概述
产品名称
Smad3 Recombinant Rabbit Monoclonal Antibody [SY25-01]
抗体类型
Recombinant Rabbit monoclonal Antibody
免疫原
Synthetic peptide within Human Smad3 aa 181-230 / 425.
种属反应性
Human, Mouse, Rat
验证应用
WB, IF-Cell, IF-Tissue, IHC-P, FC
分子量
Predicted band size: 48 kDa
阳性对照
HeLa cell lysate, A549 cell lysate, HL-60 cell lysate, NIH/3T3 cell lysate, bEnd.3 cell lysate, C6 cell lysate, Wild-type HaCaT whole cell lysate, A549, human lung carcinoma tissue, human breast carcinoma tissue, mouse liver tissue, mouse brain tissue, rat testis tissue, HeLa.
偶联
unconjugated
克隆号
SY25-01
RRID
产品特性
形态
Liquid
存放说明
Shipped at 4℃. Store at +4℃ short term (1-2 weeks). It is recommended to aliquot into single-use upon delivery. Store at -20℃ long term.
存储缓冲液
1*TBS (pH7.4), 0.05% BSA, 40% Glycerol. Preservative: 0.05% Sodium Azide.
亚型
IgG
纯化方式
Protein A affinity purified.
应用稀释度
-
WB
-
1:5,000-1:20,000
-
IF-Cell
-
1:500
-
IF-Tissue
-
1:50-1:200
-
IHC-P
-
1:50-1:1,000
-
FC
-
1:1,000
发表文章中的应用
| WB | 查看 25 篇文献如下 |
| IHC-P | 查看 1 篇文献如下 |
| IF | 查看 1 篇文献如下 |
发表文章中的种属
| Mouse | 查看 16 篇文献如下 |
| Rat | 查看 7 篇文献如下 |
| Human | 查看 5 篇文献如下 |
靶点
功能
Smad proteins, the mammalian homologs of the Drosophila Mothers against dpp (Mad) have been implicated as downstream effectors of TGFβ/BMP signaling. Smad1 (also designated Madr1 or JV4-1), Smad5 and mammalian Smad8 (also designated Smad9 or MADH6) are effectors of BMP2 and BMP4 function while Smad2 (also designated Madr2 or JV18-1) and Smad3 are involved in TGFβ and activin-mediated growth modulation. Smad4 (also designated DPC4) has been shown to mediate all of the above activities through interaction with various Smad family members. Smad6 and Smad7 regulate the response to activin/TGFβ signaling by interfering with TGFβ-mediated phosphorylation of other Smad family members.
背景文献
1. Dai X et al. SMAD3 deficiency promotes vessel wall remodeling, collagen fiber reorganization and leukocyte infiltration in an inflammatory abdominal aortic aneurysm mouse model. Sci Rep 5:10180 (2015).
2. Chen JL et al. Development of novel activin-targeted therapeutics. Mol Ther 23:434-44 (2015).
序列相似性
Belongs to the dwarfin/SMAD family.
翻译后修饰
Phosphorylated on serine and threonine residues. Enhanced phosphorylation in the linker region on Thr-179, Ser-204 and Ser-208 on EGF and TGF-beta treatment. Ser-208 is the main site of MAPK-mediated phosphorylation. CDK-mediated phosphorylation occurs in a cell-cycle dependent manner and inhibits both the transcriptional activity and antiproliferative functions of SMAD3. This phosphorylation is inhibited by flavopiridol. Maximum phosphorylation at the G(1)/S junction. Also phosphorylated on serine residues in the C-terminal SXS motif by TGFBR1 and ACVR1. TGFBR1-mediated phosphorylation at these C-terminal sites is required for interaction with SMAD4, nuclear location and transactivational activity, and appears to be a prerequisite for the TGF-beta mediated phosphorylation in the linker region. Dephosphorylated in the C-terminal SXS motif by PPM1A. This dephosphorylation disrupts the interaction with SMAD4, promotes nuclear export and terminates TGF-beta-mediated signaling. Phosphorylation at Ser-418 by CSNK1G2/CK1 promotes ligand-dependent ubiquitination and subsequent proteasome degradation, thus inhibiting SMAD3-mediated TGF-beta responses. Phosphorylated by PDPK1.; Acetylation in the nucleus by EP300 in the MH2 domain regulates positively its transcriptional activity and is enhanced by TGF-beta.; Poly-ADP-ribosylated by PARP1 and PARP2. ADP-ribosylation negatively regulates SMAD3 transcriptional responses during the course of TGF-beta signaling.; Ubiquitinated. Monoubiquitinated, leading to prevent DNA-binding. Deubiquitination by USP15 alleviates inhibition and promotes activation of TGF-beta target genes. Ubiquitinated by RNF111, leading to its degradation: only SMAD3 proteins that are 'in use' are targeted by RNF111, RNF111 playing a key role in activating SMAD3 and regulating its turnover (By similarity). Undergoes STUB1-mediated ubiquitination and degradation.
