图片
-
Western blot analysis of MSI2 on different lysates with Rabbit anti-MSI2 antibody (HA721634) at 1/1,000 dilution.
Lane 1: PC-12 cell lysate (20 µg/Lane)
Lane 2: K-562 cell lysate (20 µg/Lane)
Lane 3: Human placenta tissue lysate (40 µg/Lane)
Lane 4: Mouse brain tissue lysate (40 µg/Lane)
Lane 5: Rat brain tissue lysate (40 µg/Lane)
Lane 6: Rat testis tissue lysate (40 µg/Lane)
Predicted band size: 35 kDa
Observed band size: 35/37 kDa
Exposure time: 3 minutes;
4-20% SDS-PAGE gel.
Proteins were transferred to a PVDF membrane and blocked with 5% NFDM/TBST for 1 hour at room temperature. The primary antibody (HA721634) at 1/1,000 dilution was used in 5% NFDM/TBST at room temperature for 2 hours. Goat Anti-Rabbit IgG - HRP Secondary Antibody (HA1001) at 1:200,000 dilution was used for 1 hour at room temperature.
-
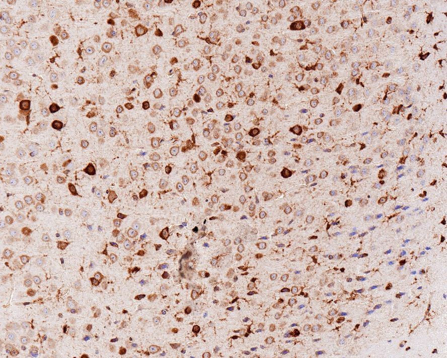
Immunohistochemical analysis of paraffin-embedded mouse brain tissue with Rabbit anti-MSI2 antibody (HA721634) at 1/1,000 dilution.
The section was pre-treated using heat mediated antigen retrieval with Tris-EDTA buffer (pH 9.0) for 20 minutes. The tissues were blocked in 1% BSA for 20 minutes at room temperature, washed with ddH2O and PBS, and then probed with the primary antibody (HA721634) at 1/1,000 dilution for 1 hour at room temperature. The detection was performed using an HRP conjugated compact polymer system. DAB was used as the chromogen. Tissues were counterstained with hematoxylin and mounted with DPX.
-
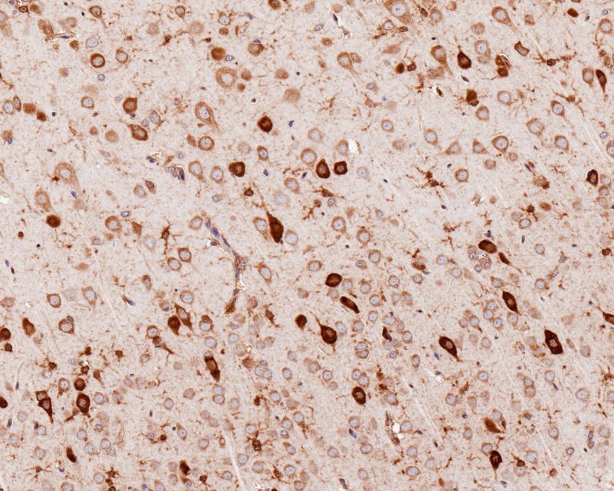
Immunohistochemical analysis of paraffin-embedded rat brain tissue with Rabbit anti-MSI2 antibody (HA721634) at 1/1,000 dilution.
The section was pre-treated using heat mediated antigen retrieval with Tris-EDTA buffer (pH 9.0) for 20 minutes. The tissues were blocked in 1% BSA for 20 minutes at room temperature, washed with ddH2O and PBS, and then probed with the primary antibody (HA721634) at 1/1,000 dilution for 1 hour at room temperature. The detection was performed using an HRP conjugated compact polymer system. DAB was used as the chromogen. Tissues were counterstained with hematoxylin and mounted with DPX.
-
Immunocytochemistry analysis of HeLa cells labeling MSI2 with Rabbit anti-MSI2 antibody (HA721634) at 1/100 dilution.
Cells were fixed in 4% paraformaldehyde for 20 minutes at room temperature, permeabilized with 0.1% Triton X-100 in PBS for 5 minutes at room temperature, then blocked with 1% BSA in 10% negative goat serum for 1 hour at room temperature. Cells were then incubated with Rabbit anti-MSI2 antibody (HA721634) at 1/100 dilution in 1% BSA in PBST overnight at 4 ℃. Goat Anti-Rabbit IgG H&L (iFluor™ 488, HA1121) was used as the secondary antibody at 1/1,000 dilution. PBS instead of the primary antibody was used as the secondary antibody only control. Nuclear DNA was labelled in blue with DAPI.
Beta tubulin (M1305-2, red) was stained at 1/100 dilution overnight at +4℃. Goat Anti-Mouse IgG H&L (iFluor™ 594, HA1126) was used as the secondary antibody at 1/1,000 dilution.
-
MSI2 was immunoprecipitated from 0.2 mg HeLa cell lysate with HA721634 at 2 µg/10 µl beads. Western blot was performed from the immunoprecipitate using HA721634 at 1/1,000 dilution. HRP Conjugated Anti-Rabbit IgG for IP Nano-secondary antibody at 1/5,000 dilution was used for 1 hour at room temperature.
Lane 1: HeLa cell lysate (input)
Lane 2: HA721634 IP in HeLa cell lysate
Lane 3: Rabbit IgG instead of HA721634 in HeLa cell lysate
Blocking/Dilution buffer: 5% NFDM/TBST
Exposure time: 12 seconds; ECL: K1801
请注意: All products are "FOR RESEARCH USE ONLY AND ARE NOT INTENDED FOR DIAGNOSTIC OR THERAPEUTIC USE"