondary antibody at 1/1,000 dilution. -
Immunocytochemistry analysis of NIH/3T3 cells labeling Pan-Cadherin with Rabbit anti-Pan-Cadherin antibody (ET1609-70) at 1/100 dilution.
Cells were fixed in 4% paraformaldehyde for 20 minutes at room temperature, permeabilized with 0.1% Triton X-100 in PBS for 5 minutes at room temperature, then blocked with 1% BSA in 10% negative goat serum for 1 hour at room temperature. Cells were then incubated with Rabbit anti-Pan-Cadherin antibody (ET1609-70) at 1/100 dilution in 1% BSA in PBST overnight at 4 ℃. Goat Anti-Rabbit IgG H&L (iFluor™ 488, HA1121) was used as the secondary antibody at 1/1,000 dilution. PBS instead of the primary antibody was used as the secondary antibody only control. Nuclear DNA was labelled in blue with DAPI. Beta tubulin (M1305-2, red) was stained at 1/100 dilution overnight at +4℃. Goat Anti-Mouse IgG H&L (iFluor™ 594, HA1126) was used as the secondary antibody at 1/1,000 dilution. -
Immunocytochemistry analysis of C6 cells labeling Pan-Cadherin with Rabbit anti-Pan-Cadherin antibody (ET1609-70) at 1/100 dilution.
Cells were fixed in 4% paraformaldehyde for 20 minutes at room temperature, permeabilized with 0.1% Triton X-100 in PBS for 5 minutes at room temperature, then blocked with 1% BSA in 10% negative goat serum for 1 hour at room temperature. Cells were then incubated with Rabbit anti-Pan-Cadherin antibody (ET1609-70) at 1/100 dilution in 1% BSA in PBST overnight at 4 ℃. Goat Anti-Rabbit IgG H&L (iFluor™ 488, HA1121) was used as the secondary antibody at 1/1,000 dilution. PBS instead of the primary antibody was used as the secondary antibody only control. Nuclear DNA was labelled in blue with DAPI. Beta tubulin (M1305-2, red) was stained at 1/100 dilution overnight at +4℃. Goat Anti-Mouse IgG H&L (iFluor™ 594, HA1126) was used as the secondary antibody at 1/1,000 dilution. -
Application: IHC-Fr
Species: Mouse
Site: liver
Sample: Frozen section
Antibody concentration: 1/200
Antigen retrieval: Recommend. The section was pre-treated using heat mediated antigen retrieval with sodium citrate buffer (pH 6.0) for about 2 minutes in microwave oven. -
Application: IF-Tissue
Species: Mouse
Site: liver
Sample: Paraffin-embedded section
Antibody concentration: 1/200 -
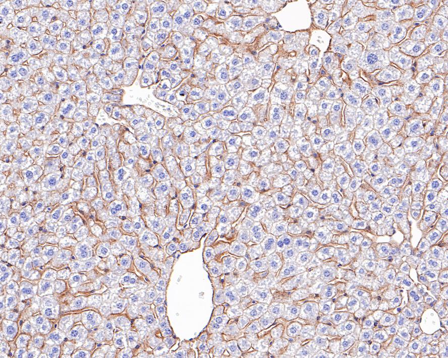
Immunohistochemical analysis of paraffin-embedded mouse liver tissue with Rabbit anti-Pan-Cadherin antibody (ET1609-70) at 1/1,000 dilution.
The section was pre-treated using heat mediated antigen retrieval with Tris-EDTA buffer (pH 9.0) for 20 minutes. The tissues were blocked in 1% BSA for 20 minutes at room temperature, washed with ddH2O and PBS, and then probed with the primary antibody (ET1609-70) at 1/1,000 dilution for 1 hour at room temperature. The detection was performed using an HRP conjugated compact polymer system. DAB was used as the chromogen. Tissues were counterstained with hematoxylin and mounted with DPX. -
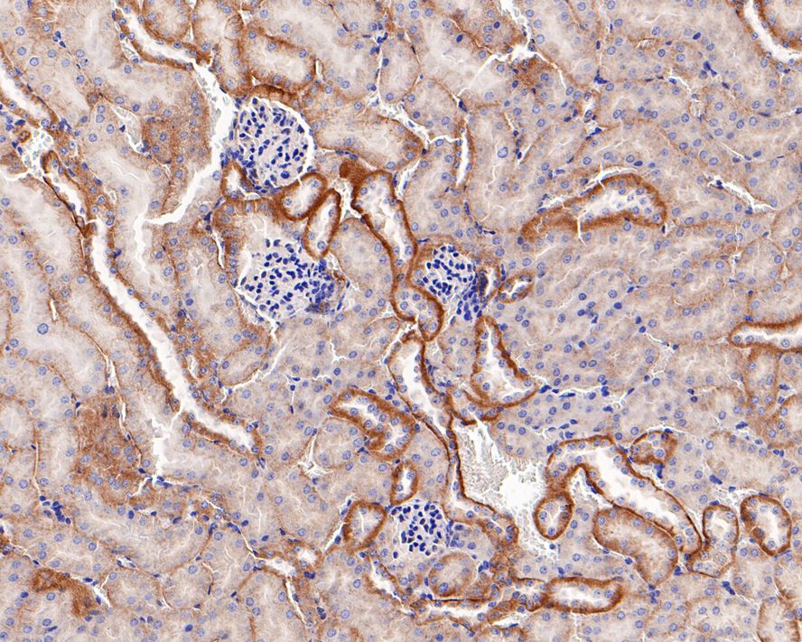
Immunohistochemical analysis of paraffin-embedded mouse kidney tissue with Rabbit anti-Pan-Cadherin antibody (ET1609-70) at 1/1,000 dilution.