亚细胞定位
Cytoplasm, Nucleus.
别名
DKFZP586N0721 antibody
DKFZp686J10186 antibody
hMAD 3 antibody
hMAD-3 antibody
hSMAD3 antibody
HSPC193 antibody
HST17436 antibody
JV15 2 antibody
JV15-2 antibody
JV152 antibody
展开DKFZP586N0721 antibody
DKFZp686J10186 antibody
hMAD 3 antibody
hMAD-3 antibody
hSMAD3 antibody
HSPC193 antibody
HST17436 antibody
JV15 2 antibody
JV15-2 antibody
JV152 antibody
LDS1C antibody
LDS3 antibody
MAD (mothers against decapentaplegic Drosophila) homolog 3 antibody
MAD homolog 3 antibody
Mad homolog JV15 2 antibody
Mad protein homolog antibody
MAD, mothers against decapentaplegic homolog 3 antibody
Mad3 antibody
MADH 3 antibody
MADH3 antibody
MGC60396 antibody
Mothers against decapentaplegic homolog 3 antibody
Mothers against DPP homolog 3 antibody
SMA and MAD related protein 3 antibody
SMAD 3 antibody
SMAD antibody
SMAD family member 3 antibody
SMAD, mothers against DPP homolog 3 antibody
Smad3 antibody
SMAD3_HUMAN antibody
折叠图片
-
Western blot analysis of Smad3 on different lysates with Rabbit anti-Smad3 antibody (ET1607-41) at 1/20,000 dilution.
Lane 1: HeLa cell lysate
Lane 2: A549 cell lysate
Lane 3: HL-60 cell lysate
Lane 4: NIH/3T3 cell lysate
Lane 5: bEnd.3 cell lysate
Lane 6: C6 cell lysate
Lysates/proteins at 15 µg/Lane.
Predicted band size: 48 kDa
Observed band size: 55 kDa
Exposure time: 1 minute 52 seconds;
4-20% SDS-PAGE gel.
Proteins were transferred to a PVDF membrane and blocked with 5% NFDM/TBST for 1 hour at room temperature. The primary antibody (ET1607-41) at 1/20,000 dilution was used in 5% NFDM/TBST at 4℃ overnight. Goat Anti-Rabbit IgG - HRP Secondary Antibody (HA1001) at 1/50,000 dilution was used for 1 hour at room temperature. -
☑ Knockout (KO)
All lanes: Western blot analysis of Smad3 with anti-Smad3 antibody (ET1607-41) at 1:1,000 dilution.
Lane 1: Wild-type HaCaT whole cell lysate (15 µg).
Lane 2: Smad3 knockout HaCaT whole cell lysate (15 µg).
ET1607-41 was shown to specifically react with Smad3 in wild-type HaCaT cells. NO band was observed when Smad3 knockout sample was tested. Wild-type and Smad3 knockout samples were subjected to SDS-PAGE. Proteins were transferred to a PVDF membrane and blocked with 5% NFDM in TBST for 1 hour at room temperature. The primary antibody (ET1607-41, 1:1,000) was used in 5% BSA at room temperature for 2 hours. Goat anti-Rabbit IgG-HRP antibody at 1:10,000 dilution was used for 1 hour at room temperature. -
Immunocytochemistry analysis of A549 cells labeling Smad3 with Rabbit anti-Smad3 antibody (ET1607-41) at 1/500 dilution.
