Catalog# HA720086
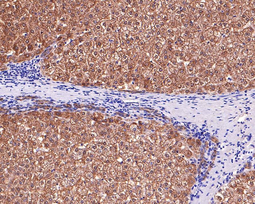
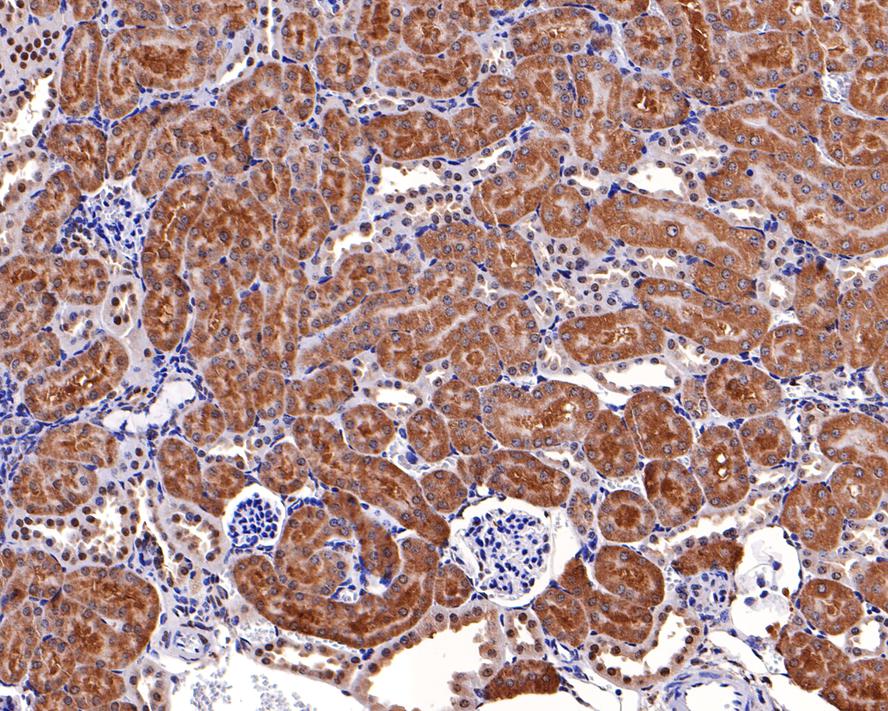
ALDH7A1 Recombinant Rabbit Monoclonal Antibody [JE63-38]
Application
-
WB
-
IF-Cell
-
IHC-P
-
FC
Reactivity
-
Human
-
Mouse