The section was pre-treated using heat mediated antigen retrieval with Tris-EDTA buffer (pH 9.0) for 20 minutes. The tissues were blocked in 1% BSA for 20 minutes at room temperature, washed with ddH2O and PBS, and then probed with the primary antibody (ET1609-70) at 1/1,000 dilution for 1 hour at room temperature. The detection was performed using an HRP conjugated compact polymer system. DAB was used as the chromogen. Tissues were counterstained with hematoxylin and mounted with DPX. -
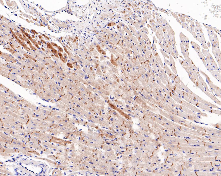
Immunohistochemical analysis of paraffin-embedded mouse heart tissue with Rabbit anti-Pan-Cadherin antibody (ET1609-70) at 1/1,000 dilution.
The section was pre-treated using heat mediated antigen retrieval with Tris-EDTA buffer (pH 9.0) for 20 minutes. The tissues were blocked in 1% BSA for 20 minutes at room temperature, washed with ddH2O and PBS, and then probed with the primary antibody (ET1609-70) at 1/1,000 dilution for 1 hour at room temperature. The detection was performed using an HRP conjugated compact polymer system. DAB was used as the chromogen. Tissues were counterstained with hematoxylin and mounted with DPX. -
Immunohistochemical analysis of paraffin-embedded rat liver tissue with Rabbit anti-Pan-Cadherin antibody (ET1609-70) at 1/1,000 dilution.
The section was pre-treated using heat mediated antigen retrieval with Tris-EDTA buffer (pH 9.0) for 20 minutes. The tissues were blocked in 1% BSA for 20 minutes at room temperature, washed with ddH2O and PBS, and then probed with the primary antibody (ET1609-70) at 1/1,000 dilution for 1 hour at room temperature. The detection was performed using an HRP conjugated compact polymer system. DAB was used as the chromogen. Tissues were counterstained with hematoxylin and mounted with DPX. -
Pan-Cadherin was immunoprecipitated from 0.2 mg HeLa cell lysate with ET1609-70 at 2 µg/10 µl beads. Western blot was performed from the immunoprecipitate using ET1609-70 at 1/1000 dilution. HRP Conjugated Goat anti-Rabbit IgG polyclonal Antibody(HA1001) at 1/50,000 dilution was used for 1 hour at room temperature.
Lane 1: HeLa cell lysate (input)
Lane 2: ET1609-70 IP in HeLa cell lysate
Lane 3: Rabbbit IgG instead of ET1609-70 in HeLa cell lysate
Blocking/Dilution buffer: 5% NFDM/TBST
Exposure time: 59 seconds; ECL: K1801
请注意: All products are "FOR RESEARCH USE ONLY AND ARE NOT INTENDED FOR DIAGNOSTIC OR THERAPEUTIC USE"
引文
-
SLC26A4 C.317C > A Variant: Functional Analysis and Patient-Derived Induced Pluripotent Stem Line Development
Author: Yijing Li, Tao Sun, Sang Hu, Hongen Xu, Teng Zhang, Jinlong Liu, Shuangshuang Lu, Bing Wang, Guo Dan
PMID: 40260864
期刊: Molecular Genetics & Genomic Medicine
应用: IF
反应种属: Human
发表时间: 2025 Apr
-
Citation
-
Angiomotin cleavage promotes leader formation and collective cell migration
Author: Yu Wang,et al
PMID: 39389053
期刊: Developmental Cell
应用:
反应种属: Mouse
发表时间: 2024 Nov
-
Citation
-
FUT8 Regulates Cerebellar Neurogenesis and Development Through Maintaining the Level of Neural Cell Adhesion Molecule Cntn2
Author: Kaiyan Wei,et al
PMID: 39604780
期刊: Molecular Neurobiology
应用: WB
反应种属: Mouse
发表时间: 2024 Dec
-
Citation
-
Na+-K+-ATPase/GLT-1 interaction participates in EGCG protection against cerebral ischemia-reperfusion injury in rats
Author: Xin-Xin Liu, Xue-Ying Ke, Chen Jiang, Ling-Wei Bo, Nan Sun, Lin-Lin Li, Shi-Qi Qin, Jin-Chen He, Jia-Lin Ren, Qian-Qian Wu, Shuai-Zhen Li, Jia-Lei Yang, Lan-Ling Yu, Qi-Yong Lu, Li-Zhe Liu, Wen-Ya Li, Xiao-Hui Xian, Li-Nan Zhang
PMID: 39765036
期刊: Phytomedicine
应用: WB,Co-IP
反应种属: Rat
发表时间: 2024 Dec
-
Citation
同靶点 & 同通路的产品
Pan-Cadherin Recombinant Rabbit Monoclonal Antibody [ST54-01] - BSA and Azide free
Application: WB,IF-Cell,IF-Tissue,IHC-P,IP,IHC-Fr
Reactivity: Human,Mouse,Rat
Conjugate: unconjugated