Cells were fixed in 4% paraformaldehyde for 20 minutes at room temperature, permeabilized with 0.1% Triton X-100 in PBS for 5 minutes at room temperature, then blocked with 1% BSA in 10% negative goat serum for 1 hour at room temperature. Cells were then incubated with Rabbit anti-Smad3 antibody (ET1607-41) at 1/500 dilution in 1% BSA in PBST overnight at 4 ℃. Goat Anti-Rabbit IgG H&L (iFluor™ 488, HA1121) was used as the secondary antibody at 1/1,000 dilution. PBS instead of the primary antibody was used as the secondary antibody only control. Nuclear DNA was labelled in blue with DAPI.
Beta tubulin (M1305-2, red) was stained at 1/100 dilution overnight at +4℃. Goat Anti-Mouse IgG H&L (iFluor™ 594, HA1126) was used as the secondary antibody at 1/1,000 dilution. -
Immunohistochemical analysis of paraffin-embedded human lung carcinoma tissue using anti-Smad3 antibody. The section was pre-treated using heat mediated antigen retrieval with Tris-EDTA buffer (pH 8.0-8.4) for 20 minutes.The tissues were blocked in 5% BSA for 30 minutes at room temperature, washed with ddH2O and PBS, and then probed with the primary antibody (ET1607-41, 1/50) for 30 minutes at room temperature. The detection was performed using an HRP conjugated compact polymer system. DAB was used as the chromogen. Tissues were counterstained with hematoxylin and mounted with DPX.
-
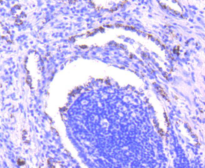
Immunohistochemical analysis of paraffin-embedded human breast carcinoma tissue using anti-Smad3 antibody. The section was pre-treated using heat mediated antigen retrieval with Tris-EDTA buffer (pH 8.0-8.4) for 20 minutes.The tissues were blocked in 5% BSA for 30 minutes at room temperature, washed with ddH2O and PBS, and then probed with the primary antibody (ET1607-41, 1/50) for 30 minutes at room temperature. The detection was performed using an HRP conjugated compact polymer system. DAB was used as the chromogen. Tissues were counterstained with hematoxylin and mounted with DPX.
-
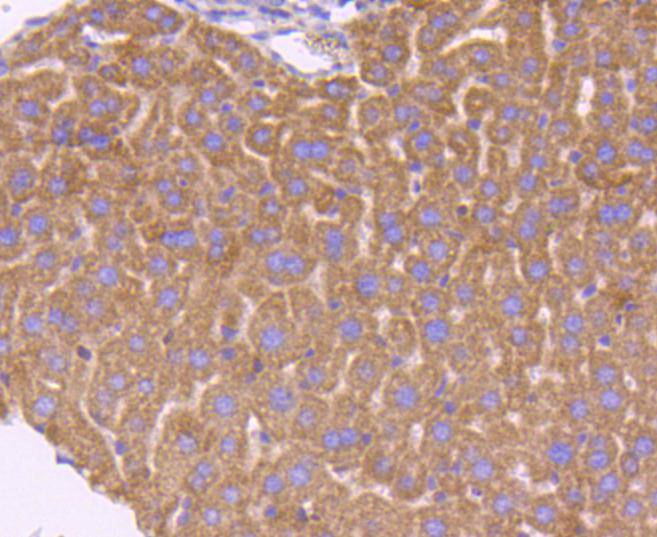
Immunohistochemical analysis of paraffin-embedded mouse liver tissue using anti-Smad3 antibody. The section was pre-treated using heat mediated antigen retrieval with Tris-EDTA buffer (pH 8.0-8.4) for 20 minutes.The tissues were blocked in 5% BSA for 30 minutes at room temperature, washed with ddH2O and PBS, and then probed with the primary antibody (ET1607-41, 1/50) for 30 minutes at room temperature. The detection was performed using an HRP conjugated compact polymer system. DAB was used as the chromogen. Tissues were counterstained with hematoxylin and mounted with DPX.
-
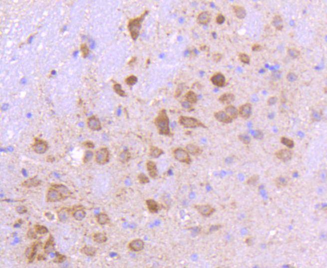
Immunohistochemical analysis of paraffin-embedded mouse brain tissue using anti-Smad3 antibody. The section was pre-treated using heat mediated antigen retrieval with Tris-EDTA buffer (pH 8.0-8.4) for 20 minutes.The tissues were blocked in 5% BSA for 30 minutes at room temperature, washed with ddH2O and PBS, and then probed with the primary antibody (ET1607-41, 1/50) for 30 minutes at room temperature. The detection was performed using an HRP conjugated compact polymer system. DAB was used as the chromogen. Tissues were counterstained with hematoxylin and mounted with DPX.
-
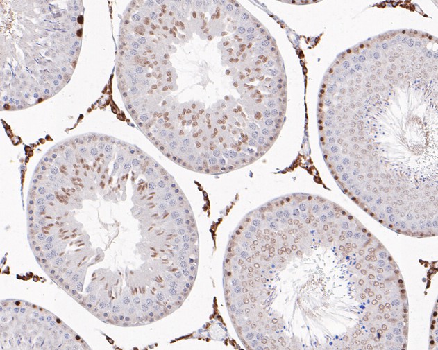
Immunohistochemical analysis of paraffin-embedded rat testis tissue using anti-Smad3 antibody. The section was pre-treated using heat mediated antigen retrieval with sodium citrate buffer (pH 6.0) (high pressure) for 2 minutes. The tissues were blocked in 5% BSA for 30 minutes at room temperature, washed with ddH2O and PBS, and then probed with the primary antibody (ET1607-41, 1/200) for 30 minutes at room temperature. The detection was performed using an HRP conjugated compact polymer system. DAB was used as the chromogen. Tissues were counterstained with hematoxylin and mounted with DPX.
-
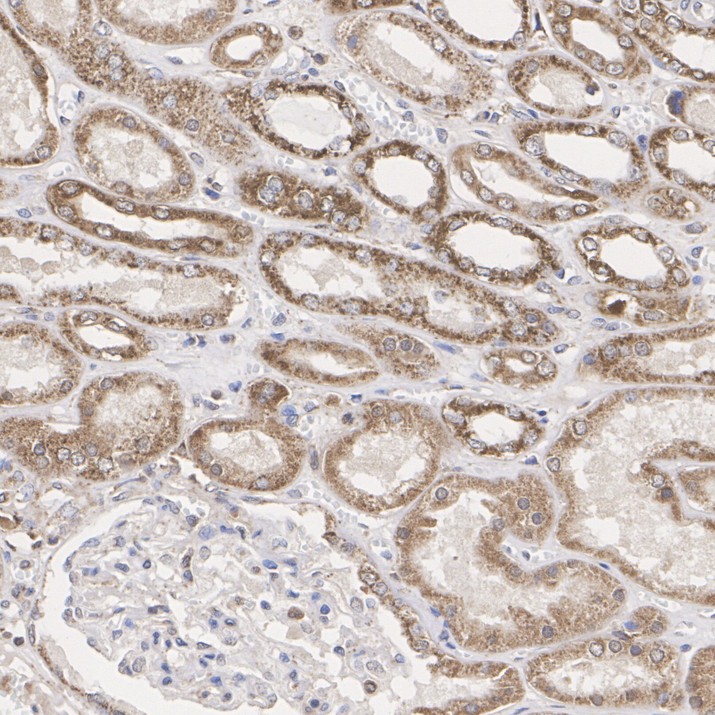
Immunohistochemical analysis of paraffin-embedded human kidney tissue with Rabbit anti-Smad3 antibody (ET1607-41) at 1/1,000 dilution.
The section was pre-treated using heat mediated antigen retrieval with Tris-EDTA buffer (pH 9.0) for 20 minutes. The tissues were blocked in 1% BSA for 20 minutes at room temperature, washed with ddH2O and PBS, and then probed with the primary antibody (ET1607-41) at 1/1,000 dilution for 1 hour at room temperature. The detection was performed using an HRP conjugated compact polymer system. DAB was used as the chromogen. Tissues were counterstained with hematoxylin and mounted with DPX. -
Flow cytometric analysis of HeLa cells labeling Smad3.
Cells were fixed and permeabilized. Then stained with the primary antibody (ET1607-41, 1/1,000) (red) compared with Rabbit IgG Isotype Control (green). After incubation of the primary antibody at +4℃ for an hour, the cells were stained with a iFluor™ 488 conjugate-Goat anti-Rabbit IgG Secondary antibody (HA1121) at 1/1,000 dilution for 30 minutes at +4℃. Unlabelled sample was used as a control (cells without incubation with primary antibody; black).
请注意: All products are "FOR RESEARCH USE ONLY AND ARE NOT INTENDED FOR DIAGNOSTIC OR THERAPEUTIC USE"
引文
-
Analysis of potential targets of 20S-protopanaxadiol on diabetic nephropathy based on network pharmacology, molecular docking, and experimental validation
Author: Mingxia Yuan
PMID: 40957644
期刊: Renal Failure
应用: WB
反应种属: Mouse,Human
发表时间: 2025 Sept
-
Citation
-
Chrysin inhibits hypertrophic scar formation through TGF-β/Smad signaling pathways
Author: Yang Jin
PMID: 40913688
期刊: Journal Of Molecular Histology
应用: WB
反应种属: Human
发表时间: 2025 Sept
-
Citation
-
Autophagic degradation of SQSTM1 enables fibroblast activation to accelerate wound healing
Author: Yujiao Xu, Xin Gu, Wenshu Li, Boyang Lin, Yiting Xu, Qingcheng Wei, Qingyuan Liu, Yamin Zhao, Rongzhuo Long, Hulin Jiang, Zhaoqiu Wu, Yunyao Liu, Lei Qiang
PMID: 40400126
期刊: Autophagy
应用: WB
反应种属: Human,Mouse
发表时间: 2025 May
-
Citation
-
Tryptanthrin alleviate lung fibrosis via suppression of MAPK/NF-κB and TGF-β1/SMAD signaling pathways in vitro and in vivo
Author: Min Niu, Yong-Zhi Wang, Xiang-min Deng, Xin Wu, Zheng-Ying Hua, Ting-Ting Lv
PMID: 40089192
期刊: Toxicology And Applied Pharmacology
应用: WB
反应种属: Mouse
发表时间: 2025 Mar
-
Citation
-
Galvanic Cell Bipolar Microneedle Patches for Reversing Photoaging Wrinkles
Author: Xinyuan Lin, Qing Jia, Xuanyi Lin, Jiakai Shi, Wanru Gong, Kuangyu Shen, Bin Liu, Luyi Sun, Zengjie Fan
PMID: 40066473
期刊: Advanced Materials
应用: IF
反应种属: Mouse
发表时间: 2025 Mar
-
Citation
-
Vaccarin Ameliorates Renal Fibrosis by Inhibiting Ferroptosis via Nrf2/SLC7A11/GPX4 Signaling Pathway
Author: Mengjiao Cui, Qiming Xu, Lianxiang Duan, Jianrao Lu, Jing Hu
PMID: 40066086
期刊: Drug Design Development And Therapy
应用: WB
反应种属: Mouse
发表时间: 2025 Mar
-
Citation
-
Activin A exacerbates neonatal necrotizing enterocolitis via ALK4-mediated apoptosis and barrier disruption
Author: Wenjing Ma, Jiali Xie, Lu Liu, Xi Yuan, Xiaoyan Yu, Kai Chen, Yue Li, Wei Liu, Xuemei Zhang, Dapeng Chen, Zhixin Song
PMID: 40494204
期刊: International Immunopharmacology
应用: WB
反应种属: Rat
发表时间: 2025 Jun
-
Citation
-
Rapid discovery of drug-introduced multiple organ dysfunction via NIR-II fluorescent imaging
Author: Pu Jiang, Ruihu Song, Yue Hu, Xin He, Zewei Zhang, Xuemei Wei, Zhiming Wang, De-an Guo, Hao Chen
PMID: 16NOPMID25080101
期刊: Acta Pharmaceutica Sinica B
应用: WB
反应种属: Mouse
发表时间: 2025 Jun
-
Citation
-
Curcumin modulated gut microbiota and alleviated renal fibrosis in 5/6 nephrectomy-induced chronic kidney disease rats
Author: Cheng Li, Xulong Chen, Jingchun Yao, Weiwei Zha, Meiren Li, Jiangwen Shen, Hongli Jiang, PuXun Tian
PMID: 39787157
期刊: Public Library Of Science One
应用: WB
反应种属: Rat
发表时间: 2025 Jan
-
Citation
-
PCSK9 inhibitor attenuates cardiac fibrosis in reperfusion injury rat by suppressing inflammatory response and TGF-β1/Smad3 pathway
Author: Qing Huang ,et al
PMID: 39362501
期刊: Biochemical Pharmacology
应用: WB
反应种属: Rat
发表时间: 2024 Oct
-
Citation
-
PD-1 Inhibitor Aggravate Irradiation-Induced Myocardial Fibrosis by Regulating TGF-β1/Smads Signaling Pathway via GSDMD-Mediated Pyroptosis
Author: Wu Bibo,et al
PMID: 38773023
期刊: Inflammation
应用: WB
反应种属: Mouse
发表时间: 2024 May
-
Citation
-
RRM2 Regulates Hepatocellular Carcinoma Progression Through Activation of TGF-β/Smad Signaling and Hepatitis B Virus Transcription
Author: Dandan Wu,et al
PMID: 39766842
期刊: Genes
应用: WB
反应种属: Mouse
发表时间: 2024 Dec
-
Citation
-
Knockdown of Secernin 1 inhibit cell invasion and migration by activating the TGF-β/Smad3 pathway in oral squamous cell carcinomas
Author:
PMID: 37691034
期刊: Scientific Reports
应用: WB
反应种属: Human
发表时间: 2023 Sept
-
Citation
-
Monocyte-derived immature dendritic cells negatively regulate hepatic stellate cells in vitro by secreting IL-10
Author:
PMID: 36608595
期刊: Immunobiology
应用: WB
反应种属: Human
发表时间: 2023 Mar
-
Citation
-
Low intensity pulsed ultrasound ameliorates Adriamycin-induced chronic renal injury by inhibiting ferroptosis
Author: Ouyang, Z. Q., Shao, L. S., Wang, W. P., Ke, T. F., Chen, D., Zheng, G. R., Duan, X. R., Chu, J. X., Zhu, Y., Yang, L., Shan, H. Y., Huang, L., & Liao, C. D.
PMID: 37652897
期刊: Redox Report
应用: WB
反应种属: Rat
发表时间: 2023 Aug
-
Citation
-
TNFSF14/LIGHT promotes cardiac fibrosis and atrial fibrillation vulnerability via PI3Kγ/SGK1 pathway-dependent M2 macrophage polarisation
Author: Yirong Wu, Siyao Zhan, Lian Chen, Mingrui Sun, Miaofu Li, Xuanting Mou, Zhen Zhang, Linhao Xu, Yizhou Xu
PMID: 37580750
期刊: Journal Of Translational Medicine
应用: WB
反应种属: Mouse
发表时间: 2023 Aug
-
Citation
-
Fibulin-3 regulates the inhibitory effect of TNF-α on chondrocyte differentiation partially via the TGF-β/Smad3 signaling pathway
Author:
PMID: 35577279
期刊: Biochimica Et Biophysica Acta - Molecular Cell Research
应用: WB
反应种属: Mouse
发表时间: 2022 Sep
-
Citation
-
TGF-β-Containing Small Extracellular Vesicles From PM2.5-Activated Macrophages Induces Cardiotoxicity
Author: Hu, X., Chen, M., Cao, X., Yuan, X., Zhang, F., & Ding, W.
PMID: 35872905
期刊: Frontiers In Cardiovascular Medicine
应用: WB
反应种属: Mouse
发表时间: 2022 Jul
-
Citation
-
Natural Flavonoid Pectolinarigenin Alleviated Hyperuricemic Nephropathy via Suppressing TGFβ/SMAD3 and JAK2/STAT3 Signaling Pathways
Author: Ren, Q., Wang, B., Guo, F., Huang, R., Tan, Z., Ma, L., & Fu, P.
PMID: 35153751
期刊: Frontiers In Pharmacology
应用: WB
反应种属: Mouse
发表时间: 2022 Jan
-
Citation
-
Effect of fecal microbiota transplantation on the TGF-β1/Smad signaling pathway in rats with TNBS-induced colitis
Author:
PMID: 36034975
期刊: Annals Of Translational Medicine
应用: WB
反应种属: Rat
发表时间: 2022 Aug
-
Citation
-
TBX20 Contributes to Balancing the Differentiation of Perivascular Adipose-Derived Stem Cells to Vascular Lineages and Neointimal Hyperplasia
Author:
PMID: 34150759
期刊: Frontiers In Cell And Developmental Biology
应用: WB
反应种属: Mouse
发表时间: 2021 Jun
-
Citation
-
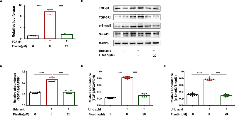
Natural flavonol fisetin attenuated hyperuricemic nephropathy via inhibiting IL-6/JAK2/STAT3 and TGF-β/SMAD3 signaling. Phytomedicine : international journal of phytotherapy and phytopharmacology, 87, 153552.
Author: Ren, Q., Tao, S., Guo, F., Wang, B., Yang, L., Ma, L., & Fu, P.
PMID: 33994251
期刊: Phytomedicine
应用: WB,IHC-P
反应种属: Mouse
发表时间: 2021 Jul
-
Citation
-
Natural flavonoid pectolinarigenin alleviated kidney fibrosis via inhibiting the activation of TGFβ/SMAD3 and JAK2/STAT3 signaling. International immunopharmacology, 91, 107279.
Author: Li, Y., Guo, F., Huang, R., Ma, L., & Fu, P.
PMID: 33340783
期刊: International Immunopharmacology
应用: WB
反应种属: Mouse
发表时间: 2021 Feb
-
Citation
-
Pharmacologic Targeting of BET Proteins Attenuates Hyperuricemic Nephropathy in Rats
Author: Xiong Chongxiang, Deng Jin, Wang Xin, Shao Xiaofei, Zhou Qin, Zou Hequn, Zhuang Shougang
PMID: 33664670
期刊: Frontiers In Pharmacology
应用: WB
反应种属: Rat
发表时间: 2021 Feb
-
Citation
-
Treatment with a PPAR-γ Agonist Protects Against Hyperuricemic Nephropathy in a Rat Model
Author:
PMID: 32606592
期刊: Drug Design Development And Therapy
应用: WB
反应种属: Rat
发表时间: 2020 Jun
-
Citation
-
Pterostilbene, a bioactive component of blueberries, alleviates renal fibrosis in a severe mouse model of hyperuricemic nephropathy. Biomedicine & pharmacotherapy = Biomedecine & pharmacotherapie, 109, 1802–1808.
Author: Ping Fu; Liang Ma
PMID: 30551434
期刊: Biomedicine & Pharmacotherapy
应用: WB
反应种属: Mouse
发表时间: 2019 Jan
-
Citation


